症例・治療例紹介
Cases
総合歯科治療 → 歯周病治療&セラミック治療
4ページ目 / 13
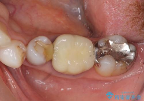
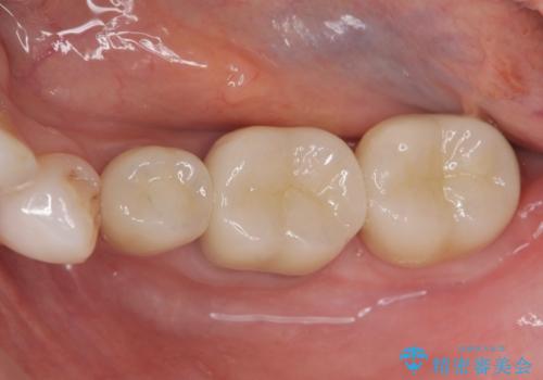
歯周外科で達成する安定したクラウン周囲の歯肉環境


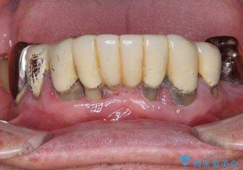
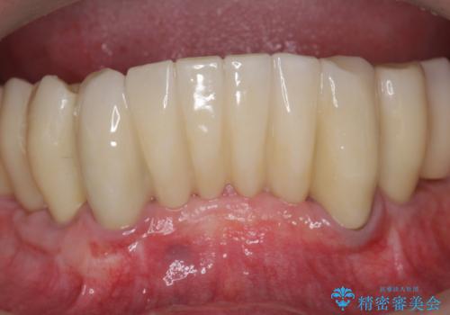
多発した虫歯による咬合崩壊 インプラントを用いた全顎治療
担当医 大元洋佑


前歯の虫歯 つぎはぎの歯をセラミックに


歯周外科で達成する、安定したクラウン周囲の歯肉環境


放置された虫歯 小矯正+歯周外科による保存処置


歯ぐきの腫れを改善する歯周外科手術を伴うセラミック治療


「 歯周病 再生治療 」再生治療で歯を残す


「 放置した虫歯 」 前歯セラミック治療


大人になってからの乳歯脱落 セラミックブリッジによる補綴
担当医 大元洋佑


喫煙を再開してインプラント周囲炎に リカバリー治療 50代男性


歯がぐらぐら 再生療法で抜かずに残す 50代男性


歯周病を治す 再生療法 50代男性


インプラント治療で達成するしっかりと食事できる噛み合わせ


セラミック治療の注意事項(リスク・副作用など)
- 天然歯を削ります
- 硬い素材は天然歯を傷つけてしまう場合があります
- かみ合わせや歯ぎしりが強すぎる方はセラミックが割れてしまう可能性があります
- 自費診療(保険適用外治療)となります
歯周病治療の注意事項(リスク・副作用など)
- 外科手術のため、術後に痛みや腫れ、違和感を伴います
- 歯周組織再生治療は患者様の状態によって術後の経過が異なります(見た目が改善しない場合もあります)
- 歯周組織再生治療は自費診療(保険適用外)となります




