症例詳細
Case detail
[ 歯周外科手術 ] セラミック治療後の歯ぐきの違和感
治療症例の内容
- 患者様
- 40代男性
- 治療期間
- 6ヶ月
- 治療回数
- 10-30回
- 治療計画
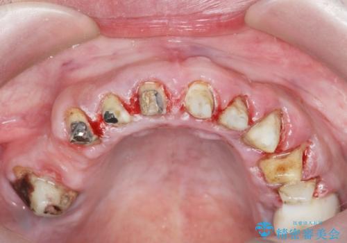
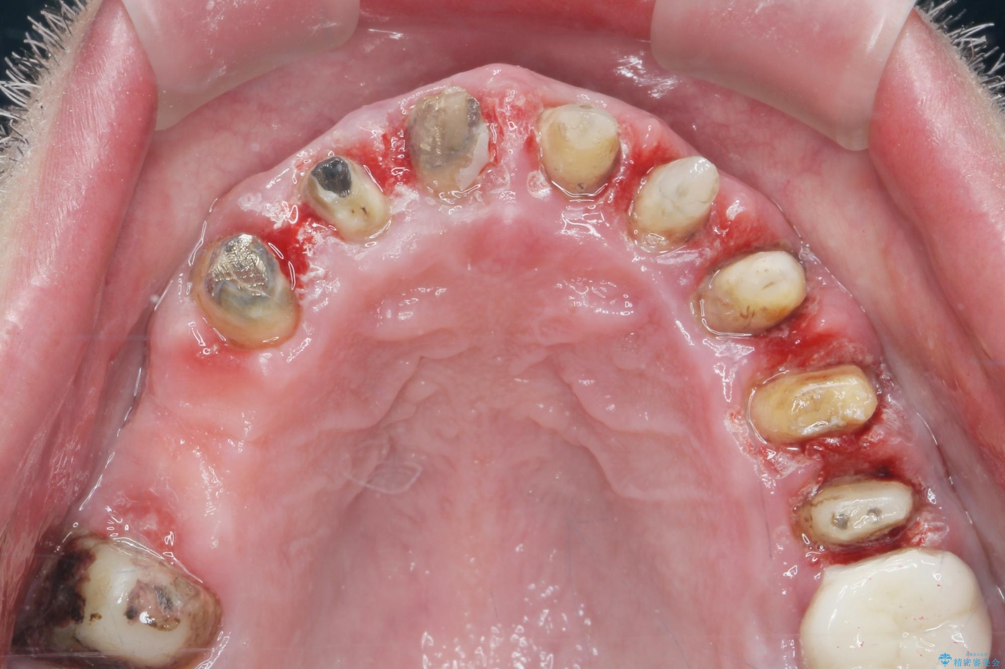
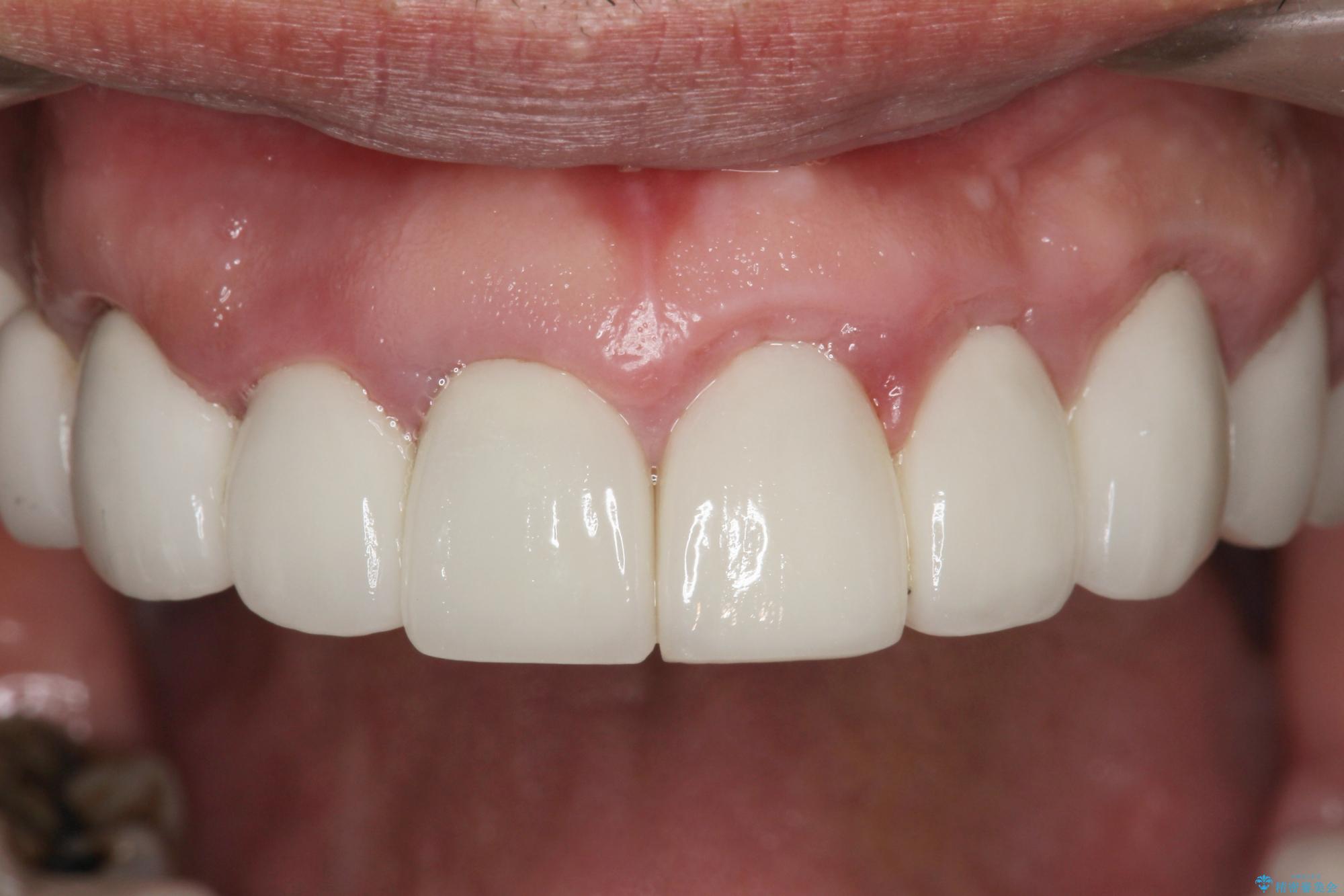
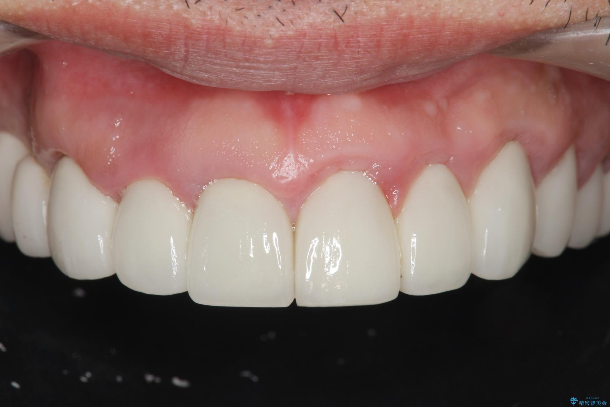
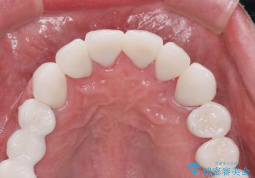
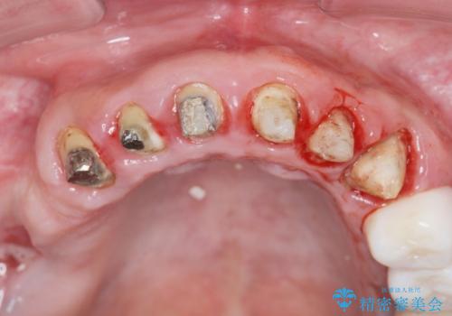
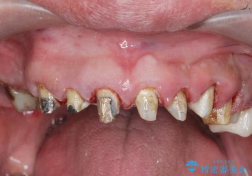
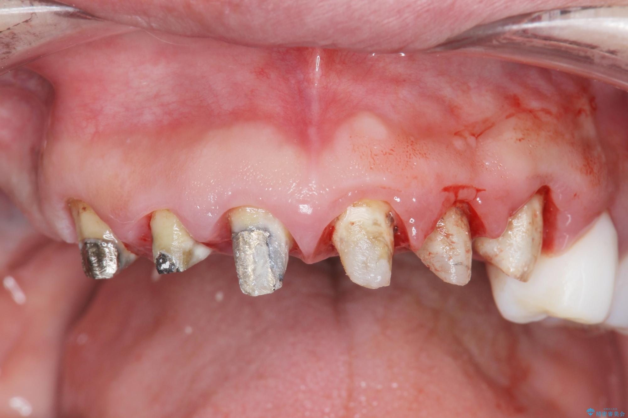
- 「セラミック治療を他院で受けたが、それ以来歯ぐきが腫れ違和感がある、改善してほしい。」と歯ぐきの状態改善を希望され来院されました。
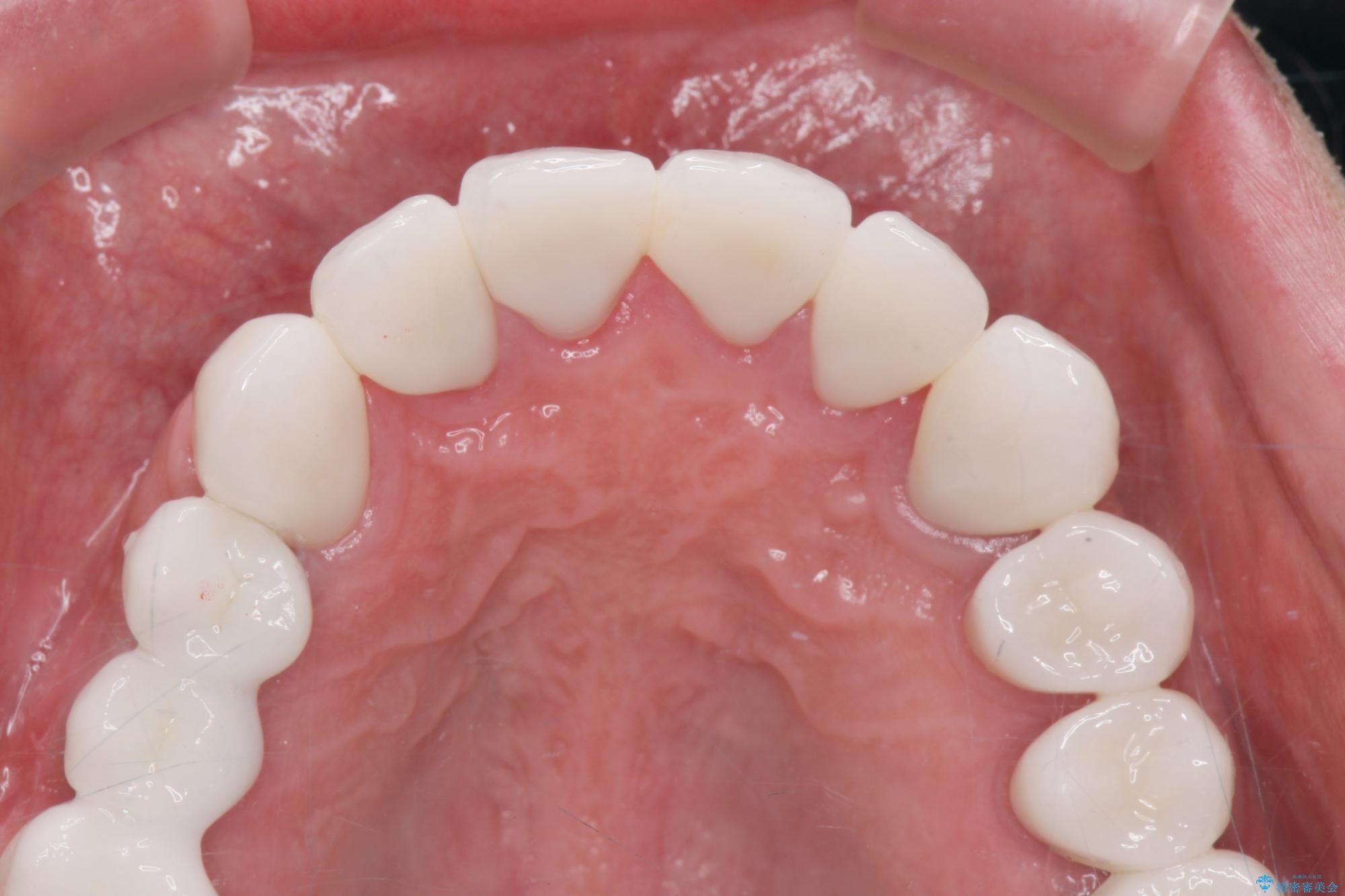
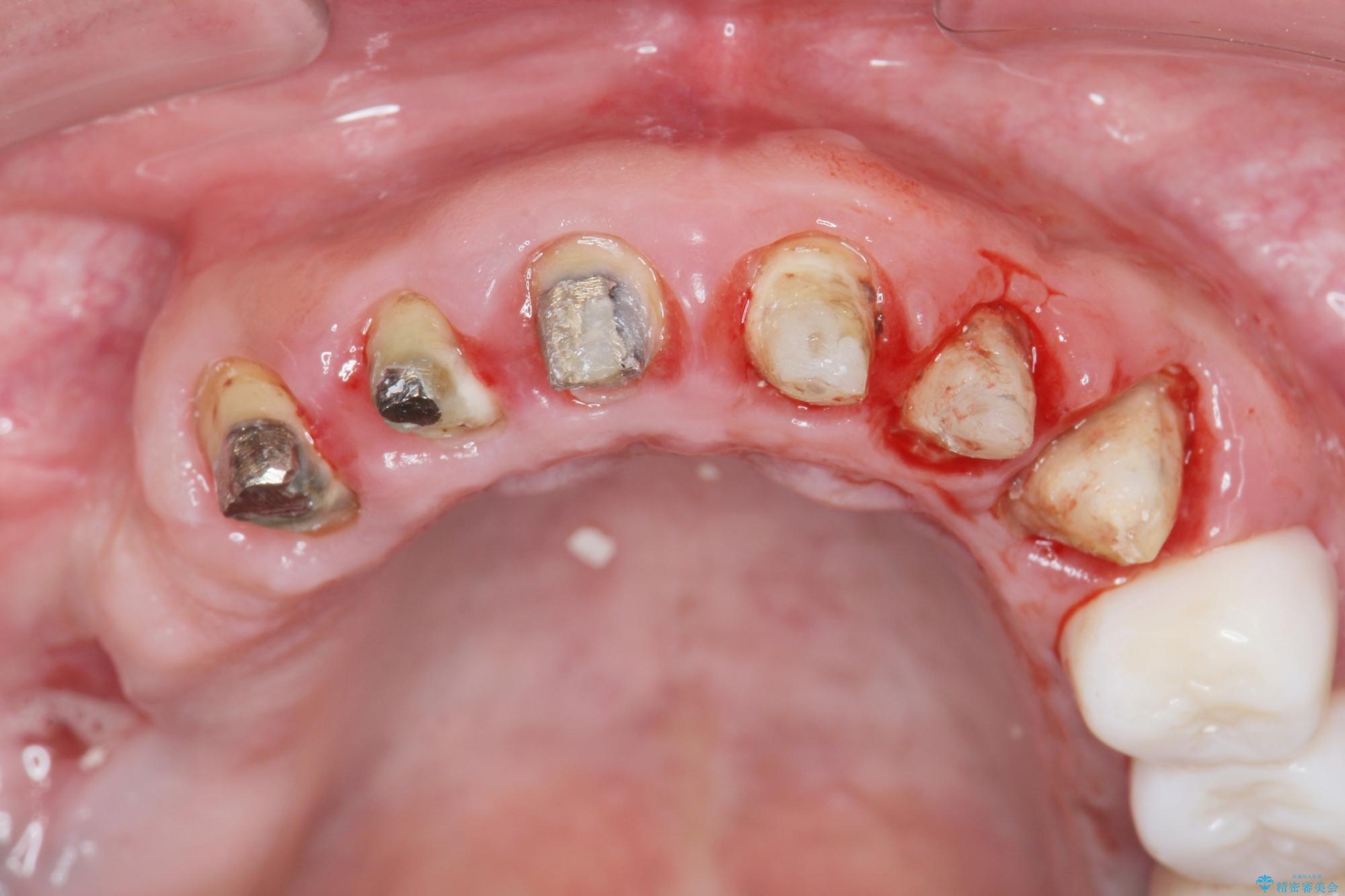
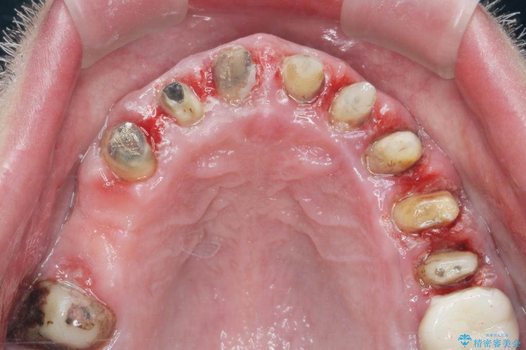
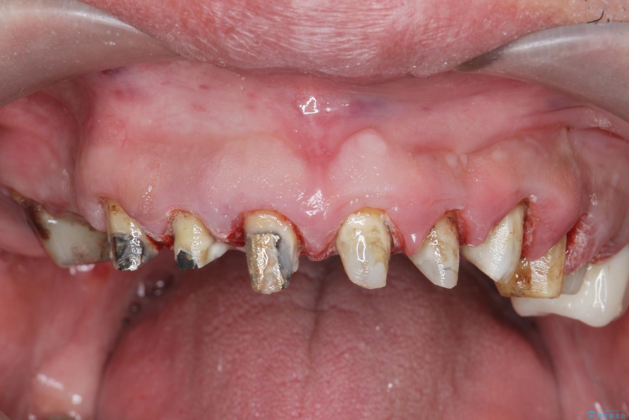
