症例・治療例紹介
Cases
Dr. 藤巻太一朗の症例写真
67ページ目 / 112
転倒して欠けてしまった前歯をオールセラミッククラウンで自然な口元に


気になる八重歯を治したい 目立たないワイヤーでの抜歯矯正


下顎骨が顕著に右側にずれている インビザラインによる咬合改善


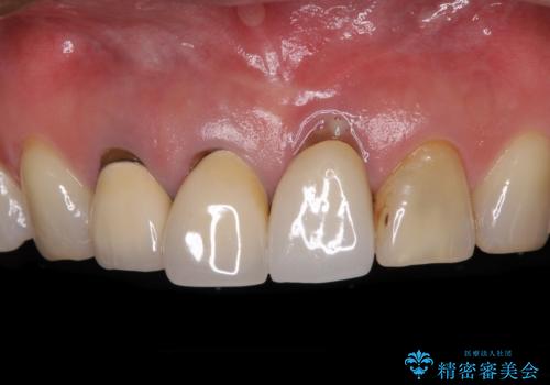
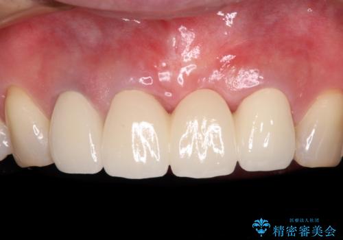
抜かなければいけない前歯 歯肉移植を用いたオールセラミックブリッジ
担当医 藤巻太一朗


話にくい 咬みにくい 笑いにくい 気に入らないセラミッククラウンを全て作り直し


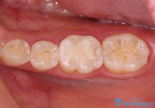
前歯のクロスバイトと抜歯が必要な奥歯の虫歯 インビザラインとインプラント治療


抜歯矯正の後戻りが気になる インビザライン・ライトによる矯正治療
担当医 藤巻太一朗


気がつくと口が開いてしまう 閉じにくい口元改善の抜歯矯正


治療途中で転院 抜歯矯正の仕上げ治療
担当医 藤巻太一朗


下の歯が前に出てしまう咬み合わせを治したい インビザラインによる矯正治療


顎が痛くなる咬み合わせが気になる 想定していなかった矯正治療を行うことに


就職前にきれいな歯並びにしたい 大学生のインビザライン矯正
担当医 藤巻太一朗








