症例・治療例紹介
Cases
総合歯科治療 → 歯周病治療&セラミック治療
7ページ目 / 13
不良インプラントの除去・骨造成・歯肉移植・前歯審美セラミックブリッジ製作
担当医 大元洋佑


奥歯に違和感がある 30代男性


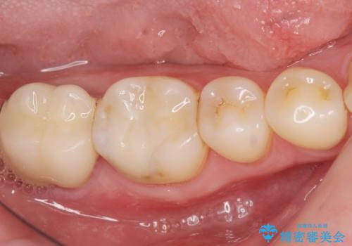
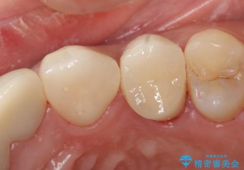
奥歯の目立つ銀歯を白くしたい


歯医者嫌いで歯がボロボロに 外科処置を用いた抜かない補綴治療


オールセラミッククラウン 歯牙の挺出後の補綴


事故で抜けかけた歯 歯が溶けてしまった方のブリッジ治療


どんなに歯を磨いても治らない 重度歯周病患者の治療
担当医 藤巻太一朗


オールセラミッククラウン 歯肉より深い虫歯の治療


オールセラミッククラウン 全体的な歯の治療


オールセラミッククラウン・歯冠長延長術 抜歯後の補綴


歯槽骨の再生治療を用いた歯周病治療


奥歯のオールセラミックブリッジ インプラントかブリッジかで悩む


歯ぐきの深い位置まで虫歯が 歯周外科→被せもの による奥歯の治療


多発した縁下カリエス 歯周外科を併用する虫歯治療
担当医 大元洋佑


著しく腫れた歯ぐき 歯肉と歯の改善を行う歯周外科


セラミック治療の注意事項(リスク・副作用など)
- 天然歯を削ります
- 硬い素材は天然歯を傷つけてしまう場合があります
- かみ合わせや歯ぎしりが強すぎる方はセラミックが割れてしまう可能性があります
- 自費診療(保険適用外治療)となります
歯周病治療の注意事項(リスク・副作用など)
- 外科手術のため、術後に痛みや腫れ、違和感を伴います
- 歯周組織再生治療は患者様の状態によって術後の経過が異なります(見た目が改善しない場合もあります)
- 歯周組織再生治療は自費診療(保険適用外)となります