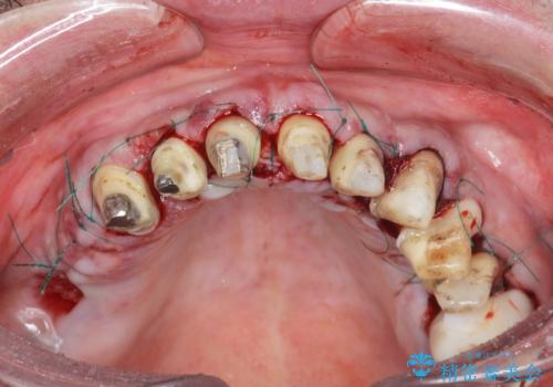
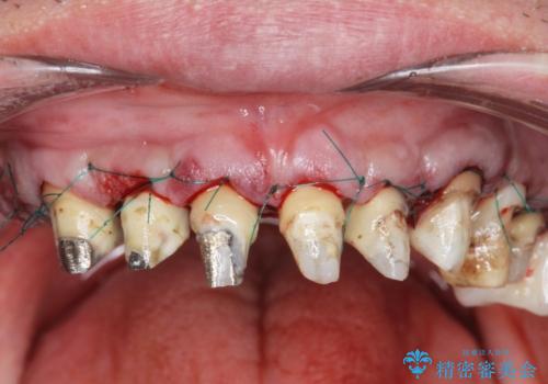
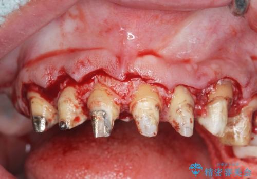
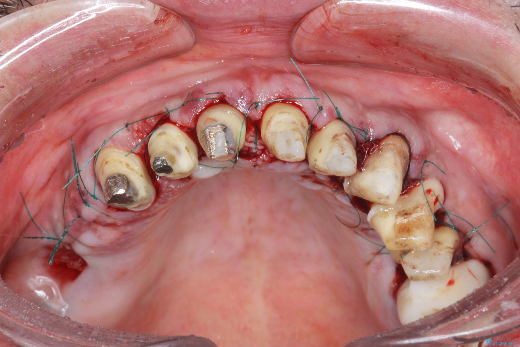
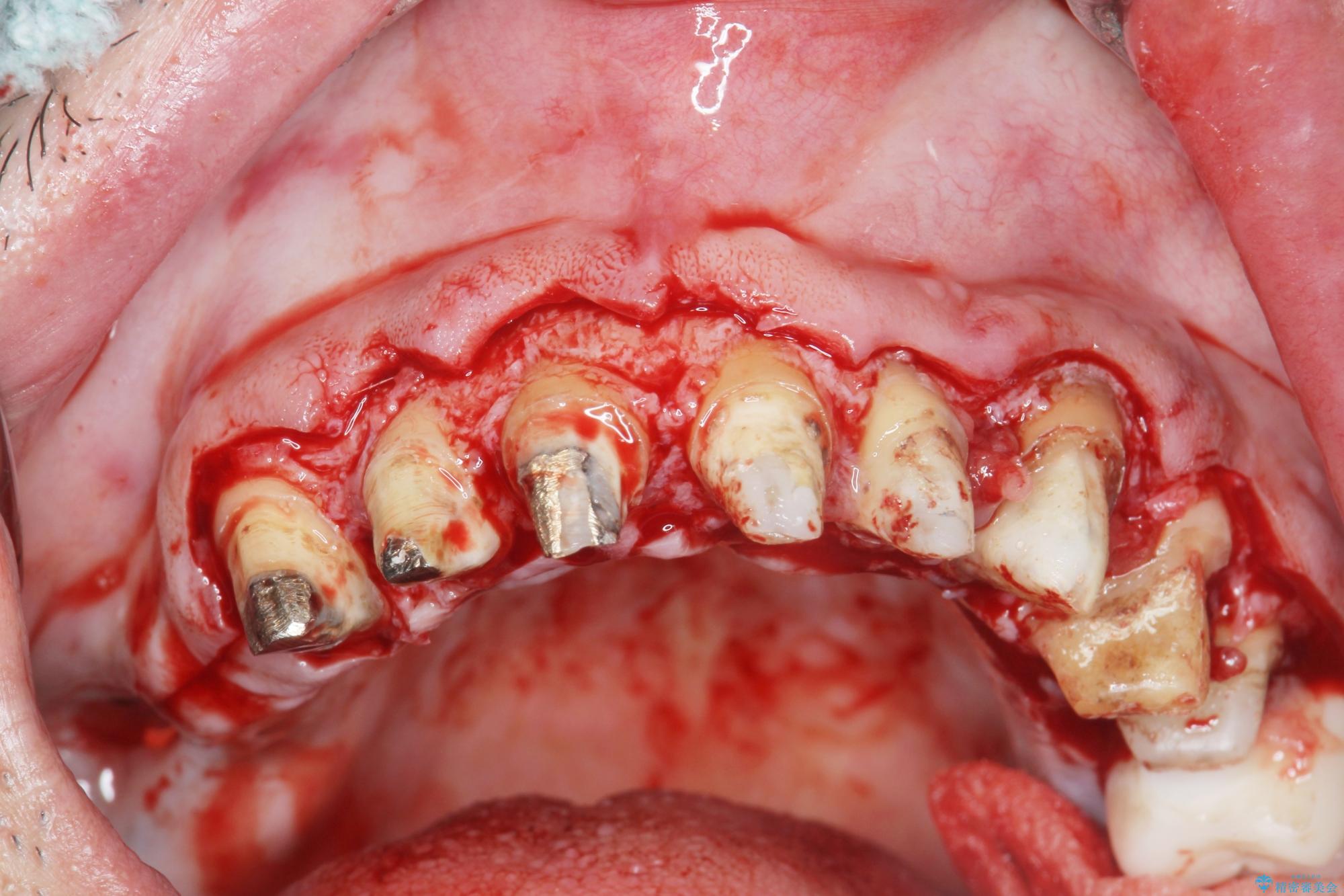
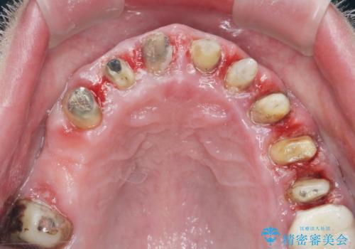
歯周組織検査を行うと歯ぐきからは容易に出血し、X線検査より歯とセラミッククラウンの適合が悪い(ピッタリと合っていない)状態が示唆され、歯ぐきの炎症を惹起している状態でした。
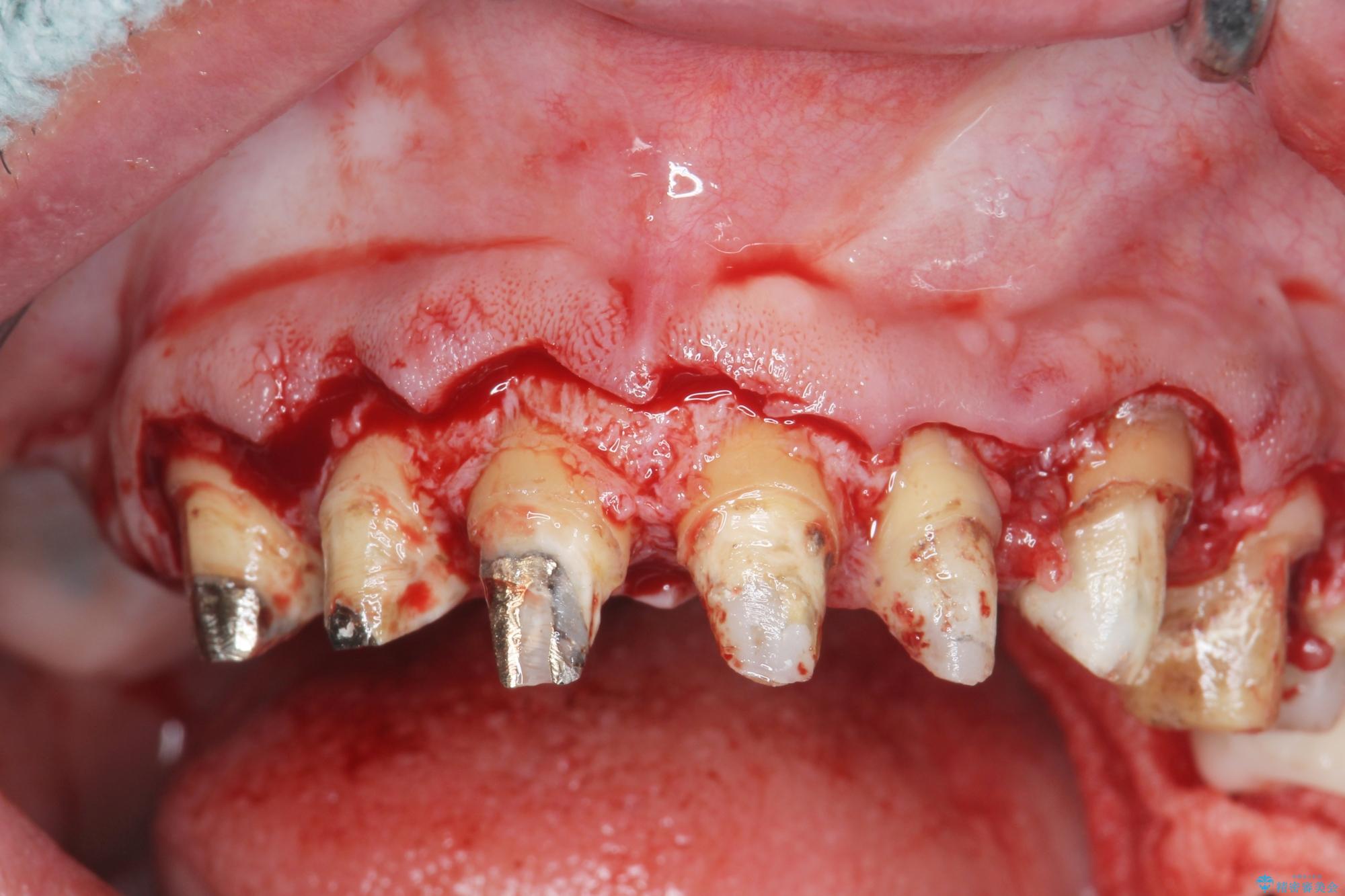
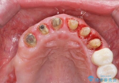
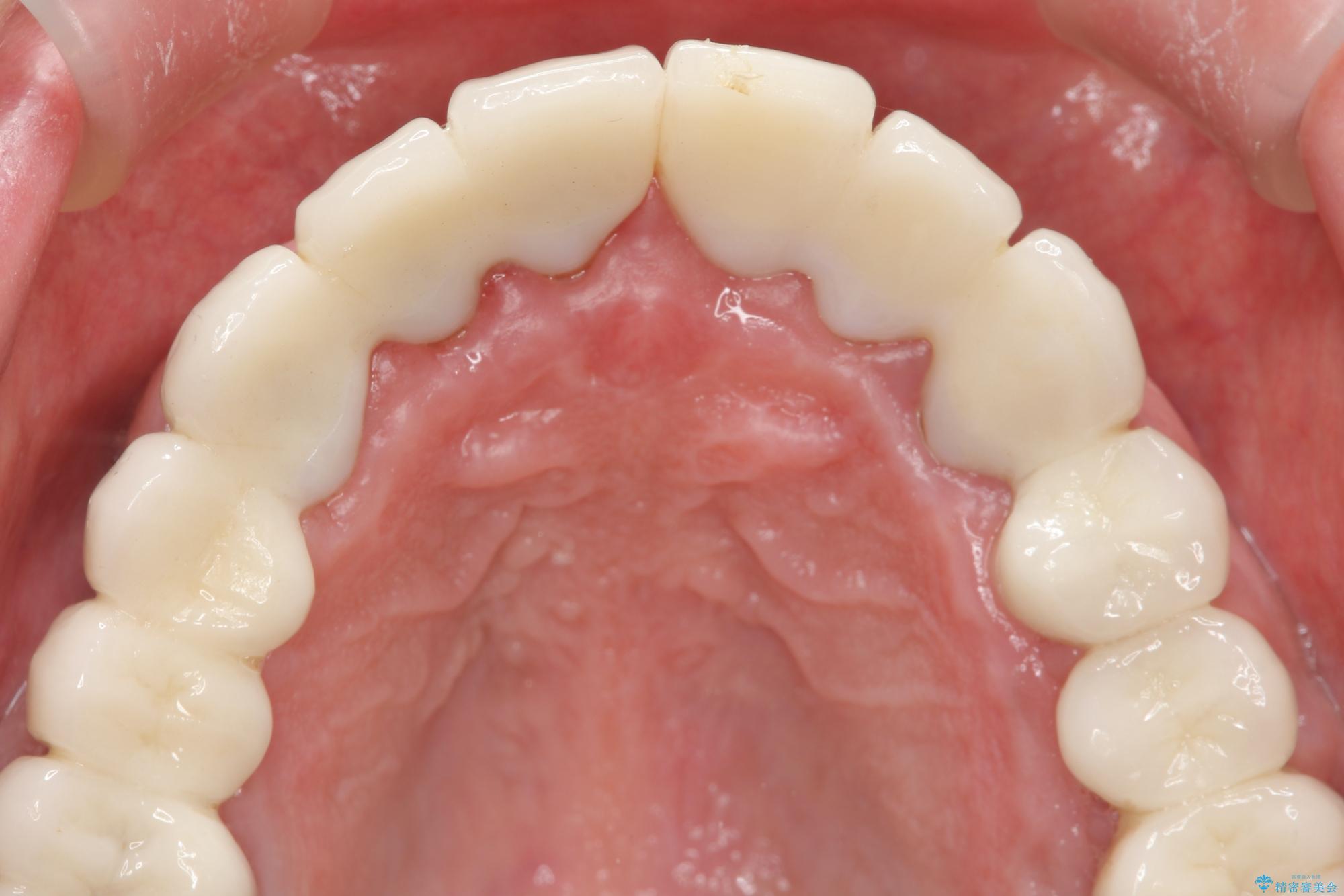
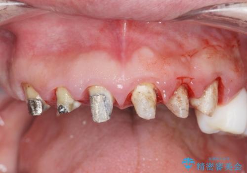
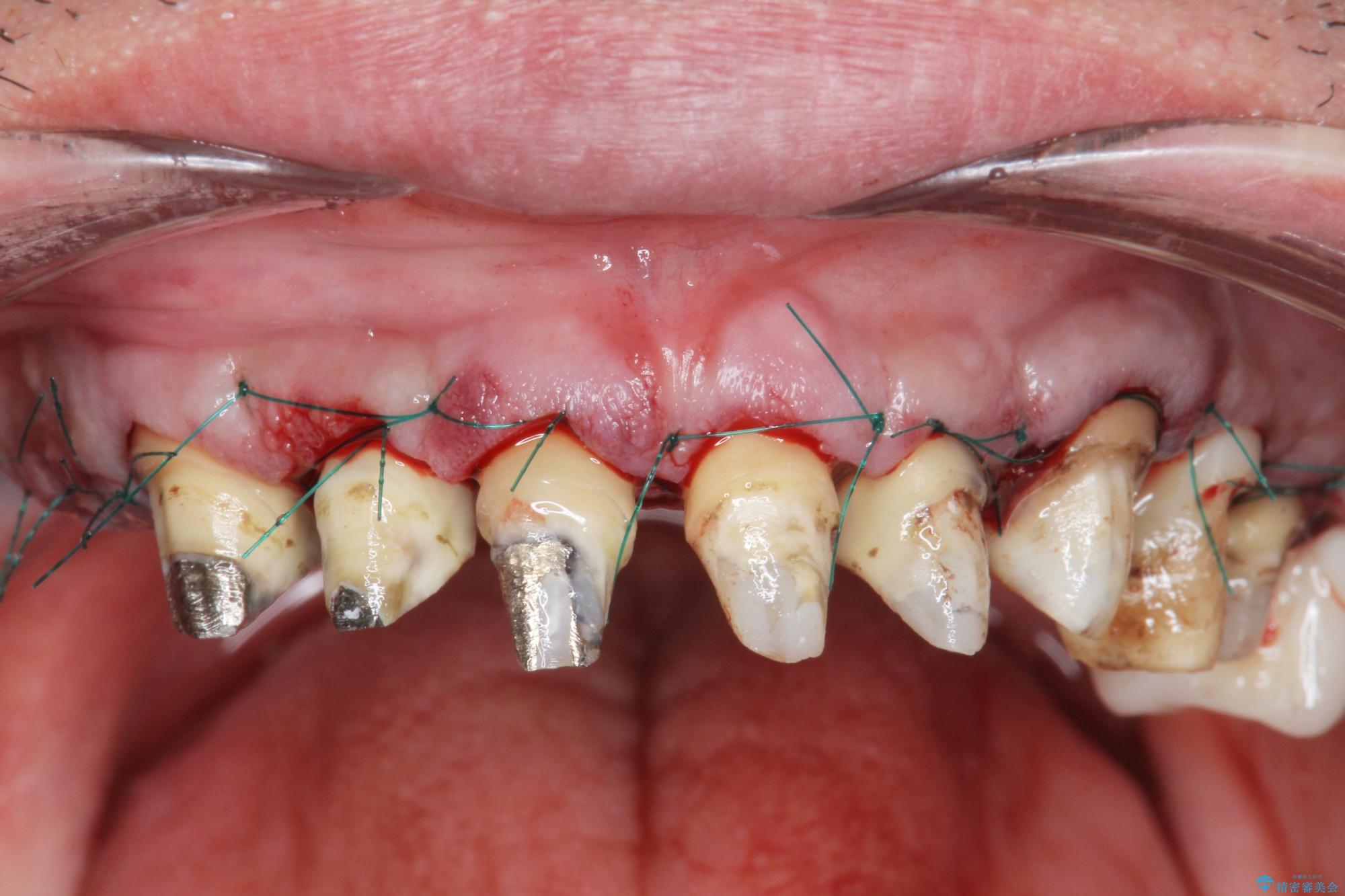
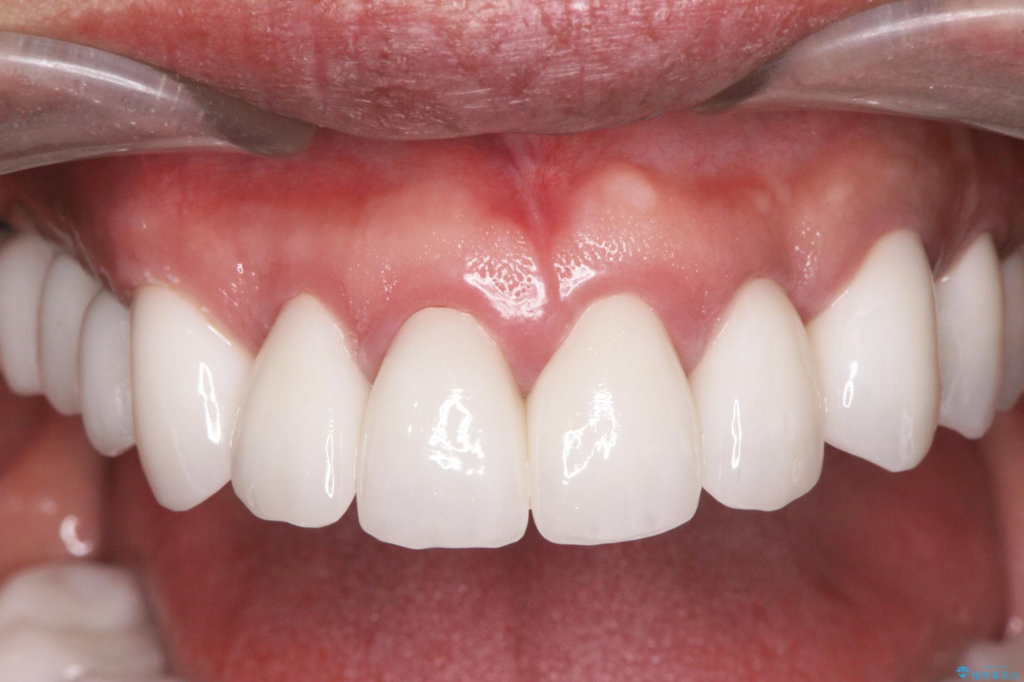
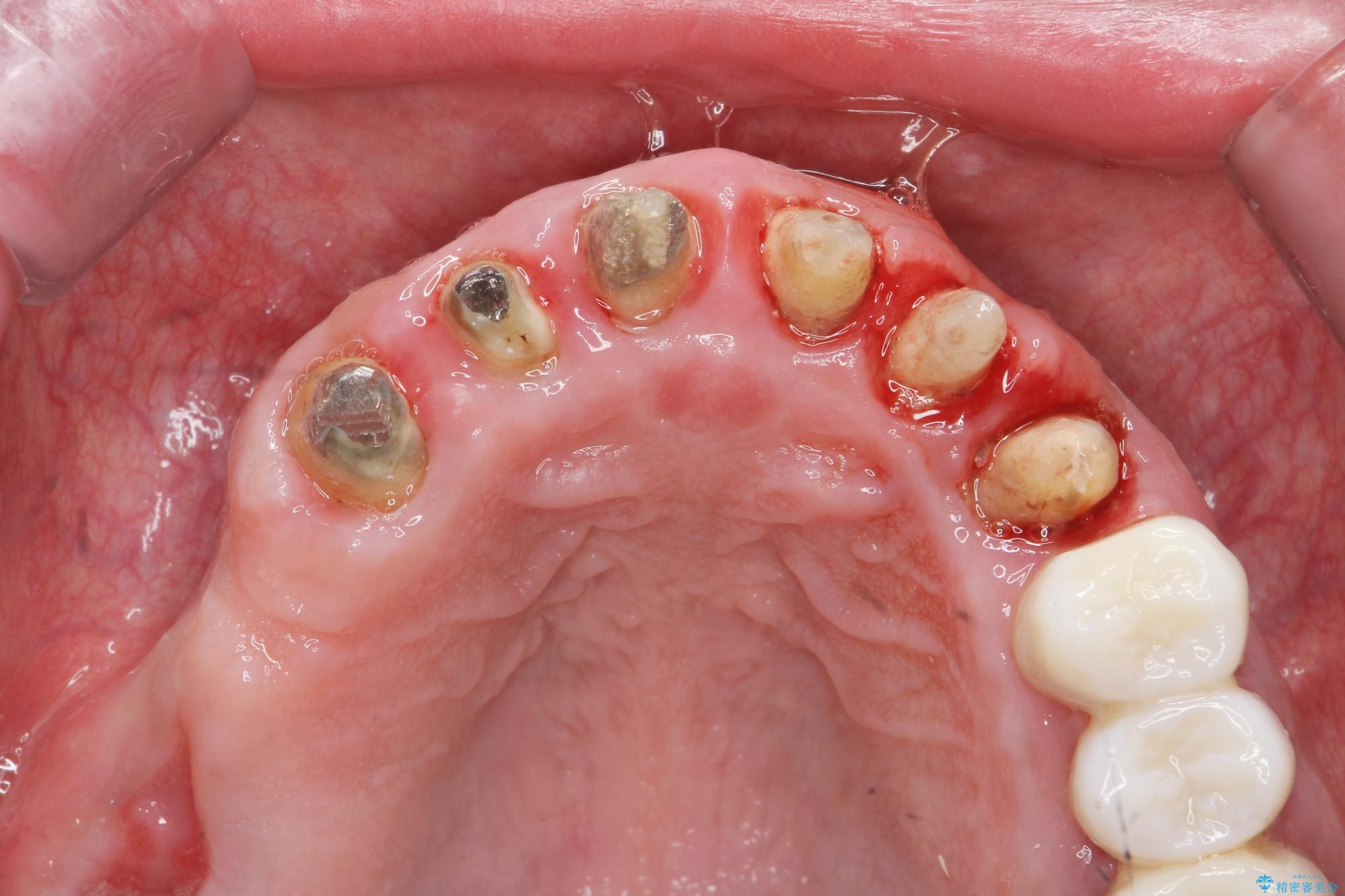
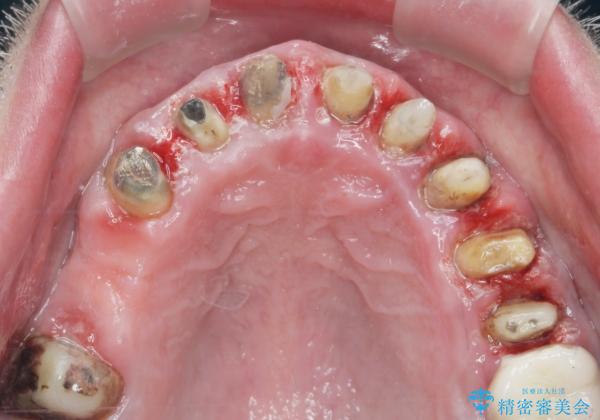
