症例・治療例紹介
Cases
矯正歯科治療 → インビザライン
66ページ目 / 76
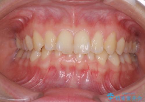
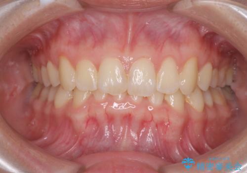
上顎骨拡大を併用したインビザライン矯正
担当医 藤巻太一朗


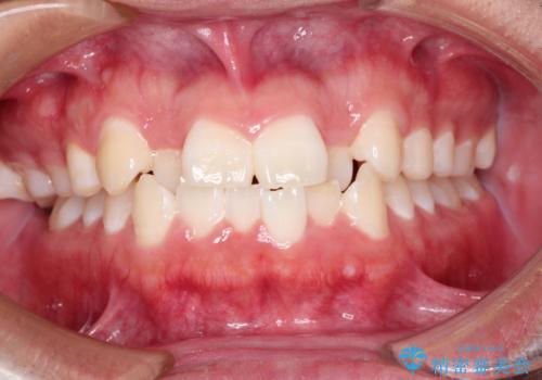
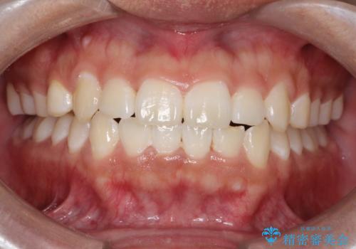
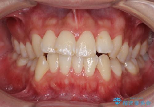
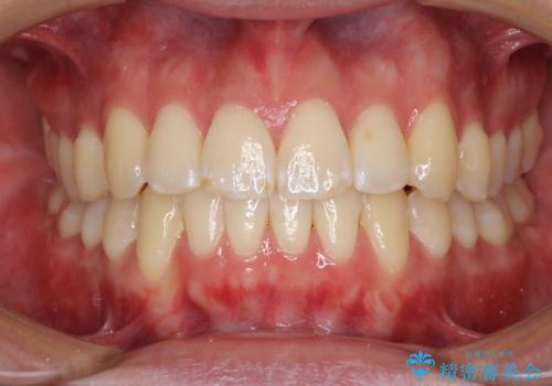
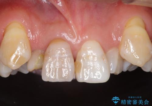
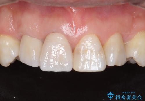
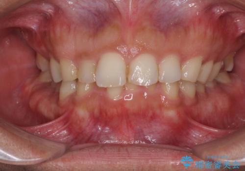
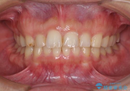
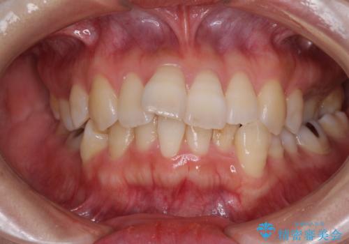
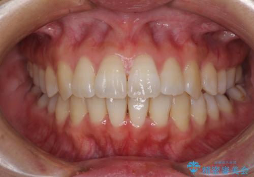
前歯のガタガタを目立たずきれいにしたい インビザラインによる見えない矯正


前歯の歯並びが気になる マウスピース矯正 30代女性


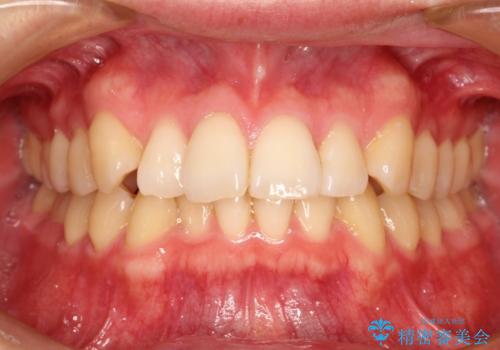
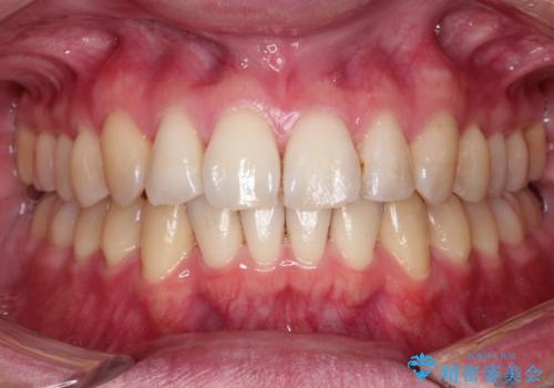
[インビザライン ライト] 短期間(3.5ヶ月)で終わるマウスピース矯正
![[インビザライン ライト] 短期間(3.5ヶ月)で終わるマウスピース矯正の症例 治療前](https://seimitsushinbi.jp/wp/wp-content/uploads/2020/02/C3-500x350.jpg?v=1580813654)
![[インビザライン ライト] 短期間(3.5ヶ月)で終わるマウスピース矯正の症例 治療後](https://seimitsushinbi.jp/wp/wp-content/uploads/2020/02/2f36cdf472a802b537022ae239b8cb6b-500x350.jpg?v=1580813669)
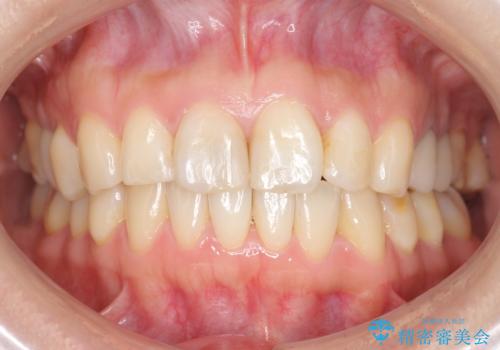
インビザライン矯正 神経のない歯をとって、全て天然歯に


インビザラインでデコボコを目立たず矯正


インビザラインで整った口元に
担当医 藤巻太一朗


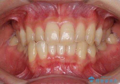
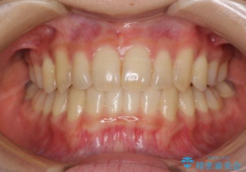
奥に引っ込んでいる歯をセラミックでかぶせたい 補綴前矯正 50代男性


インビザライン矯正とインプラント補綴 深い咬み合わせと奥歯の欠損治療


デコボコと深い咬み合わせの改善 インビザラインによる矯正治療


インビザラインによる前歯の矯正治療
担当医 藤巻太一朗


マウスピース矯正の注意事項(リスク・副作用など)
- 口腔内・歯並びの状態によっては対応できない場合があります
- マウスピース型矯正装置の長時間装着が必須です
- 治療計画通りに進めるためには、患者様の意志が重要になります
- 矯正治療後の保定が不十分だと後戻り(元の位置に戻ろうとする動き)をします
- 自費診療(保険適用外)となります








