症例・治療例紹介
Cases
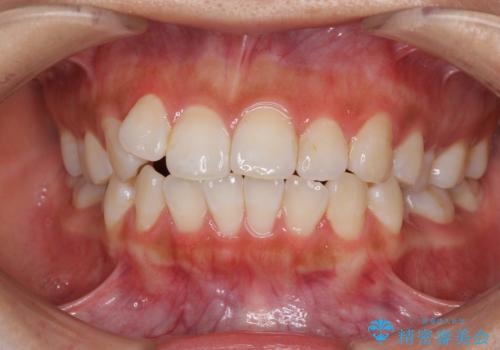
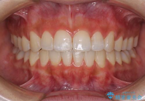
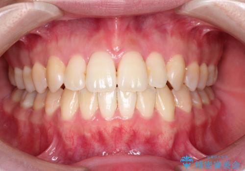
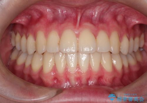
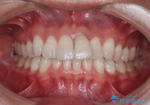
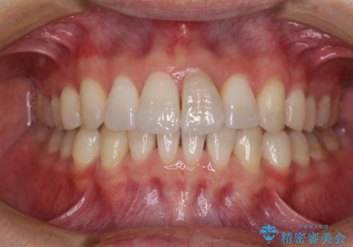
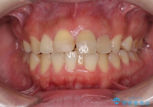
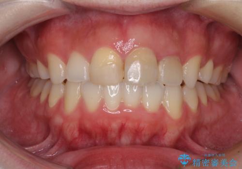
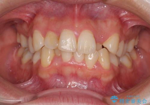
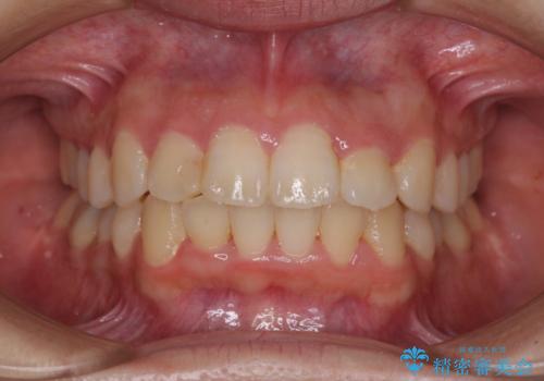
矯正歯科治療 → 叢生(でこぼこ・八重歯)
62ページ目 / 91
【モニター】オープンバイトをインビザラインで矯正治療


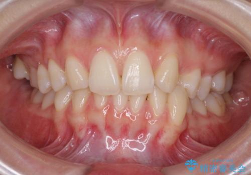
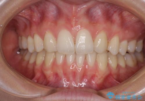
前歯のデコボコが気になる インビザラインによる矯正治療
担当医 藤巻太一朗


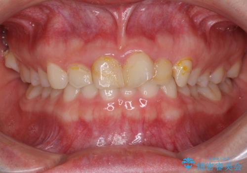
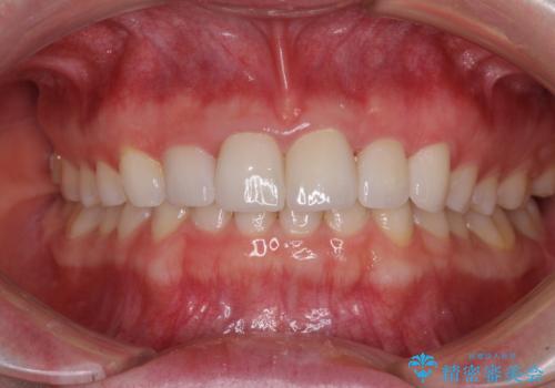
気になるデコボコとオープンバイト インビザラインでの矯正治療


上下の八重歯を治したい 補助装置を用いたインビザライン矯正
担当医 藤巻太一朗


前歯のがたつき インビザラインで


気になる前歯を美しく マウスピース矯正とセラミッククラウン


仕事上装置をつけることができない インビザラインで目立たない矯正


インビザラインによる非抜歯矯正 ガタガタな歯並びを整った歯並びへ


気になる部分を全て治療 総合歯科治療で口腔内環境改善
担当医 藤巻太一朗


前歯のデコボコを治したい インビザラインによる矯正治療
担当医 藤巻太一朗


歯列不正と歯周病 総合歯科治療による全顎治療
担当医 藤巻太一朗


抜歯矯正の後戻り インビザラインによるオープンバイトの再矯正
担当医 藤巻太一朗


短期間で終了 デコボコをワイヤー矯正で解消


前歯のデコボコを改善 目立たないワイヤー矯正
担当医 藤巻太一朗


上顎前歯が2本欠損 インビザラインによる叢生の解消


ワイヤー矯正歯科治療の注意事項(リスク・副作用など)
- 治療中は違和感や痛みが起こることがあります
- 症状により、抜歯が必要な場合があります
- 治療中は歯磨きがしにくくなるため、虫歯や歯周病になりやすくなります
- 矯正治療後の保定が不十分だと後戻り(元の位置に戻ろうとする動き)をします
- 自費診療(保険適用外)となります
マウスピース矯正の注意事項(リスク・副作用など)
- 口腔内・歯並びの状態によっては対応できない場合があります
- マウスピース型矯正装置の長時間装着が必須です
- 治療計画通りに進めるためには、患者様の意志が重要になります
- 矯正治療後の保定が不十分だと後戻り(元の位置に戻ろうとする動き)をします
- 自費診療(保険適用外)となります