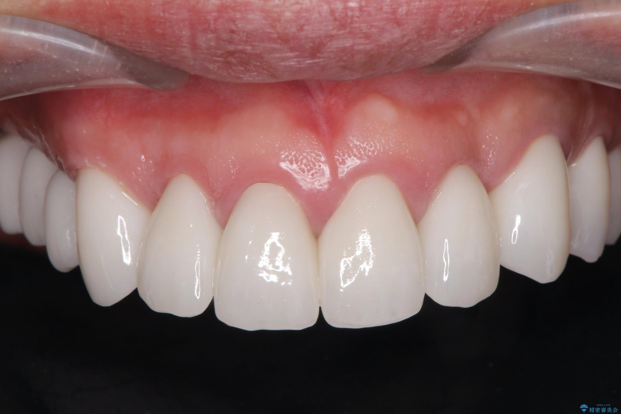
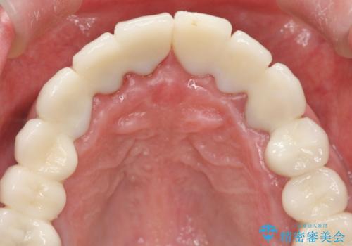
セラミッククラウンを除去し仮歯を装着し、歯周外科手術を行い歯ぐきの状態を改善したのち、適合の良いセラミッククラウンを再作製をする治療計画としました。
- 費用(概算)
- 90.2万円(ジルコニアクラウン×6・仮歯×6 ・歯周外科手術)費用は治療当時の料金となります
治療について
見た目の良いクラウンが装着されていても、歯ぐきの状態が悪ければ違和感や歯ぐきの腫れ、臭いの元となっていることが多く見られます。
外科処置の注意事項(リスク・副作用など)
- 外科手術のため、術後に出血、痛みや腫れ、違和感を伴います
- 口腔内の状態によっては適応できないことがあります
セラミック治療の注意事項(リスク・副作用など)
- 天然歯を削ります
- 硬い素材は天然歯を傷つけてしまう場合があります
- かみ合わせや歯ぎしりが強すぎる方はセラミックが割れてしまう可能性があります
- 自費診療(保険適用外治療)となります
当サイトの内容、テキスト、画像等の無断転載、複製、複写、盗用を固く禁じます。

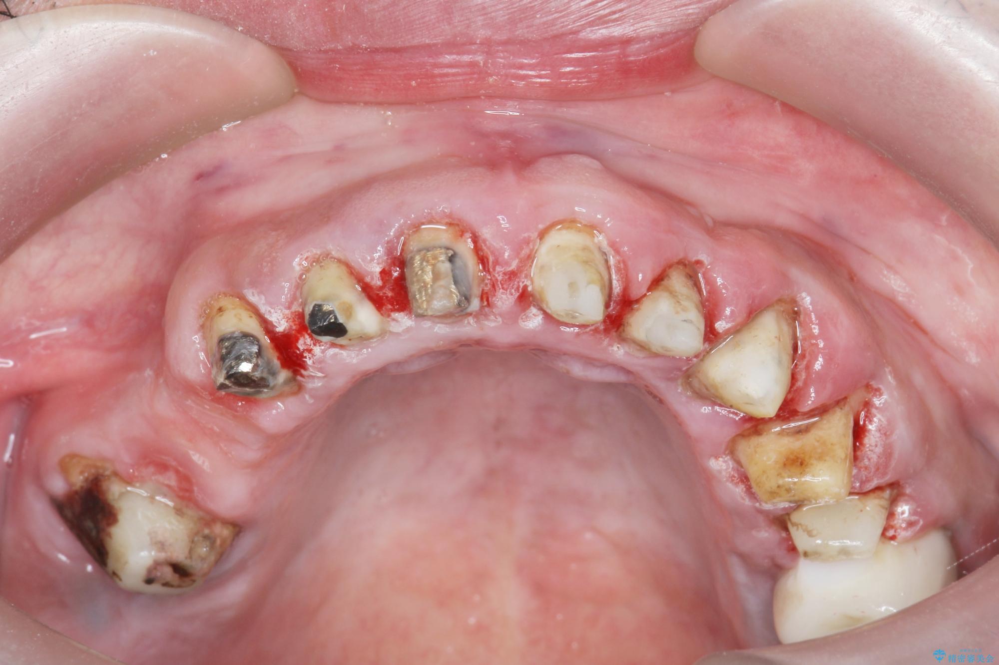
