症例・治療例紹介
Cases
総合歯科治療 → 歯周病治療&インプラント治療
2ページ目 / 5
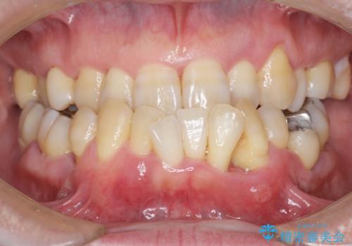
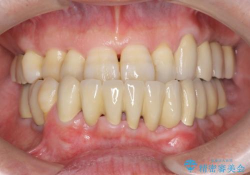
歯周病により抜去した歯のインプラント治療


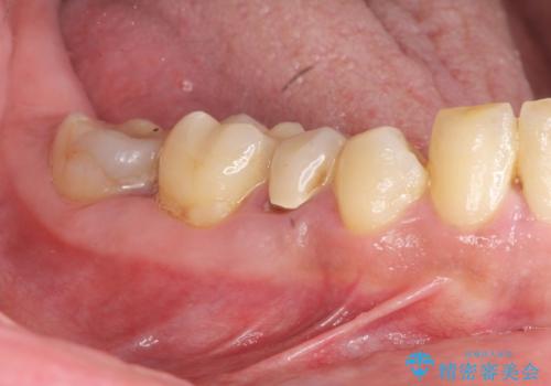
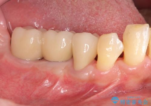
[ 重度歯周病 ] 骨造成・インプラント治療による咬合機能の回復
![[ 重度歯周病 ] 骨造成・インプラント治療による咬合機能の回復の症例 治療前](https://seimitsushinbi.jp/wp/wp-content/uploads/2023/03/14ce77237eb07b97238f044a087dfe7d-500x350.jpg?v=1678759178)
![[ 重度歯周病 ] 骨造成・インプラント治療による咬合機能の回復の症例 治療後](https://seimitsushinbi.jp/wp/wp-content/uploads/2023/03/653ce5328b3ab59b9ab143b906ecba0e-500x350.jpg?v=1678759187)
歯周病に対する全体治療


インプラントを用いた咬合機能回復治療


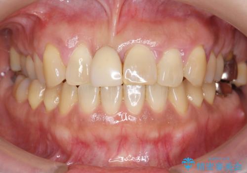
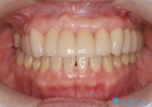
[ 歯周病治療 ] 小矯正を含むインプラント補綴・歯周補綴
担当医 大元洋佑
![[ 歯周病治療 ] 小矯正を含むインプラント補綴・歯周補綴の症例 治療前](https://seimitsushinbi.jp/wp/wp-content/uploads/2022/11/8b1f9fe311dd325d238de0a6219bf1cf-500x350.jpg?v=1669340971)
![[ 歯周病治療 ] 小矯正を含むインプラント補綴・歯周補綴の症例 治療後](https://seimitsushinbi.jp/wp/wp-content/uploads/2022/11/5979bc0ba91770cb715b363eb4304206-500x350.jpg?v=1669340986)
インプラント治療を併用した全顎歯周病治療


[ 歯周病による多数歯の欠損 ] 全顎的インプラント・歯周病治療
担当医 大元洋佑
![[ 歯周病による多数歯の欠損 ] 全顎的インプラント・歯周病治療の症例 治療前](https://seimitsushinbi.jp/wp/wp-content/uploads/2022/06/740883583879a0822e9bd95ed27b74e6-500x350.jpg?v=1654154479)
![[ 歯周病による多数歯の欠損 ] 全顎的インプラント・歯周病治療の症例 治療後](https://seimitsushinbi.jp/wp/wp-content/uploads/2022/06/18521d85f6e9e57a2f920c41423bc5b8-500x350.jpg?v=1654154185)
[ 臼歯部インプラント治療 ]ボロボロになった歯を治療したい
![[ 臼歯部インプラント治療 ]ボロボロになった歯を治療したいの症例 治療前](https://seimitsushinbi.jp/wp/wp-content/uploads/2022/05/9a03b3d2829719a5941e0da7ab0008ec-500x350.jpg?v=1653278074)
![[ 臼歯部インプラント治療 ]ボロボロになった歯を治療したいの症例 治療後](https://seimitsushinbi.jp/wp/wp-content/uploads/2022/05/c9b3ff0636dc9ea7f888210d13d670bc-500x350.jpg?v=1653278096)
[ インプラントオーバーデンチャー ] インプラント+入れ歯・ブリッジで作るしっかりとした咬合状態
![[ インプラントオーバーデンチャー ] インプラント+入れ歯・ブリッジで作るしっかりとした咬合状態の症例 治療前](https://seimitsushinbi.jp/wp/wp-content/uploads/2022/04/0a652e75d5f31b51f66fbb3c46093249-500x350.jpg?v=1650443463)
![[ インプラントオーバーデンチャー ] インプラント+入れ歯・ブリッジで作るしっかりとした咬合状態の症例 治療後](https://seimitsushinbi.jp/wp/wp-content/uploads/2022/04/4c6838854beaf5801dbc7fde26492d6c-500x350.jpg?v=1650443495)
多発した虫歯による咬合崩壊 インプラントを用いた全顎治療
担当医 大元洋佑


喫煙を再開してインプラント周囲炎に リカバリー治療 50代男性


歯肉移植(FGG)による角化歯肉の獲得で長持ちするインプラントへ 50代男性


歯がぐらぐら 再生療法で抜かずに残す 50代男性


[ 重度歯周病 ] インプラント・義歯による咬合再構築
![[ 重度歯周病 ] インプラント・義歯による咬合再構築の症例 治療前](https://seimitsushinbi.jp/wp/wp-content/uploads/2021/07/0a652e75d5f31b51f66fbb3c46093249-500x350.jpg?v=1626759388)
![[ 重度歯周病 ] インプラント・義歯による咬合再構築の症例 治療後](https://seimitsushinbi.jp/wp/wp-content/uploads/2021/07/4c6838854beaf5801dbc7fde26492d6c-500x350.jpg?v=1626759531)
インプラント治療の注意事項(リスク・副作用など)
- 外科手術のため、術後に痛みや腫れ、違和感を伴います
- メンテナンスを怠ったり喫煙により、お口の中に大きな悪影響を及ぼすインプラント周囲炎等にかかる可能性があります
- 糖尿病、肝硬変、心臓病等の場合、インプラント治療ができない可能性があります
- 高血圧、貧血・不整脈等の場合、インプラント治療後に治癒不全を招く可能性があります
- 自費診療(保険適用外治療)となります
歯周病治療の注意事項(リスク・副作用など)
- 外科手術のため、術後に痛みや腫れ、違和感を伴います
- 歯周組織再生治療は患者様の状態によって術後の経過が異なります(見た目が改善しない場合もあります)
- 歯周組織再生治療は自費診療(保険適用外)となります


