症例詳細
Case detail
歯の水平・垂直的位置を整備したセラミッククラウン治療
治療症例の内容
- 患者様
- 20代女性
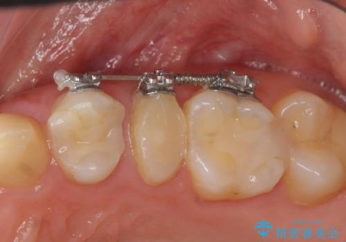
- 矯正装置
- 部分ワイヤー矯正
- 治療期間
- 6ヶ月
- 治療回数
- 10-30回
- 治療計画
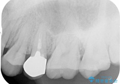
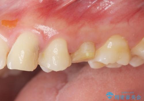
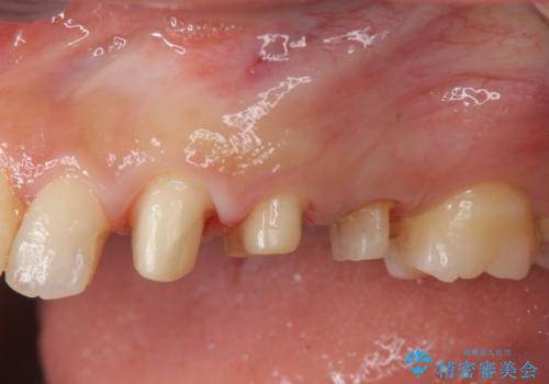
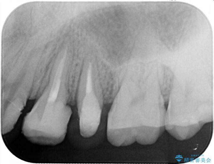
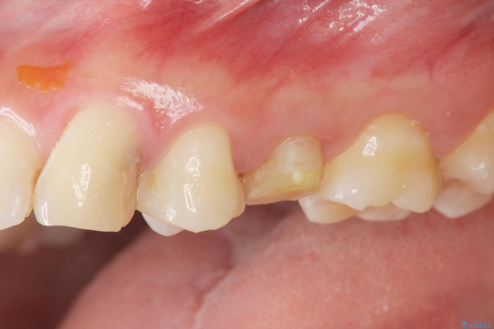
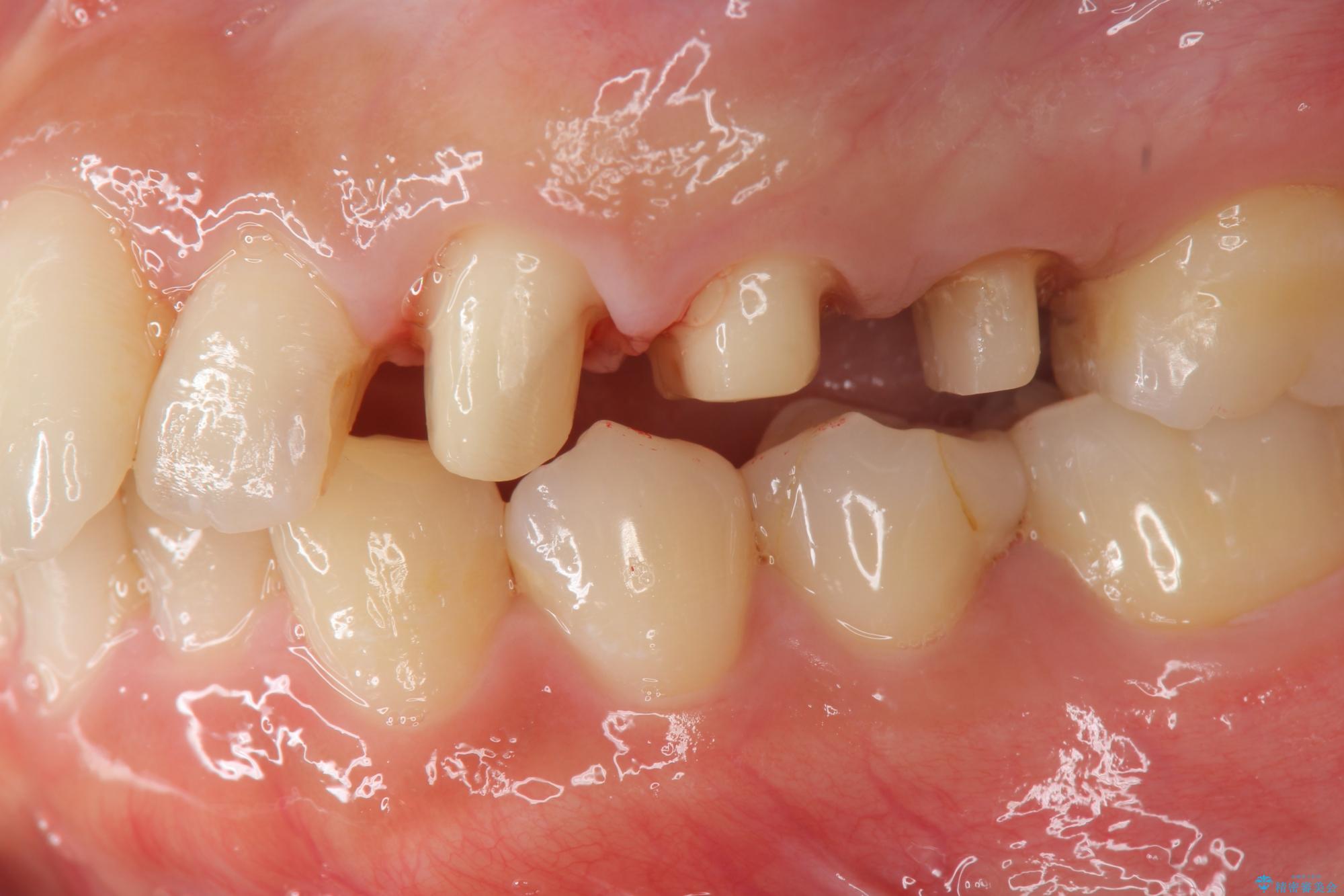
