症例・治療例紹介
Cases
Dr. 藤巻太一朗の症例写真
69ページ目 / 108
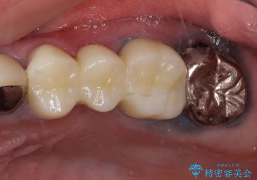
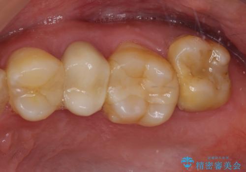
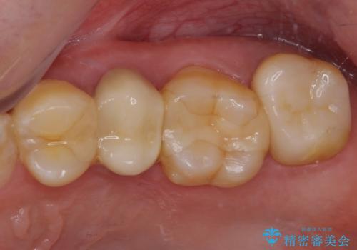
冷たいものがしみて奥歯が痛い 気になる歯並びも治した


骨格的に左右にずれいている 前歯のデコボコをインビザラインで解消


保険診療の変色したクラウン 前歯の審美歯科治療


前歯のクロスバイト インビザライン矯正で改善


歯列全体のクロスバイトを治したい ワイヤー装置による矯正治療


狭い歯列と前歯のデコボコ インビザラインによる矯正治療
担当医 藤巻太一朗


反対咬合で痛む前歯を改善 インビザラインによる矯正治療


遠方から新幹線で通院 急速拡大装置とインビザラインによる矯正治療


歯列不正と歯周病 総合歯科治療による全顎治療
担当医 藤巻太一朗


前後に重なった前歯 ワイヤー装置と急速拡大装置を併用したインビザライン矯正


八重歯と奥歯のクロスバイト 上顎骨を拡大してインビザラインで矯正










