症例・治療例紹介
Cases
Dr. 藤巻太一朗の症例写真
38ページ目 / 111
【モニター】短期間で終わりたい ワイヤー装置での非抜歯矯正
担当医 藤巻太一朗


前歯をきれいにしたい インプラントや部分矯正を用いた総合歯科治療


隙間だらけの歯列 インビザラインで改善


むし歯で歯茎から血が出てくる オールセラミッククラウンでの補綴治療


割れてしまった奥歯とデコボコの前歯 矯正治療とインプラント治療


出っ歯と咬み合わせを改善 ワイヤー装置の抜歯矯正


気になる八重歯 目立ちにくいハーフリンガルでの抜歯矯正
担当医 藤巻太一朗


左右の八重歯が気になる ワイヤー装置での咬み合わせ改善


抜歯矯正で唇を閉じやすく 目立たないワイヤー装置


後戻りでデコボコの前歯 インビザライン矯正治療


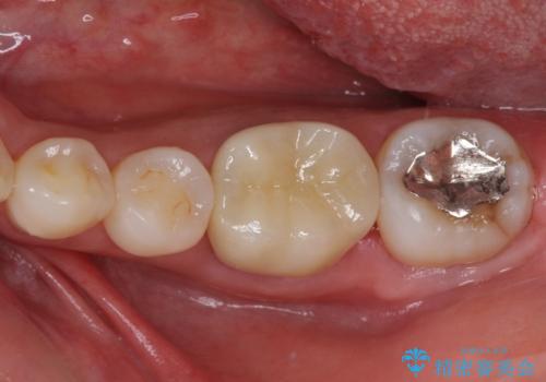
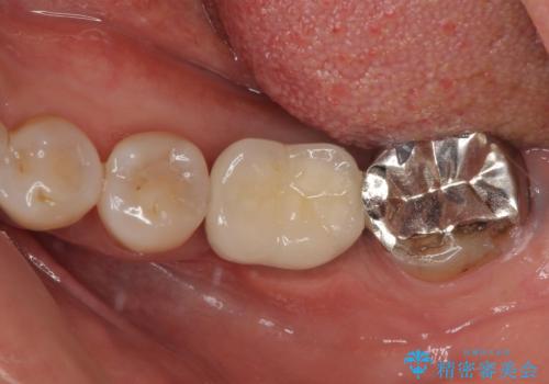
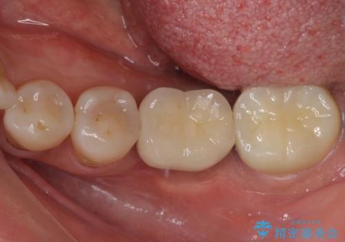
しみる奥歯 オールセラミッククラウンによる補綴治療


デコボコと口元の突出感 ハーフリンガルでの抜歯矯正


仮歯のまま放置した前歯 オールセラミッククラウンで自然な前歯に


口元の突出感を改善 受け口傾向の咬み合わせの抜歯矯正