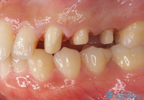
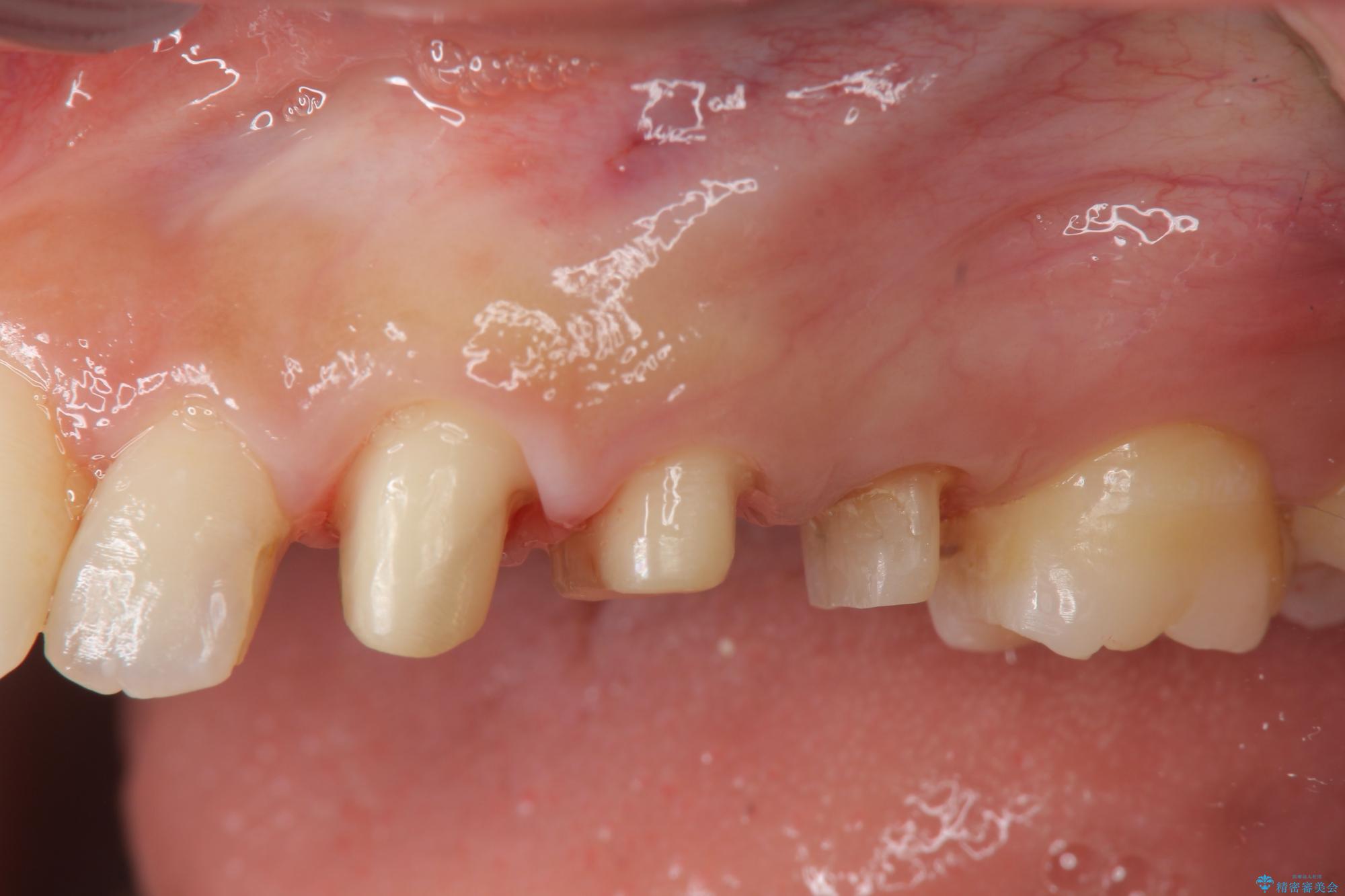
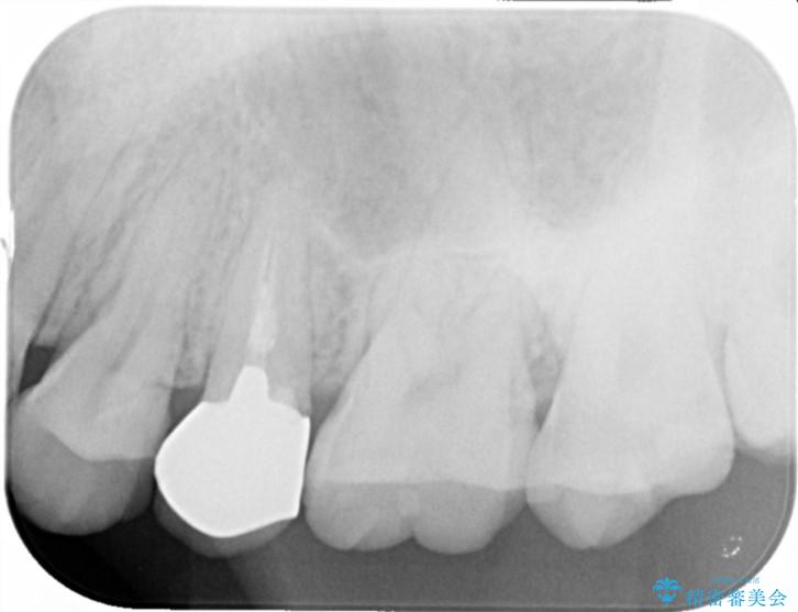
- 歯ぐきの腫れや、歯の内部が黒く見えることからの虫歯の治療を求めて来院されました。
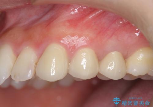
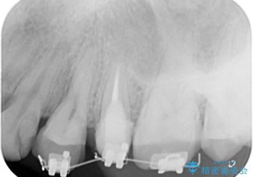
