症例・治療例紹介
Cases
その他 → クリーニング(PMTC)
1ページ目 / 37
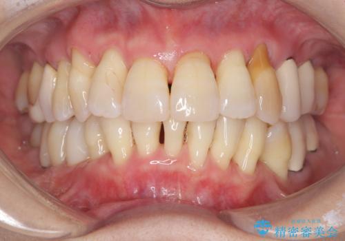
染め出しをしてエアフローで綺麗にクリーニング
担当医 歯科衛生士


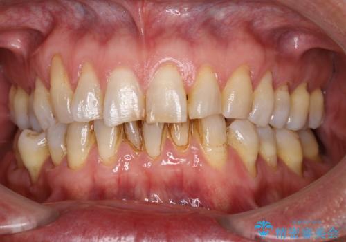
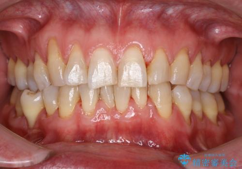
歯を綺麗にしたい!
担当医 歯科衛生士


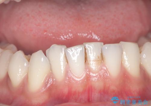
歯石除去で舌触りの変化
担当医 歯科衛生士


ホワイトニングしようと思っていたが、クリーニングで済んだ!
担当医 歯科衛生士


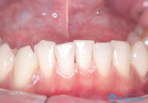
歯茎が下がっているかたエアーフローを特にお勧めします
担当医 歯科衛生士


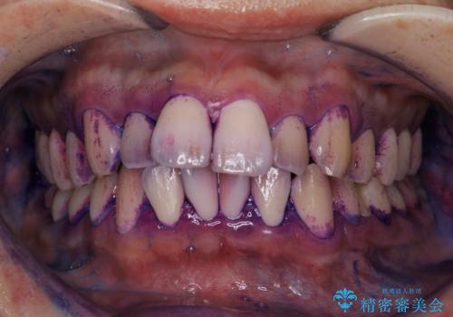
職場で口臭を指摘された (ワイヤー矯正中)
担当医 歯科衛生士


コーヒーなどでついた濃い着色の除去
担当医 歯科衛生士


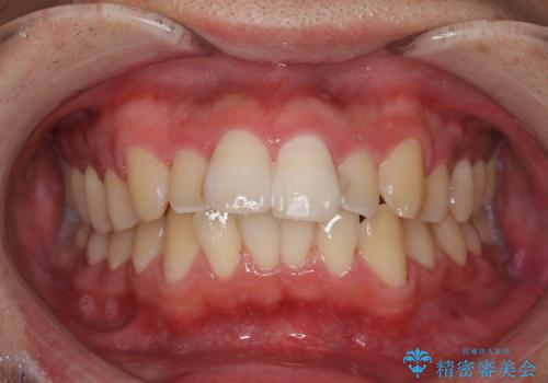
ワイヤー矯正治療中に歯の着色を綺麗に
担当医 歯科衛生士


白い歯、健康な歯は、クリーニングから
担当医 歯科衛生士


イベント前にエアフローで口元を綺麗に
担当医 歯科衛生士


ワイヤー矯正中のクリーニング(エアフロー使用)
担当医 歯科衛生士


歯の着色にはエアーフロー
担当医 歯科衛生士


セラミックを付ける前にエアフローで綺麗ににクリーニング
担当医 歯科衛生士


歯周病治療とエアーフロー


しぶといステインもエアフローワンで1日でキレイに!!
担当医 歯科衛生士


プロフェッショナルクリーニングの注意事項(リスク・副作用など)
- 歯を白くする目的の施術ではありません
- 保険適用外となります
