症例・治療例紹介
Cases
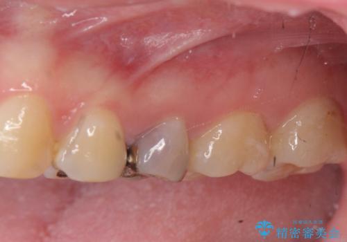
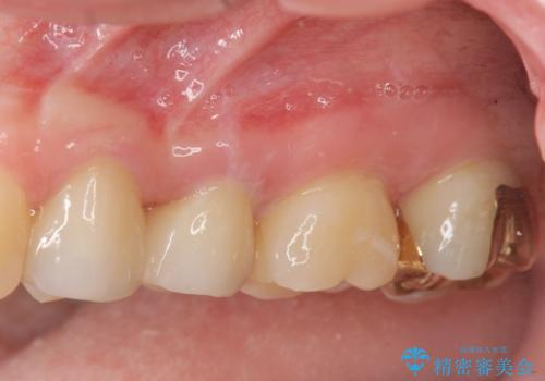
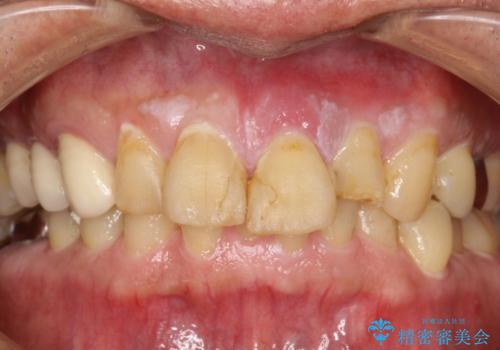
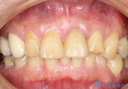
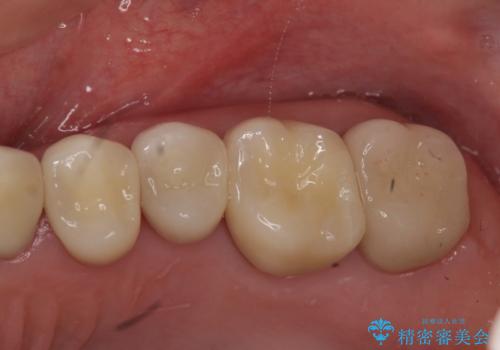
総合歯科治療 → 根管治療&セラミック治療
5ページ目 / 14
[ セラミック・インプラント全顎治療 ] 長年悩まされている歯の治療にケリをつけたい
![[ セラミック・インプラント全顎治療 ] 長年悩まされている歯の治療にケリをつけたいの症例 治療前](https://seimitsushinbi.jp/wp/wp-content/uploads/2022/01/699ba08b6e311b07f9d2ea9a5b757aea-500x350.jpg?v=1642042101)
![[ セラミック・インプラント全顎治療 ] 長年悩まされている歯の治療にケリをつけたいの症例 治療後](https://seimitsushinbi.jp/wp/wp-content/uploads/2022/01/f4f9ee9ff7018c558de74748d97a4667-500x350.jpg?v=1642042445)
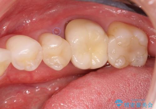
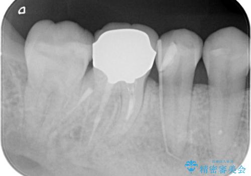
放置された虫歯 小矯正+歯周外科による保存処置


