症例・治療例紹介
Cases
総合歯科治療 → 歯周病治療&セラミック治療
5ページ目 / 13
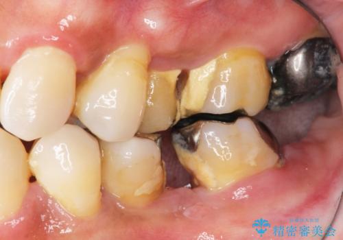
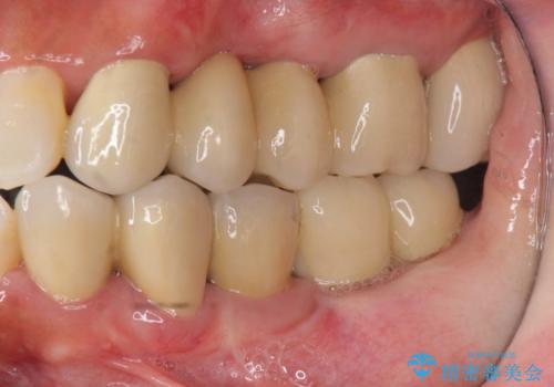
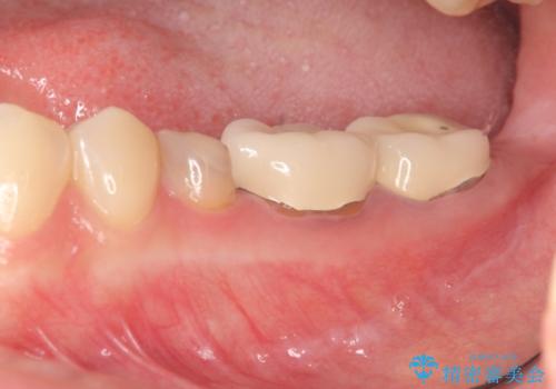
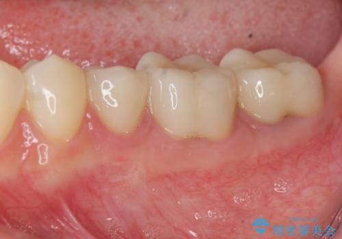
[MTMを行い歯の神経を保存] 歯周補綴ブリッジ
![[MTMを行い歯の神経を保存] 歯周補綴ブリッジの症例 治療前](https://seimitsushinbi.jp/wp/wp-content/uploads/2021/04/21310c2f37874ac2f2ba9939da2fee68-500x350.jpg?v=1618452125)
![[MTMを行い歯の神経を保存] 歯周補綴ブリッジの症例 治療後](https://seimitsushinbi.jp/wp/wp-content/uploads/2021/04/75330aaa19199048b71f28658fe46b5b-1-500x350.jpg?v=1618452202)
歯の高さがなく、しょっちゅう外れる 他院で治療途中だが病院を変えたい


歯ぎしりに抵抗する歯周補綴 インプラント補綴


オールセラミッククラウン 下がってしまった前歯の歯茎の改善


放置した虫歯 歯ぐきの中まで虫歯でも、しっかり健康的な部分を引っ張り出して、きちんと処置します。


歯周病 側方力に対抗するブリッジ補綴
担当医 大元洋佑


過度な咬合力 歯ぎしりで抜けた歯の欠損補綴
担当医 大元洋佑


深い虫歯 歯周外科を併用した精度の高い補綴治療


吸収した骨の再生 前歯部インプラント治療


インプラントを用いた歯周病全顎治療
担当医 大元洋佑


歯周病 インプラントによる咬合機能回復


歯ぎしりによる異常に低い歯冠高径 歯周外科による解決


下の奥歯の虫歯 歯周外科手術を含めた治療


前歯 ブリッジ周囲の腫れた歯ぐきを改善


他院で次に虫歯になったら治せないと言われた 歯周外科手術でしっかり治療(APF)


セラミック治療の注意事項(リスク・副作用など)
- 天然歯を削ります
- 硬い素材は天然歯を傷つけてしまう場合があります
- かみ合わせや歯ぎしりが強すぎる方はセラミックが割れてしまう可能性があります
- 自費診療(保険適用外治療)となります
歯周病治療の注意事項(リスク・副作用など)
- 外科手術のため、術後に痛みや腫れ、違和感を伴います
- 歯周組織再生治療は患者様の状態によって術後の経過が異なります(見た目が改善しない場合もあります)
- 歯周組織再生治療は自費診療(保険適用外)となります