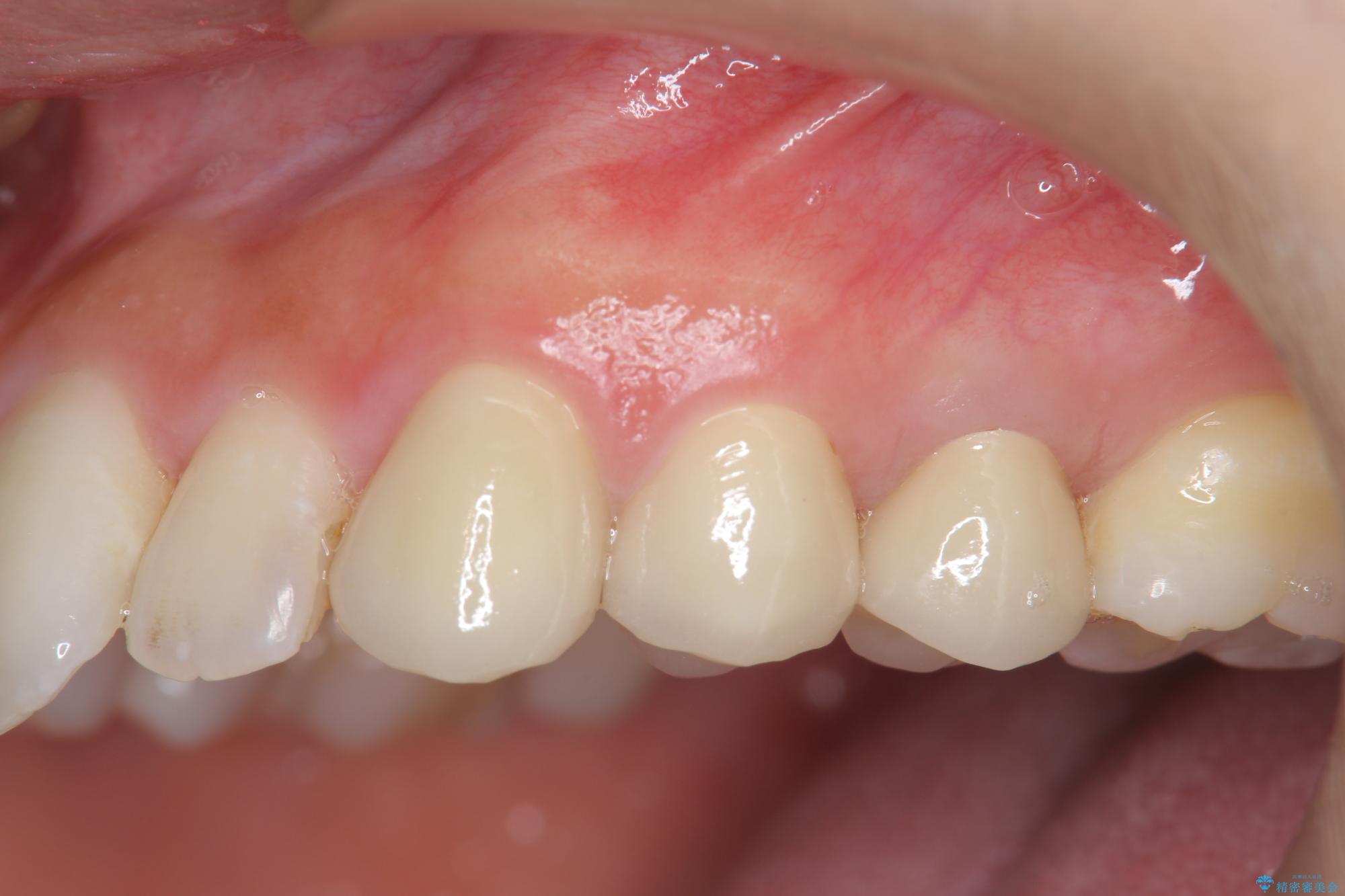
虫歯が大きかったことから、神経の温存はできたものの歯ぐきよりも深い虫歯の問題を解決するため部分矯正治療を併用したセラミック治療を行うこととしました。
- 費用(概算)
- 50.6万円(ジルコニアクラウン×3・仮歯×3・部分矯正)費用は治療当時の料金となります
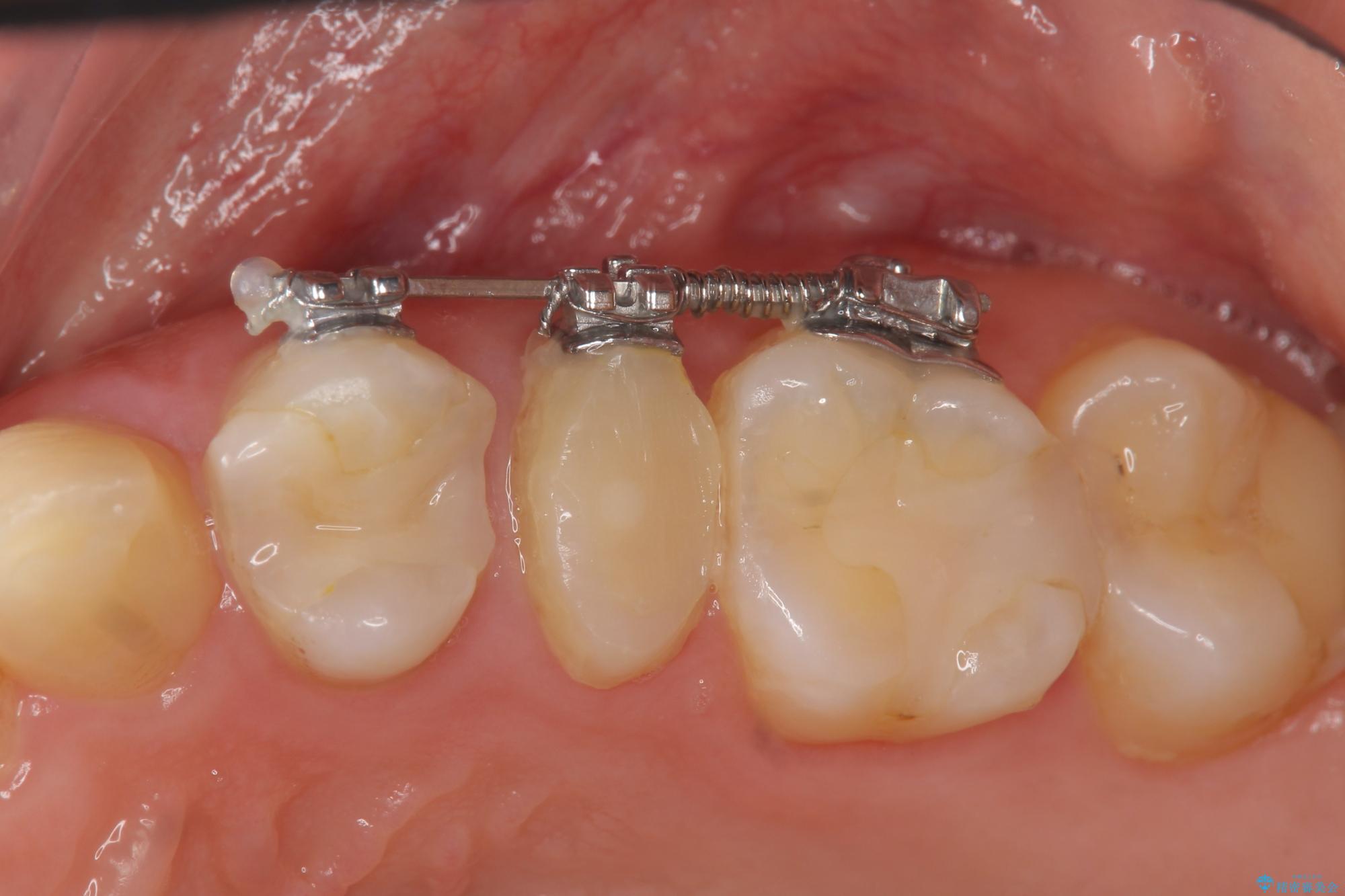