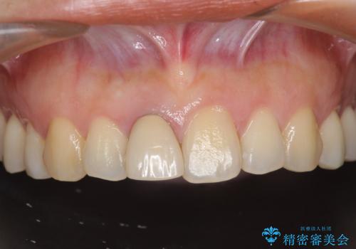
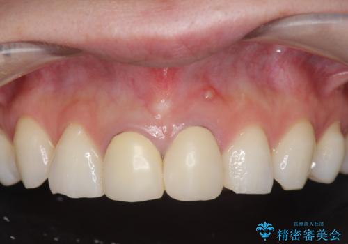
[ 前歯セラミック治療 ]白く不自然な前歯をきれいにしたい
![[ 前歯セラミック治療 ]白く不自然な前歯をきれいにしたいの症例 治療前](https://seimitsushinbi.jp/wp/wp-content/uploads/2021/12/bece58cb17cb8130ee0502c0be252341-500x350.jpg?v=1640157784)
![[ 前歯セラミック治療 ]白く不自然な前歯をきれいにしたいの症例 治療後](https://seimitsushinbi.jp/wp/wp-content/uploads/2021/12/e6beb0177fa3816df180668db670061d-500x350.jpg?v=1640157796)
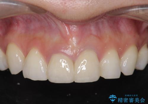
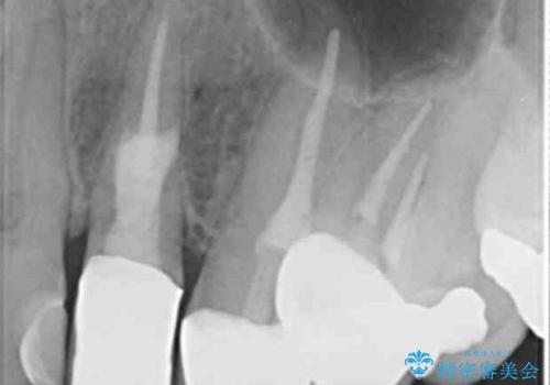
[ 歯ぐきを押すと痛む ] 根管治療の必要な前歯治療
![[ 歯ぐきを押すと痛む ] 根管治療の必要な前歯治療の症例 治療前](https://seimitsushinbi.jp/wp/wp-content/uploads/2021/10/c82595c07b1034d506ee9a41b2f43a37-500x350.jpg?v=1634264510)
![[ 歯ぐきを押すと痛む ] 根管治療の必要な前歯治療の症例 治療後](https://seimitsushinbi.jp/wp/wp-content/uploads/2021/10/5f5858ad0a0979b6f98bd8be1e57a5d6-500x350.jpg?v=1634264519)
[根管治療・セラミッククラウン] 前歯の痛み・見た目を改善したい
![[根管治療・セラミッククラウン] 前歯の痛み・見た目を改善したいの症例 治療前](https://seimitsushinbi.jp/wp/wp-content/uploads/2021/10/27aece2ee2a0fb95849ae035eabf5926-500x350.jpg?v=1633830098)
![[根管治療・セラミッククラウン] 前歯の痛み・見た目を改善したいの症例 治療後](https://seimitsushinbi.jp/wp/wp-content/uploads/2021/10/969aa8878a18bb42608c420b34b6b67f-500x350.jpg?v=1633830182)
[ 歯が小さい ] 根管治療を伴う矮小歯治療
![[ 歯が小さい ] 根管治療を伴う矮小歯治療の症例 治療前](https://seimitsushinbi.jp/wp/wp-content/uploads/2021/09/c31c85cea60404f69948fd7103e8c7ca-500x350.jpg?v=1632883039)
![[ 歯が小さい ] 根管治療を伴う矮小歯治療の症例 治療後](https://seimitsushinbi.jp/wp/wp-content/uploads/2021/09/80796f663a2a5f8bf47550dede73495e-500x350.jpg?v=1632882140)
オーダーメイドで造る、自然な前歯セラミッククラウン


前歯が疼く セラミッククラウンのやり替え


歯の外部吸収 難しい根の治療 30代男性


噛むと痛い銀歯 根管治療を伴うやりかえ
担当医 大元洋佑


折れた前歯を使えるように、抜かないで残す方法


歯肉にできものがある、根管治療からセラミッククラウンまで


[ 根管治療・セラミッククラウン ] 噛むと痛い歯の治療
![[ 根管治療・セラミッククラウン ] 噛むと痛い歯の治療の症例 治療前](https://seimitsushinbi.jp/wp/wp-content/uploads/2021/06/CI3-500x350.jpg?v=1623381808)
![[ 根管治療・セラミッククラウン ] 噛むと痛い歯の治療の症例 治療後](https://seimitsushinbi.jp/wp/wp-content/uploads/2021/06/CI12-1-500x350.jpg?v=1623381811)
[ジルコニアクラウン] 前歯の見た目を良くしたい
![[ジルコニアクラウン] 前歯の見た目を良くしたいの症例 治療前](https://seimitsushinbi.jp/wp/wp-content/uploads/2021/06/d90ecf81857c5e4b2eee1b8150ea7826-500x350.jpg?v=1623380189)
![[ジルコニアクラウン] 前歯の見た目を良くしたいの症例 治療後](https://seimitsushinbi.jp/wp/wp-content/uploads/2021/06/65789acde6152d35c473703d5d39acaf-500x350.jpg?v=1623380236)
奥歯の被せ物のやり直し 精密根管治療


セラミック治療の注意事項(リスク・副作用など)
- 天然歯を削ります
- 硬い素材は天然歯を傷つけてしまう場合があります
- かみ合わせや歯ぎしりが強すぎる方はセラミックが割れてしまう可能性があります
- 自費診療(保険適用外治療)となります
根管治療の注意事項(リスク・副作用など)
- 根管治療により類似の全ての症例の問題が解決するわけではなく、症例はあくまでも一例です
- 根管治療により痛みや腫れがひかない事や、術後に痛みや腫れが生じる事、治療によるファイル破折やパーフォレーションなどの偶発症、術後の歯根破折を生じる可能性もあります
- 自費診療(保険適用外)となります
