症例・治療例紹介
Cases
総合歯科治療 → 根管治療&セラミック治療
9ページ目 / 14
歯茎の黒ずみがきになる 前歯の見た目を改善したい


短期集中 前歯審美治療


前歯の低クオリティな治療の実態 妥協無い治療で根本からやり治す


咬んだ時の違和感 顕微鏡で発見された歯の穴を処置し、かみ合わせを回復する


歯周外科・根管治療による長期予後を期待する奥歯の治療


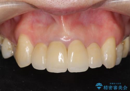
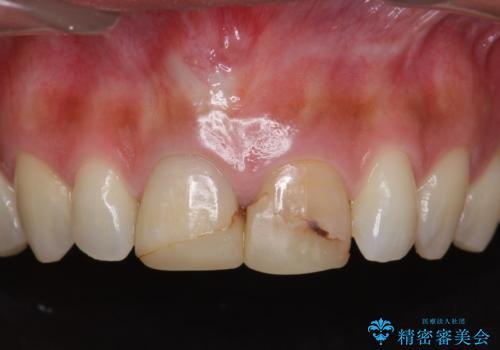
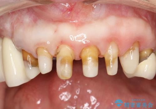
[ 前歯が割れた ] ブリッジによる審美回復治療
担当医 大元洋佑
![[ 前歯が割れた ] ブリッジによる審美回復治療の症例 治療前](https://seimitsushinbi.jp/wp/wp-content/uploads/2019/11/603d9508dc3fe40b5437057dd45cc165-500x350.jpg?v=1574859330)
![[ 前歯が割れた ] ブリッジによる審美回復治療の症例 治療後](https://seimitsushinbi.jp/wp/wp-content/uploads/2019/11/486ebd7e0fd0fbcf4a4611c722fe431f-500x350.jpg?v=1574859391)
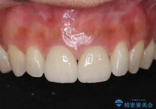
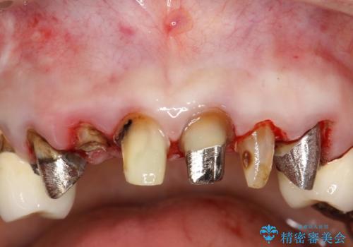
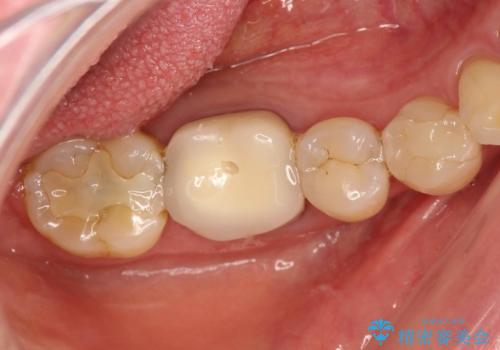
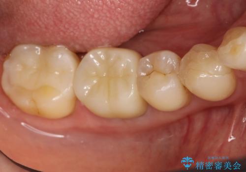
[深い虫歯] 根管治療・歯周外科治療を行い歯を保存する
![[深い虫歯] 根管治療・歯周外科治療を行い歯を保存するの症例 治療前](https://seimitsushinbi.jp/wp/wp-content/uploads/2019/10/565cd81632432c46200480d3f4728f8d-500x350.jpg?v=1572444569)
![[深い虫歯] 根管治療・歯周外科治療を行い歯を保存するの症例 治療後](https://seimitsushinbi.jp/wp/wp-content/uploads/2019/10/f94f918301554464d21b1fb7c0a3d93b-500x350.jpg?v=1572444693)
もはや別人 口元の印象がその人の印象をかえる
担当医 藤巻太一朗


20代女性 根管治療途中での転院


矯正治療・根管治療 被せものの製作 包括的な総合歯科治療による見た目の改善


下の奥歯のインプラントと根管治療での咬合回復


根管治療を含む前歯セラミック治療


転勤する前に前歯を治したい 抜歯とセラミックブリッジ


前歯 審美セラミック治療


歯の高さがなく、被せ物が外れる 歯周外科手術で解決


セラミック治療の注意事項(リスク・副作用など)
- 天然歯を削ります
- 硬い素材は天然歯を傷つけてしまう場合があります
- かみ合わせや歯ぎしりが強すぎる方はセラミックが割れてしまう可能性があります
- 自費診療(保険適用外治療)となります
根管治療の注意事項(リスク・副作用など)
- 根管治療により類似の全ての症例の問題が解決するわけではなく、症例はあくまでも一例です
- 根管治療により痛みや腫れがひかない事や、術後に痛みや腫れが生じる事、治療によるファイル破折やパーフォレーションなどの偶発症、術後の歯根破折を生じる可能性もあります
- 自費診療(保険適用外)となります
