症例・治療例紹介
Cases
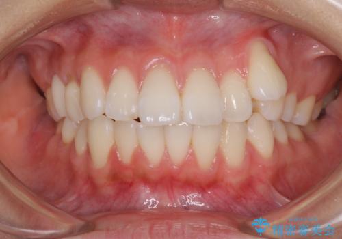
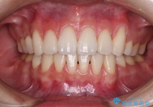
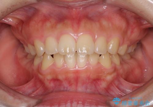
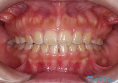
矯正歯科治療 → 上下顎前突(口ゴボ)
8ページ目 / 13
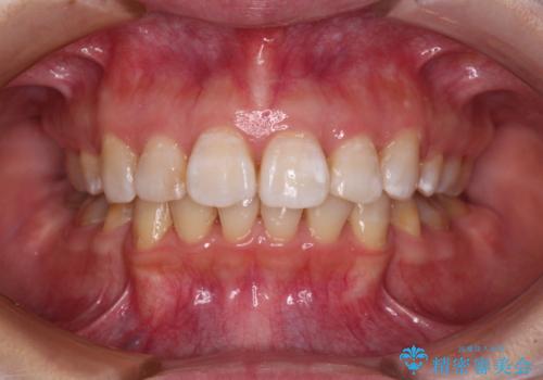
口がしっかりと閉じられない ワイヤー装置での抜歯矯正で出っ歯を改善
担当医 藤巻太一朗


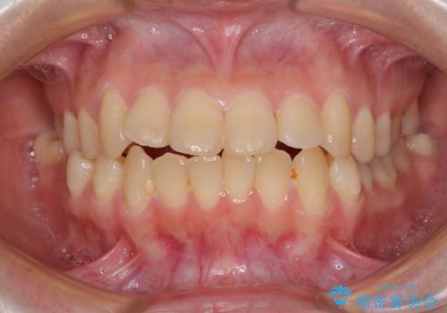
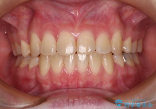
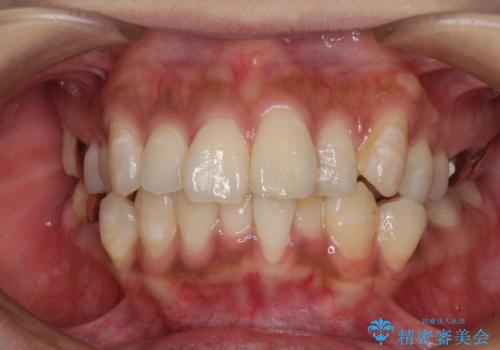
【モニター】気になる八重歯を素早く改善 ワイヤー装置での抜歯矯正


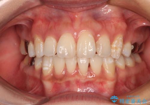
歯ぐき、骨が薄い方のマウスピース矯正治療 非抜歯でもIPR(歯を削る処置)で口元に変化を


口元をさげたい ワイヤーによる抜歯矯正


インビザライン 犬歯のねじれを治したい


上下の出っ歯を治したい ワイヤー装置による抜歯矯正
担当医 藤巻太一朗


短期間で口元の突出感を改善 ワイヤー装置での抜歯矯正


口元の突出感改善 なるべく銀歯を抜歯してワイヤー矯正
担当医 藤巻太一朗


出っ歯を改善 目立たないワイヤー装置での抜歯矯正
担当医 藤巻太一朗


口元を引っ込めたい 目立たないワイヤー装置での抜歯矯正
担当医 藤巻太一朗


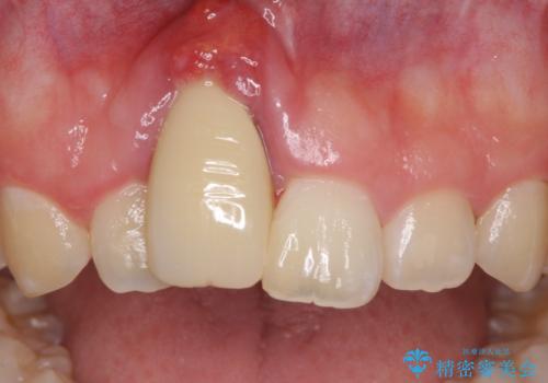
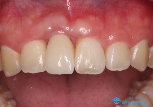
怪我をして不格好な前歯 矯正治療とインプラント補綴治療


膨らんだ口元が気になる ワイヤー装置による抜歯矯正
担当医 藤巻太一朗


飛び出した前歯を引っ込めたい 目立たないワイヤーでの抜歯矯正


口元の出っ張りとデコボコを改善したい


ワイヤー装置の抜歯矯正で横顔の口元の印象をすっきりと


ワイヤー矯正歯科治療の注意事項(リスク・副作用など)
- 治療中は違和感や痛みが起こることがあります
- 症状により、抜歯が必要な場合があります
- 治療中は歯磨きがしにくくなるため、虫歯や歯周病になりやすくなります
- 矯正治療後の保定が不十分だと後戻り(元の位置に戻ろうとする動き)をします
- 自費診療(保険適用外)となります
マウスピース矯正の注意事項(リスク・副作用など)
- 口腔内・歯並びの状態によっては対応できない場合があります
- マウスピース型矯正装置の長時間装着が必須です
- 治療計画通りに進めるためには、患者様の意志が重要になります
- 矯正治療後の保定が不十分だと後戻り(元の位置に戻ろうとする動き)をします
- 自費診療(保険適用外)となります
