症例・治療例紹介
Cases
Dr. 藤巻太一朗の症例写真
86ページ目 / 112
金属の縁が見えてしまったクラウン オールセラミッククラウンで審美的に


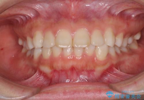
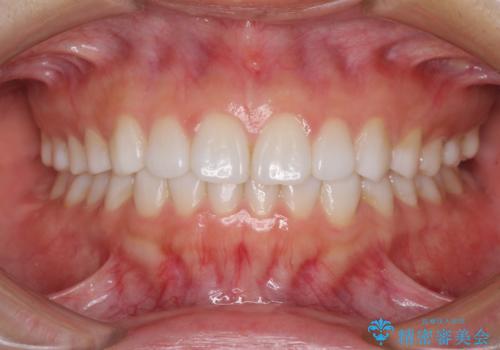
ハーフリンガル 反対咬合の改善


汚れてしまった前歯の仮歯 オールセラミッククラウンにて自然に


矯正治療とインプラント治療を同時に 総合歯科診療


奥歯の深い虫歯をオールセラミックで治療


古くなったメタルボンドをオールセラミッククラウンに


オープンバイトのインビザラインを用いた再矯正


前歯のオールセラミック 腫れている歯肉が改善


インビザライン矯正とインプラント治療と 総合歯科治療


奥歯の歯槽骨が失われた 歯周外科処置後のセラミックブリッジ


大きな虫歯で歯が欠けた 神経を極力残した治療










