症例・治療例紹介
Cases
矯正歯科治療 → インビザライン
57ページ目 / 76
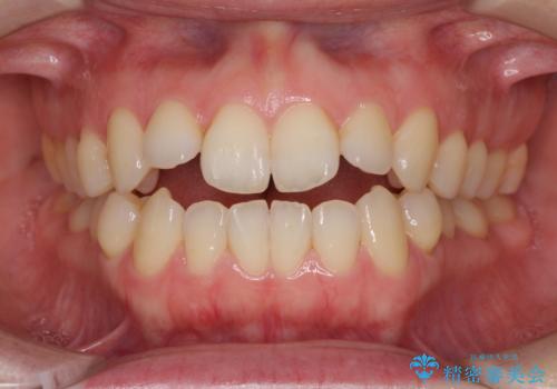
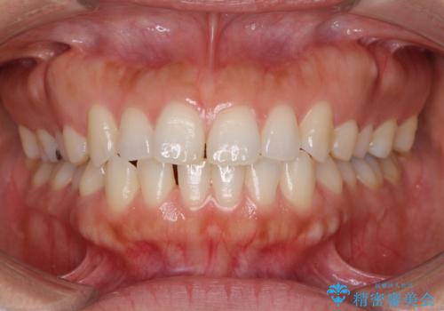
前歯の叢生とオープンバイト インビザラインでの矯正治療


上下前歯の叢生をインビザラインできれいに
担当医 藤巻太一朗


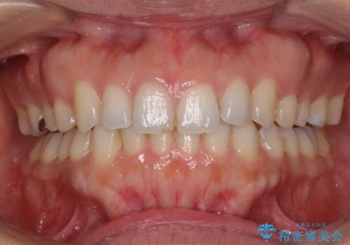
ディープバイトと叢生を解消 インビザライン矯正


上顎の狭窄歯列 インビザラインによる拡大矯正


前歯のデコボコと下顎の八重歯 インビザラインによる矯正治療
担当医 藤巻太一朗


受け口傾向の前歯 すきっ歯の改善


前歯のデコボコを改善 インビザライン矯正
担当医 藤巻太一朗


マウスピース矯正とセラミックの組み合わせ治療


前歯のがたつきと反対咬合 インビザラインによる矯正治療


すきっ歯のインビザラインによる目立たない矯正


【非抜歯矯正】インビザラインによる矯正
担当医 河口智英


矯正を含む全顎治療


【モニター】オープンバイトをインビザラインで矯正治療


マウスピース矯正の注意事項(リスク・副作用など)
- 口腔内・歯並びの状態によっては対応できない場合があります
- マウスピース型矯正装置の長時間装着が必須です
- 治療計画通りに進めるためには、患者様の意志が重要になります
- 矯正治療後の保定が不十分だと後戻り(元の位置に戻ろうとする動き)をします
- 自費診療(保険適用外)となります