![[ 歯周外科手術 ] セラミック治療後の歯ぐきの違和感の治療前](https://seimitsushinbi.jp/wp/wp-content/uploads/2025/11/df0a5b4fd614aece98010182a50a102c-500x350.jpg?v=1763019354)
![[ 歯周外科手術 ] セラミック治療後の歯ぐきの違和感の治療中](https://seimitsushinbi.jp/wp/wp-content/uploads/2025/11/3650db37b7c6474b3cfef7e4a1b0f2b7-500x350.jpg?v=1763019400)
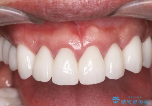
![[ 歯周外科手術 ] セラミック治療後の歯ぐきの違和感の治療後](https://seimitsushinbi.jp/wp/wp-content/uploads/2025/11/7205c034dbf47005c776c393589a0a36-500x350.jpg?v=1763019402)
![[ 歯周外科手術 ] セラミック治療後の歯ぐきの違和感の治療前](https://seimitsushinbi.jp/wp/wp-content/uploads/2025/11/a5b9d7d488e4872ae6f2fe3c4a38ba12-500x350.jpg?v=1763019227)
![[ 歯周外科手術 ] セラミック治療後の歯ぐきの違和感の治療中](https://seimitsushinbi.jp/wp/wp-content/uploads/2025/11/4a1339ee547351c41c90f13439ea8150-500x350.jpg?v=1763019374)
