症例・治療例紹介
Cases
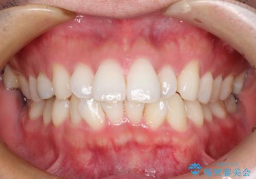
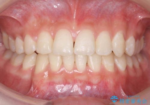
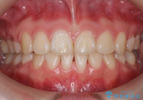
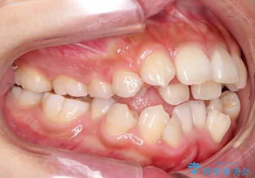
矯正歯科治療 → 叢生(でこぼこ・八重歯)
72ページ目 / 91
インビザライン矯正とインプラント補綴 深い咬み合わせと奥歯の欠損治療


フルリンガル矯正 非抜歯でガタつきを整える


デコボコと深い咬み合わせの改善 インビザラインによる矯正治療


インビザラインによる前歯の矯正治療
担当医 藤巻太一朗


軽度な歯列不正 インビザライン・ライトによる矯正治療
担当医 藤巻太一朗


矯正治療の後戻りをインビザライン・ライトで改善
担当医 藤巻太一朗


埋まっている犬歯を抜歯して、歯列矯正


抜かない矯正 前歯がとび出ているのをマウスピースで


インビザラインで前歯のがたつきを目立たずに矯正治療


エナメル質形成不全症の方の全顎治療 矯正治療から最終補綴処置まで


成人式に間に合う 前歯の矯正


人生が変わる 困難を極める咬合状態に歯列矯正単独で挑戦する


ハーフリンガル抜歯矯正 八重歯を改善する


抜歯矯正で口元に変化を ラビアル・ワイヤー矯正でEライン


抜歯をして前歯を下げ、ガタつきを取り除く ワイヤー矯正


ワイヤー矯正歯科治療の注意事項(リスク・副作用など)
- 治療中は違和感や痛みが起こることがあります
 - 症状により、抜歯が必要な場合があります
 - 治療中は歯磨きがしにくくなるため、虫歯や歯周病になりやすくなります
 - 矯正治療後の保定が不十分だと後戻り(元の位置に戻ろうとする動き)をします
 - 自費診療(保険適用外)となります
 
マウスピース矯正の注意事項(リスク・副作用など)
- 口腔内・歯並びの状態によっては対応できない場合があります
 - マウスピース型矯正装置の長時間装着が必須です
 - 治療計画通りに進めるためには、患者様の意志が重要になります
 - 矯正治療後の保定が不十分だと後戻り(元の位置に戻ろうとする動き)をします
 - 自費診療(保険適用外)となります
 
