症例・治療例紹介
Cases
Dr. 藤巻太一朗の症例写真
44ページ目 / 111
見栄えの悪い仮歯 前歯のオールセラミック治療


放置した奥歯の虫歯 インプラントによる欠損補綴治療


ディープバイトと叢生 インビザラインによる矯正治療


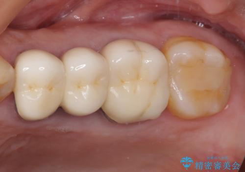
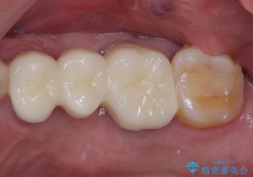
見た目の不揃いなセラミックを統一感のある歯に


【モニター】下顎前歯の2本欠損 上顎のみの抜歯でバランスを取ったワイヤー矯正


裏側矯正の途中で海外へ インビザライン・チェンジによる矯正治療


クロスバイトの前歯を治したい ワイヤー装置でも抜歯矯正


【モニター】閉じにくい口元 ワイヤー装置での抜歯矯正


【モニター】捻れた前歯をスッキリと インビザライン矯正治療
担当医 藤巻太一朗


治療途中で転院 奥歯のセラミック補綴治療


指摘された虫歯 オールセラミッククラウンによる補綴治療


【モニター】1本欠損した下顎前歯と上顎の八重歯 ワイヤー装置で楽して矯正治療
担当医 藤巻太一朗








