症例・治療例紹介
Cases
Dr. 藤巻太一朗の症例写真
14ページ目 / 111
半分以上歯根が見えている 歯肉移植による根面被覆術
担当医 藤巻太一朗


仮歯が汚くて転院 前歯のオールセラミッククラウン治療


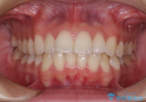
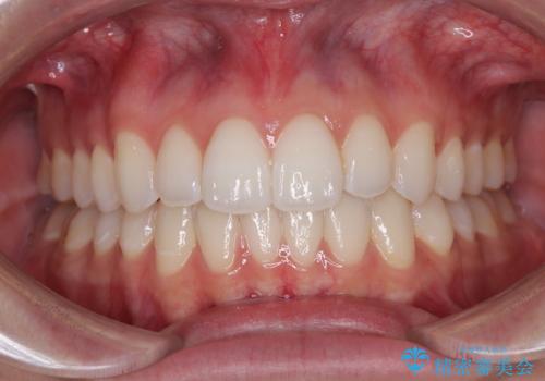
前歯のデコボコを抜歯矯正でスッキリした口元に
担当医 藤巻太一朗


気になる上顎前突 補助装置を用いた抜歯矯正で口元をすっきりと


オールセラミッククラウンによる奥歯のむし歯治療


強烈な知覚過敏 歯肉移植術で根面被覆
担当医 藤巻太一朗


唇を閉じてもはみ出してしまう上顎前歯 抜歯矯正で口元を改善


開咬をワイヤー装置で矯正治療
担当医 藤巻太一朗


外側に飛び出している歯 部分矯正を用いた奥歯の補綴治療


歯茎に溝が 大きく欠損した前歯のインプラント補綴治療


痛む前歯 破折してしまった歯のインプラント補綴治療


歯が生えてこない インプラントによる補綴治療


デコボコと口元の突出感を改善 抜歯矯正治療






