症例・治療例紹介
Cases
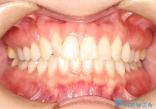
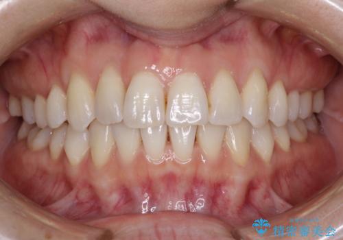
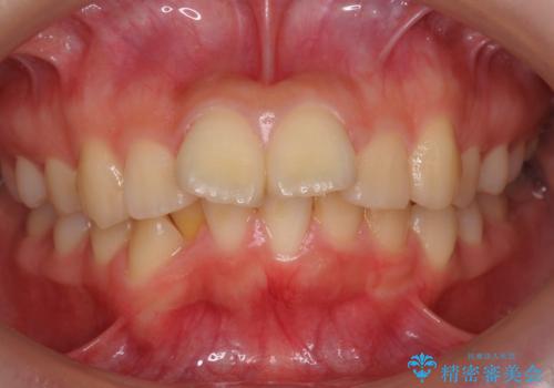
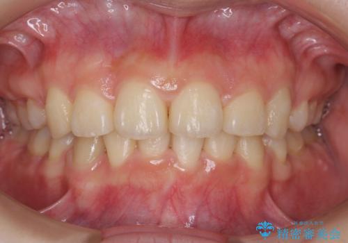
矯正歯科治療 → 叢生(でこぼこ・八重歯)
59ページ目 / 91
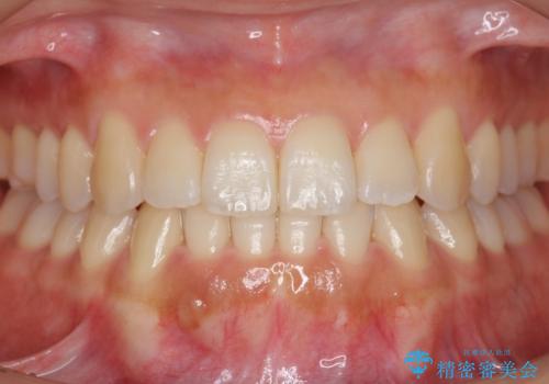
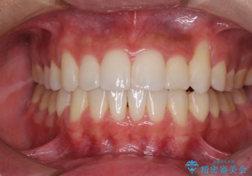
インビザラインによる矯正治療 前歯を整った歯並びへ


狭い歯列と前歯のデコボコ インビザラインによる矯正治療
担当医 藤巻太一朗


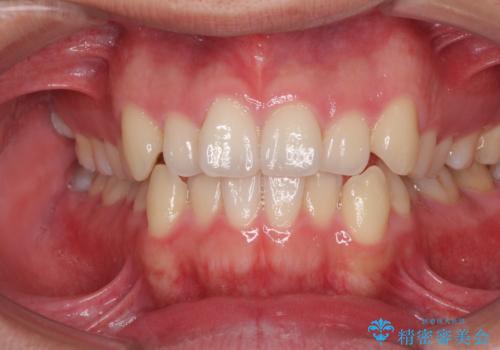
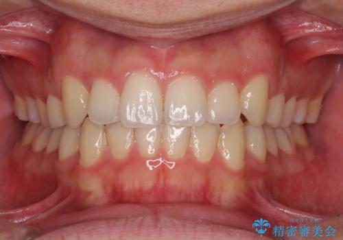
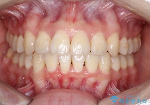
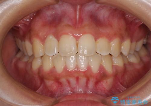
前歯のがたつき インビザラインで 下の奥歯を後ろに下げる


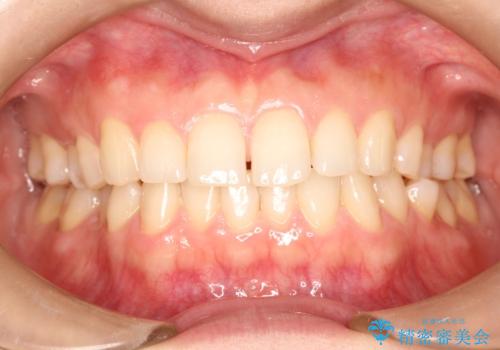
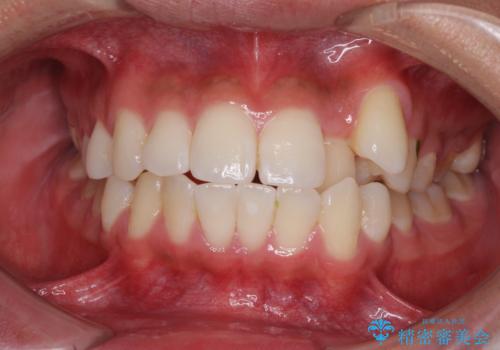
出っ歯を治したい 過蓋咬合


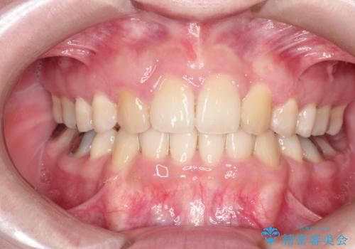
遠方から新幹線で通院 急速拡大装置とインビザラインによる矯正治療


歯列不正と歯周病 総合歯科治療による全顎治療
担当医 藤巻太一朗


【インビザライン】前歯の凸凹をなおしたい
担当医 河口智英


【インビザライン】前歯のガタガタを綺麗にしたい。
担当医 河口智英


犬歯が変な位置にある 抜歯矯正により正しい位置へ


20代女性 出っ歯 口元を引っ込めたい


出っ歯 インビザラインで歯を抜かない治療


前歯のガタガタをインビザラインで矯正


前後に重なった前歯 ワイヤー装置と急速拡大装置を併用したインビザライン矯正


八重歯と奥歯のクロスバイト 上顎骨を拡大してインビザラインで矯正


軽度な歯列不正 インビザライン・ライトによる矯正治療
担当医 藤巻太一朗


ワイヤー矯正歯科治療の注意事項(リスク・副作用など)
- 治療中は違和感や痛みが起こることがあります
- 症状により、抜歯が必要な場合があります
- 治療中は歯磨きがしにくくなるため、虫歯や歯周病になりやすくなります
- 矯正治療後の保定が不十分だと後戻り(元の位置に戻ろうとする動き)をします
- 自費診療(保険適用外)となります
マウスピース矯正の注意事項(リスク・副作用など)
- 口腔内・歯並びの状態によっては対応できない場合があります
- マウスピース型矯正装置の長時間装着が必須です
- 治療計画通りに進めるためには、患者様の意志が重要になります
- 矯正治療後の保定が不十分だと後戻り(元の位置に戻ろうとする動き)をします
- 自費診療(保険適用外)となります