![[ 歯周外科手術 ] セラミック治療後の歯ぐきの違和感の治療後](https://seimitsushinbi.jp/wp/wp-content/uploads/2025/11/3c0e8ba4b775723fcd703204f3de8045-500x350.jpg?v=1763019232)
![[ 歯周外科手術 ] セラミック治療後の歯ぐきの違和感の治療前](https://seimitsushinbi.jp/wp/wp-content/uploads/2025/11/a781b68eae5d08e0ba7340fd460c658a-500x350.jpg?v=1763019358)
![[ 歯周外科手術 ] セラミック治療後の歯ぐきの違和感の治療中](https://seimitsushinbi.jp/wp/wp-content/uploads/2025/11/04713cdf669e6df6b5e1c7fe54d97672-500x350.jpg?v=1763019379)
![[ 歯周外科手術 ] セラミック治療後の歯ぐきの違和感の治療後](https://seimitsushinbi.jp/wp/wp-content/uploads/2025/11/a009a493f581ac2ec0879e2b763ca663-500x350.jpg?v=1763019404)
![[ 歯周外科手術 ] セラミック治療後の歯ぐきの違和感の治療前](https://seimitsushinbi.jp/wp/wp-content/uploads/2025/11/fbf0addf90b650db4c094c9cdd6c4827-500x350.jpg?v=1763019360)
![[ 歯周外科手術 ] セラミック治療後の歯ぐきの違和感の治療中](https://seimitsushinbi.jp/wp/wp-content/uploads/2025/11/93fc9047d54c0add579e8a316902080a-500x350.jpg?v=1763019387)
![[ 歯周外科手術 ] セラミック治療後の歯ぐきの違和感の治療後](https://seimitsushinbi.jp/wp/wp-content/uploads/2025/11/db162a6a1d6c530a9b45671cd094bd6d-500x350.jpg?v=1763019406)
![[ 歯周外科手術 ] セラミック治療後の歯ぐきの違和感の治療前](https://seimitsushinbi.jp/wp/wp-content/uploads/2025/11/4a61f42f5c4523664db2f4256408b96a-500x350.jpg?v=1763019366)
