症例・治療例紹介
Cases
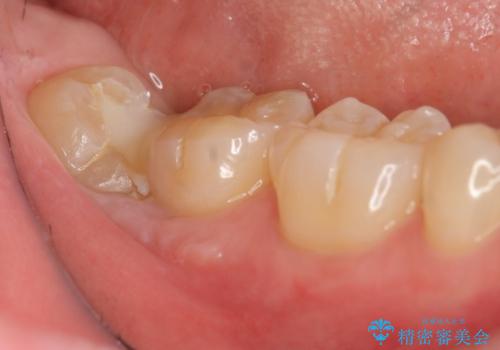
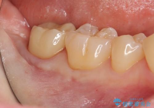
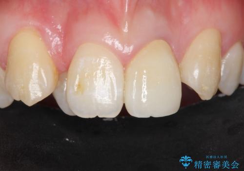
総合歯科治療 → 根管治療&セラミック治療
6ページ目 / 14
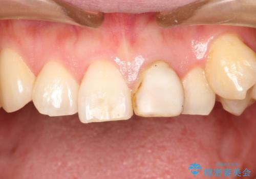
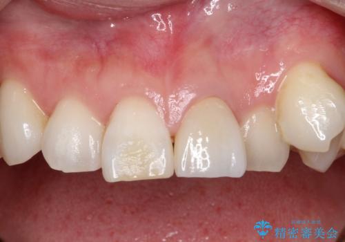
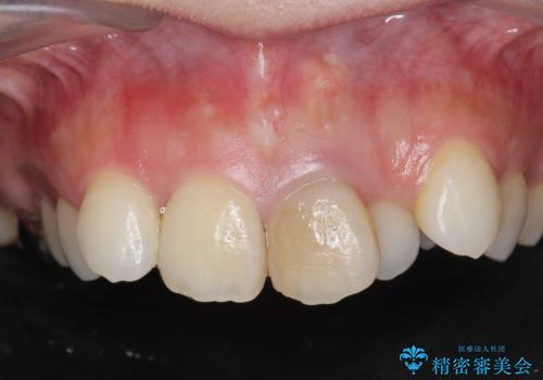
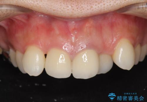
[前歯の変色] 前歯の見た目を改善したい
![[前歯の変色] 前歯の見た目を改善したいの症例 治療前](https://seimitsushinbi.jp/wp/wp-content/uploads/2021/05/510b0093313ff75fbcb626419a0f3045-500x350.jpg?v=1622180184)
![[前歯の変色] 前歯の見た目を改善したいの症例 治療後](https://seimitsushinbi.jp/wp/wp-content/uploads/2021/05/1f01d9f0751d14a2f5d20ed7475c6e38-500x350.jpg?v=1622180216)
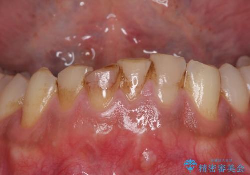
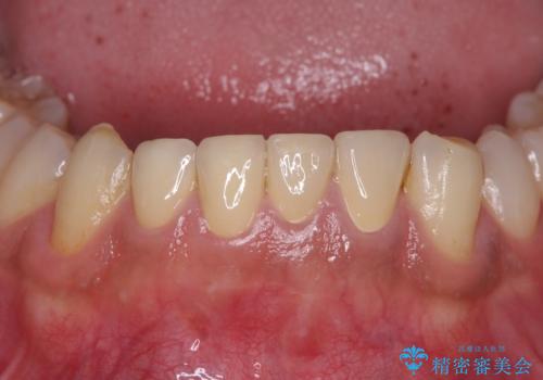
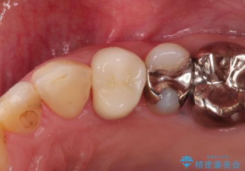
奥歯がないまま過ごしていたら前歯もぐらぐらしてきた 60代女性


[前歯のグラつき] 根本的な前歯の審美治療を希望
![[前歯のグラつき] 根本的な前歯の審美治療を希望の症例 治療前](https://seimitsushinbi.jp/wp/wp-content/uploads/2021/05/629938b52c68d046e63cd665b21966f8-500x350.jpg?v=1621143093)
![[前歯のグラつき] 根本的な前歯の審美治療を希望の症例 治療後](https://seimitsushinbi.jp/wp/wp-content/uploads/2021/05/538a16b121bae8a84247f5fbfcf67138-500x350.jpg?v=1621143114)
親知らずを起因とする虫歯治療


強い咬み合わせで削れた前歯 セラミッククラウンで自然な形に


大きい虫歯 根管治療〜オールセラミッククラウン


前歯を綺麗にしたい オールセラミッククラウン
担当医 河口智英


セラミックインレーと根管治療を伴うセラミッククラウン


子供の頃にぶつけた前歯 根管治療から行うセラミック治療


他院の根の治療で一向に治らない、さらに歯根を切ってもらったが良くならない


前歯が黒い セラミックで綺麗に 20代女性


[前歯 セラミック治療] すぐに前歯が取れる きちんと治療して欲しい
![[前歯 セラミック治療] すぐに前歯が取れる きちんと治療して欲しいの症例 治療前](https://seimitsushinbi.jp/wp/wp-content/uploads/2021/01/9e6ce61e0bdd79ba9b3792484754c3e3-500x350.jpg?v=1609914925)
![[前歯 セラミック治療] すぐに前歯が取れる きちんと治療して欲しいの症例 治療後](https://seimitsushinbi.jp/wp/wp-content/uploads/2021/01/1c3b62c3a0de497eade34ec62d821d52-500x350.jpg?v=1609914963)
[根管治療・セラミッククラウン] 他院で抜くしかないと言われた歯の治療
![[根管治療・セラミッククラウン] 他院で抜くしかないと言われた歯の治療の症例 治療前](https://seimitsushinbi.jp/wp/wp-content/uploads/2021/01/91d1d4b8e73e8b08ee1f1a8d4bfa764d-500x350.jpg?v=1609913634)
![[根管治療・セラミッククラウン] 他院で抜くしかないと言われた歯の治療の症例 治療後](https://seimitsushinbi.jp/wp/wp-content/uploads/2021/01/08b00294d18b426c4a403cba0a149a80-500x350.jpg?v=1609913645)
[歯の変色] 根管治療 セラミッククラウンの製作
![[歯の変色] 根管治療 セラミッククラウンの製作の症例 治療前](https://seimitsushinbi.jp/wp/wp-content/uploads/2021/01/9177acacd4965ad7e3a90a0e564ac25b-500x350.jpg?v=1609913081)
![[歯の変色] 根管治療 セラミッククラウンの製作の症例 治療後](https://seimitsushinbi.jp/wp/wp-content/uploads/2021/01/a5834923f48045d87e7ab38b53fa83a2-500x350.jpg?v=1609913111)
前歯の見た目を改善したい


セラミック治療の注意事項(リスク・副作用など)
- 天然歯を削ります
- 硬い素材は天然歯を傷つけてしまう場合があります
- かみ合わせや歯ぎしりが強すぎる方はセラミックが割れてしまう可能性があります
- 自費診療(保険適用外治療)となります
根管治療の注意事項(リスク・副作用など)
- 根管治療により類似の全ての症例の問題が解決するわけではなく、症例はあくまでも一例です
- 根管治療により痛みや腫れがひかない事や、術後に痛みや腫れが生じる事、治療によるファイル破折やパーフォレーションなどの偶発症、術後の歯根破折を生じる可能性もあります
- 自費診療(保険適用外)となります