治療について
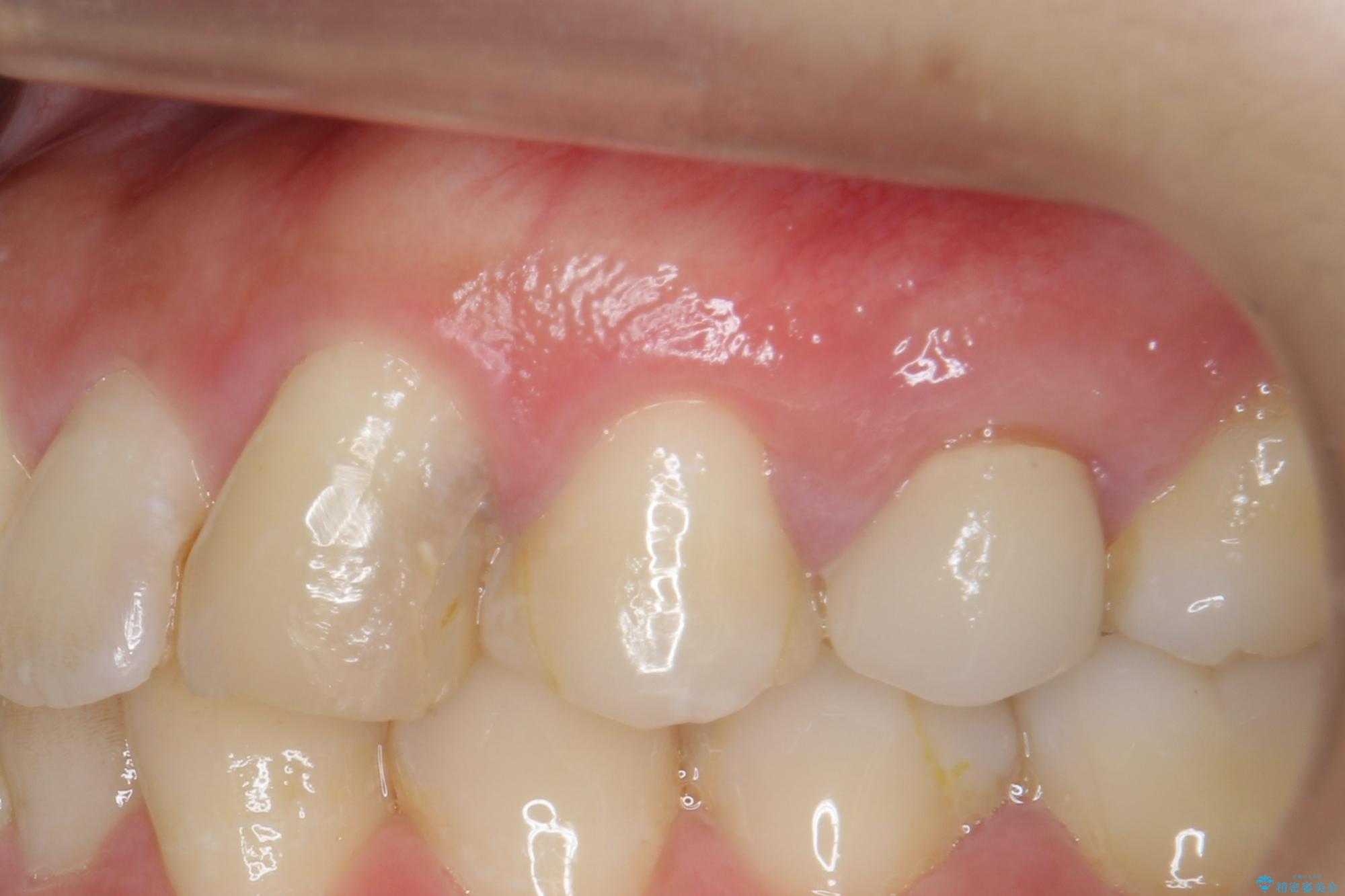
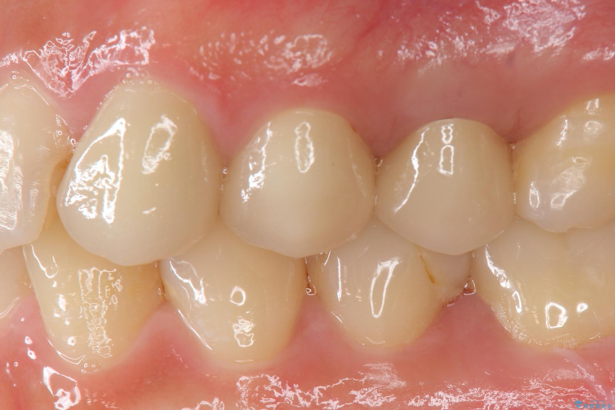
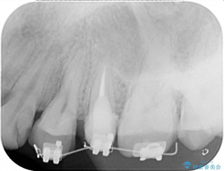
当初、歯ぐきよりも深い虫歯のぞんざいや、歯のポジションに問題がありましたがマルチブラケットを用いた部分矯正を行うことで適切な位置へと歯を移動させ、歯周環境を整えたセラミック治療を行うことができました。
セラミック治療の注意事項(リスク・副作用など)
- 天然歯を削ります
- 硬い素材は天然歯を傷つけてしまう場合があります
- かみ合わせや歯ぎしりが強すぎる方はセラミックが割れてしまう可能性があります
- 自費診療(保険適用外治療)となります
当サイトの内容、テキスト、画像等の無断転載、複製、複写、盗用を固く禁じます。


