![[ 歯周外科手術 ] セラミック治療後の歯ぐきの違和感の治療中](https://seimitsushinbi.jp/wp/wp-content/uploads/2025/11/fab654c16eb11a31133e84a7f6fbd8d7-500x350.jpg?v=1763019397)
![[ 歯周外科手術 ] セラミック治療後の歯ぐきの違和感の治療前](https://seimitsushinbi.jp/wp/wp-content/uploads/2025/11/a7b7befd6f0a1bbe4327bb01558d3ea5-500x350.jpg?v=1763019363)
![[ 歯周外科手術 ] セラミック治療後の歯ぐきの違和感の治療中](https://seimitsushinbi.jp/wp/wp-content/uploads/2025/11/212bd199cff3b328c26b9763d8d5b38a-500x350.jpg?v=1763019376)
![[ 歯周外科手術 ] セラミック治療後の歯ぐきの違和感の治療前](https://seimitsushinbi.jp/wp/wp-content/uploads/2025/11/02e72fcd13459f2f76838f0e2bc2f9ce-500x350.jpg?v=1763019368)
![[ 歯周外科手術 ] セラミック治療後の歯ぐきの違和感の治療中](https://seimitsushinbi.jp/wp/wp-content/uploads/2025/11/5410ff0f80bbee1626142037833a0273-500x350.jpg?v=1763019383)
![[ 歯周外科手術 ] セラミック治療後の歯ぐきの違和感の治療中](https://seimitsushinbi.jp/wp/wp-content/uploads/2025/11/801ad2a4dd379c3903ee608fcd388c34-500x350.jpg?v=1763019390)
![[ 歯周外科手術 ] セラミック治療後の歯ぐきの違和感の治療中](https://seimitsushinbi.jp/wp/wp-content/uploads/2025/11/75243ce72425f7df6e71d984d346515d-500x350.jpg?v=1763019371)
![[ 歯周外科手術 ] セラミック治療後の歯ぐきの違和感の治療中](https://seimitsushinbi.jp/wp/wp-content/uploads/2025/11/50c5682a368d56f3ec205bde17ee530a-500x350.jpg?v=1763019875)
![[ 歯周外科手術 ] セラミック治療後の歯ぐきの違和感の治療中](https://seimitsushinbi.jp/wp/wp-content/uploads/2025/11/127933393e3dae239325a371a7674b03-500x350.jpg?v=1763019393)