症例・治療例紹介
Cases
総合歯科治療 → インプラント治療&セラミック治療
9ページ目 / 13
奥歯 インプラントによる機能回復


ブリッジ支台の歯の痛み インプラントによる咬合負担


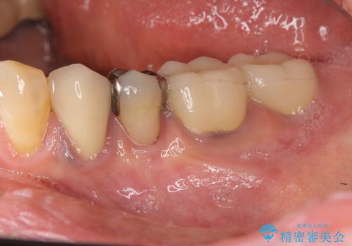
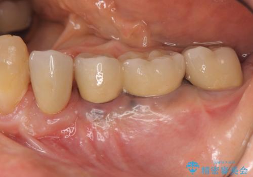
[遊離歯肉移植] インプラント周囲の角化歯肉の獲得
![[遊離歯肉移植] インプラント周囲の角化歯肉の獲得の症例 治療前](https://seimitsushinbi.jp/wp/wp-content/uploads/2020/01/ed937e86f21629e18e8c1dc62b85d1a9-500x350.jpg?v=1580303875)
![[遊離歯肉移植] インプラント周囲の角化歯肉の獲得の症例 治療後](https://seimitsushinbi.jp/wp/wp-content/uploads/2020/01/f8e73ac6cf91eb450f830ba6ff08cd3a-500x350.jpg?v=1580303890)
不適合ブリッジの除去 インプラントによる咬合再構成


奥歯の欠損 インプラントによる咬合機能回復


前歯 インプラントによる欠損補綴


見えない歯周病 長期予後を見据えてインプラントに


虫歯だらけ、歯周病 崩壊した口腔の再建 フルマウスリコンストラクション


奥歯がない インプラント治療でかみあわせを回復


薄い骨にもインプラントを スプリットクレスト+ショートインプラントの応用


深い虫歯により抜歯となった奥歯 インプラント治療でかみ合わせを回復する


他院で中途半端に終わってしまったインプラント治療


歯の破折による抜歯 インプラントによる咬合機能回復


もはや別人 口元の印象がその人の印象をかえる
担当医 藤巻太一朗


困ったことが多すぎて困っている 全顎治療による咬合回復


セラミック治療の注意事項(リスク・副作用など)
- 天然歯を削ります
- 硬い素材は天然歯を傷つけてしまう場合があります
- かみ合わせや歯ぎしりが強すぎる方はセラミックが割れてしまう可能性があります
- 自費診療(保険適用外治療)となります
インプラント治療の注意事項(リスク・副作用など)
- 外科手術のため、術後に痛みや腫れ、違和感を伴います
- メンテナンスを怠ったり喫煙により、お口の中に大きな悪影響を及ぼすインプラント周囲炎等にかかる可能性があります
- 糖尿病、肝硬変、心臓病等の場合、インプラント治療ができない可能性があります
- 高血圧、貧血・不整脈等の場合、インプラント治療後に治癒不全を招く可能性があります
- 自費診療(保険適用外治療)となります
