症例・治療例紹介
Cases
Dr. 藤巻太一朗の症例写真
49ページ目 / 112
デコボコとディープバイトを治したい インビザラインによる矯正治療


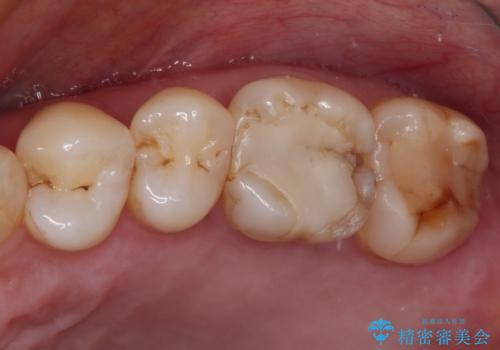
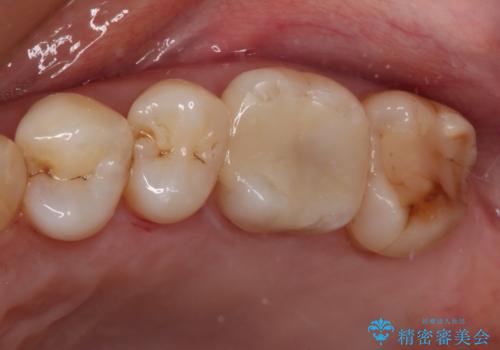
放置した虫歯 根管治療とオールセラミッククラウン


軽微叢生をインビザラインで 廉価版パッケージでの矯正治療
担当医 藤巻太一朗


虫歯と抜いたままの奥歯とデコボコの前歯 総合歯科治療


奥歯で噛みたい インプラントによる欠損補綴治療


早くて安くて楽ちん メタルブラケットでの矯正治療
担当医 藤巻太一朗


食事の度に痛む 根管治療とオールセラミッククラウン


ワイヤー装置をインビザラインへ 装置変更での矯正治療
担当医 藤巻太一朗


転勤予定がある インビザラインによる矯正治療
担当医 藤巻太一朗


急速拡大装置 狭い上顎骨を拡大してワイヤー装置で短期間治療


【モニター】口が閉じにくい 目立たないワイヤー装置で口元を引っ込める


【モニター】八重歯と前歯のクロスバイト ワイヤーを併用しインビザラインで矯正治療


隙間が空いて突出した前歯を治したい ワイヤー装置による抜歯矯正






