症例・治療例紹介
Cases
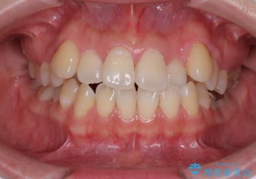
矯正歯科治療 → 叢生(でこぼこ・八重歯)
61ページ目 / 91
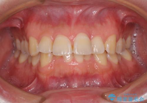
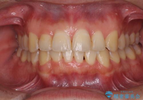
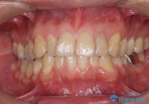
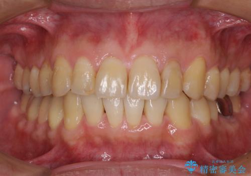
前歯の正中のズレを改善 目立たないワイヤー装置での抜歯矯正
担当医 藤巻太一朗


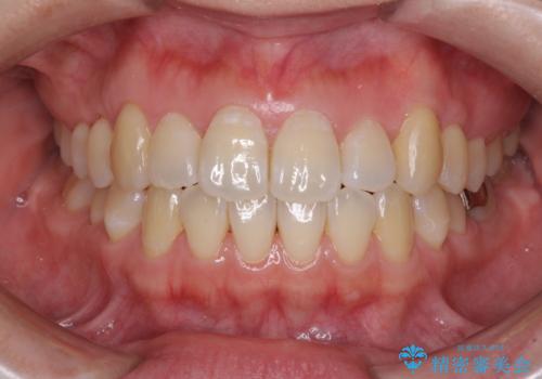
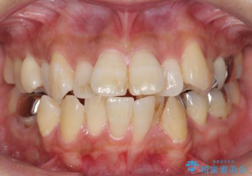
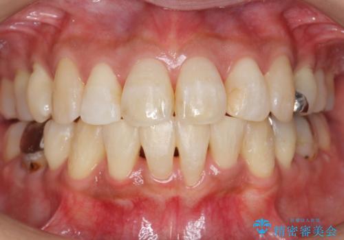
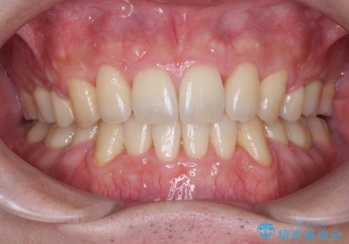
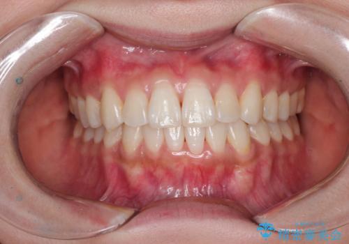
口元の突出感を改善 インビザラインによる非抜歯矯正


インビザライン・ライトにより後戻りの再矯正
担当医 藤巻太一朗


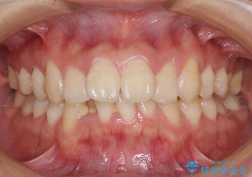
八重歯の再矯正 インビザラインでストレスなく矯正治療


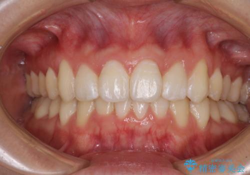
中学生のワイヤー矯正 クロスバイトを短期間で改善


上下前歯の叢生をインビザラインできれいに
担当医 藤巻太一朗


ディープバイトと叢生を解消 インビザライン矯正


上顎の狭窄歯列 インビザラインによる拡大矯正


出っ歯 前歯のがたがた 口元を引っ込めたい


前歯のデコボコと下顎の八重歯 インビザラインによる矯正治療
担当医 藤巻太一朗


前歯のデコボコを改善 インビザライン矯正
担当医 藤巻太一朗


前歯のガタガタをきれいにしたい ワイヤーによる抜歯矯正で整った歯並びへ


前歯のがたつきと反対咬合 インビザラインによる矯正治療


前歯の叢生を解消 ワイヤー装置での抜歯矯正


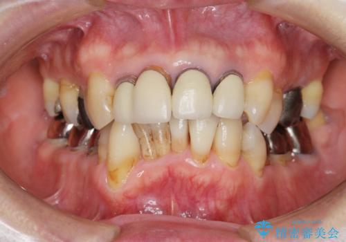
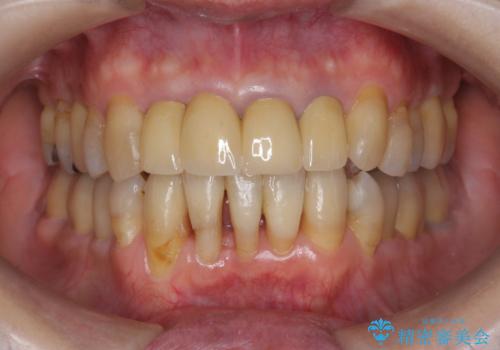
矯正を含む全顎治療


ワイヤー矯正歯科治療の注意事項(リスク・副作用など)
- 治療中は違和感や痛みが起こることがあります
- 症状により、抜歯が必要な場合があります
- 治療中は歯磨きがしにくくなるため、虫歯や歯周病になりやすくなります
- 矯正治療後の保定が不十分だと後戻り(元の位置に戻ろうとする動き)をします
- 自費診療(保険適用外)となります
マウスピース矯正の注意事項(リスク・副作用など)
- 口腔内・歯並びの状態によっては対応できない場合があります
- マウスピース型矯正装置の長時間装着が必須です
- 治療計画通りに進めるためには、患者様の意志が重要になります
- 矯正治療後の保定が不十分だと後戻り(元の位置に戻ろうとする動き)をします
- 自費診療(保険適用外)となります
