症例・治療例紹介
Cases
Dr. 藤巻太一朗の症例写真
50ページ目 / 112
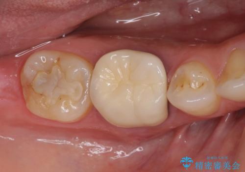
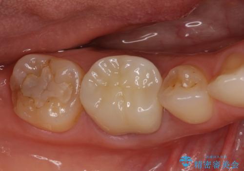
部分矯正を併用した奥歯のインプラント治療


前歯のデコボコを治したい インビザライン矯正治療
担当医 藤巻太一朗


すきっ歯とオープンバイト インビザライン・ライトで改善


外側に飛び出した歯 インビザラインによる矯正治療
担当医 藤巻太一朗


八重歯とクロスバイト 目立たないワイヤー装置での抜歯矯正


インビザラインでのんびりと矯正治療
担当医 藤巻太一朗


歯根が見えてしみる 歯肉移植による歯肉退縮の改善
担当医 藤巻太一朗


前歯のデコボコをスッキリ改善 インビザライン矯正
担当医 藤巻太一朗


やっぱり矯正をしたい セラミック治療の途中から矯正治療スタート


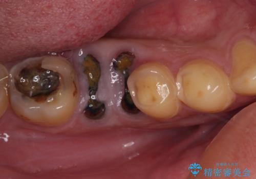
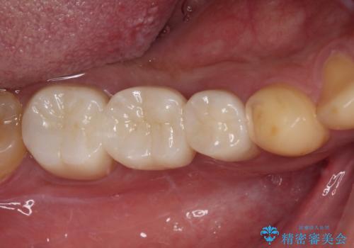
奥歯の歯茎から膿が出る 根管治療とオールセラミッククラウン


治療後に歯茎から出血 インプラントとオールセラミッククラウンの補綴治療


金属の見えてしまったクラウン セラミッククラウンで自然に


前歯のデコボコを治したい ワイヤー装置でお手軽に矯正治療






