症例・治療例紹介
Cases
総合歯科治療 → インプラント治療&セラミック治療
5ページ目 / 13
放置した虫歯 インプラントによる機能回復


[ 歯周病による多数歯の欠損 ] 全顎的インプラント・歯周病治療
担当医 大元洋佑
![[ 歯周病による多数歯の欠損 ] 全顎的インプラント・歯周病治療の症例 治療前](https://seimitsushinbi.jp/wp/wp-content/uploads/2022/06/740883583879a0822e9bd95ed27b74e6-500x350.jpg?v=1654154479)
![[ 歯周病による多数歯の欠損 ] 全顎的インプラント・歯周病治療の症例 治療後](https://seimitsushinbi.jp/wp/wp-content/uploads/2022/06/18521d85f6e9e57a2f920c41423bc5b8-500x350.jpg?v=1654154185)
骨の造成を同時に行うインプラント治療


[ インプラントオーバーデンチャー ] インプラント+入れ歯・ブリッジで作るしっかりとした咬合状態
![[ インプラントオーバーデンチャー ] インプラント+入れ歯・ブリッジで作るしっかりとした咬合状態の症例 治療前](https://seimitsushinbi.jp/wp/wp-content/uploads/2022/04/0a652e75d5f31b51f66fbb3c46093249-500x350.jpg?v=1650443463)
![[ インプラントオーバーデンチャー ] インプラント+入れ歯・ブリッジで作るしっかりとした咬合状態の症例 治療後](https://seimitsushinbi.jp/wp/wp-content/uploads/2022/04/4c6838854beaf5801dbc7fde26492d6c-500x350.jpg?v=1650443495)
ソケットリフト 骨が薄い上の奥歯のインプラント 50代男性


多発した虫歯による咬合崩壊 インプラントを用いた全顎治療
担当医 大元洋佑


インプラント治療で達成する奥歯のしっかりとした咬合


インプラントによる咬合機能回復
担当医 大元洋佑


[ セラミック・インプラント全顎治療 ] 長年悩まされている歯の治療にケリをつけたい
![[ セラミック・インプラント全顎治療 ] 長年悩まされている歯の治療にケリをつけたいの症例 治療前](https://seimitsushinbi.jp/wp/wp-content/uploads/2022/01/699ba08b6e311b07f9d2ea9a5b757aea-500x350.jpg?v=1642042101)
![[ セラミック・インプラント全顎治療 ] 長年悩まされている歯の治療にケリをつけたいの症例 治療後](https://seimitsushinbi.jp/wp/wp-content/uploads/2022/01/f4f9ee9ff7018c558de74748d97a4667-500x350.jpg?v=1642042445)
骨が薄く他院でインプラントできないと言われた 50代女性


奥歯のインプラント 70代男性


骨の造成を伴うインプラント治療


臼歯部インプラント・再補綴


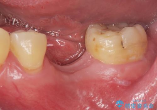
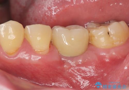
[ インプラント治療 ]失った奥歯を回復したい
![[ インプラント治療 ]失った奥歯を回復したいの症例 治療前](https://seimitsushinbi.jp/wp/wp-content/uploads/2021/11/036b501e44e72b51304eaa0dd62d1613-500x350.jpg?v=1637928855)
![[ インプラント治療 ]失った奥歯を回復したいの症例 治療後](https://seimitsushinbi.jp/wp/wp-content/uploads/2021/11/7d51b0ec04f819febabdd26c9bfb7954-500x350.jpg?v=1637928867)
薄い骨幅 骨造成 歯肉移植を併用したインプラント治療


セラミック治療の注意事項(リスク・副作用など)
- 天然歯を削ります
- 硬い素材は天然歯を傷つけてしまう場合があります
- かみ合わせや歯ぎしりが強すぎる方はセラミックが割れてしまう可能性があります
- 自費診療(保険適用外治療)となります
インプラント治療の注意事項(リスク・副作用など)
- 外科手術のため、術後に痛みや腫れ、違和感を伴います
- メンテナンスを怠ったり喫煙により、お口の中に大きな悪影響を及ぼすインプラント周囲炎等にかかる可能性があります
- 糖尿病、肝硬変、心臓病等の場合、インプラント治療ができない可能性があります
- 高血圧、貧血・不整脈等の場合、インプラント治療後に治癒不全を招く可能性があります
- 自費診療(保険適用外治療)となります
