症例・治療例紹介
Cases
Dr. 河野豊嘉の症例写真
3ページ目 / 6
モニター|歯のでこぼこと前歯が引っ込んでいるのを治したい|抜歯矯正で歯のデコボコと正中を改善|ワイヤー矯正
担当医 河野豊嘉


前歯の見た目が気になる|オールセラミッククラウンで見た目を改善
担当医 河野豊嘉


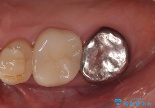
【オールセラミッククラウン】銀歯の下が虫歯に!
担当医 河野豊嘉


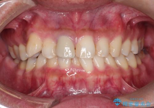
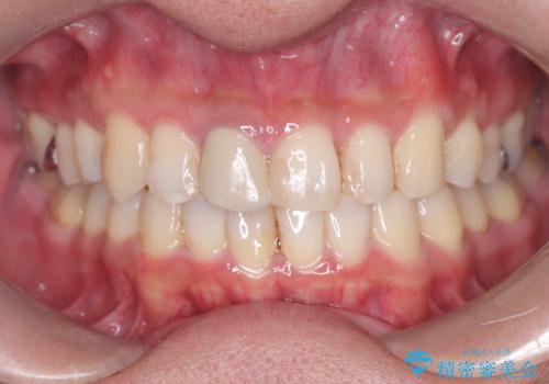
【ワイヤー矯正】八重歯 歯のでこぼこを治したい!


【セラミックインレー・フルジルコニアクラウン】2本の銀歯の下が虫歯に


【フルジルコニアクラウン】銀歯二次カリエス!
担当医 河野豊嘉


【セラミッククラウン】銀歯をオールセラミックに!
担当医 河野豊嘉


【セラッミククラウン】銀歯を白くしたい!
担当医 河野豊嘉


【1Dayインプラント治療! 低侵襲で短期間での治療】 咬むと歯が痛い! 歯根破折


【オールセラミッククラウン】虫歯で歯が欠けた!
担当医 河野豊嘉


【オールセラミッククラウン】食事をしていたら歯が欠けた!
担当医 河野豊嘉










