症例・治療例紹介
Cases
矯正歯科治療 → インビザライン
56ページ目 / 76
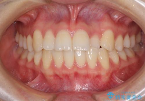
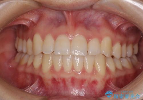
口が閉じにくい インビザラインによる矯正治療
担当医 藤巻太一朗


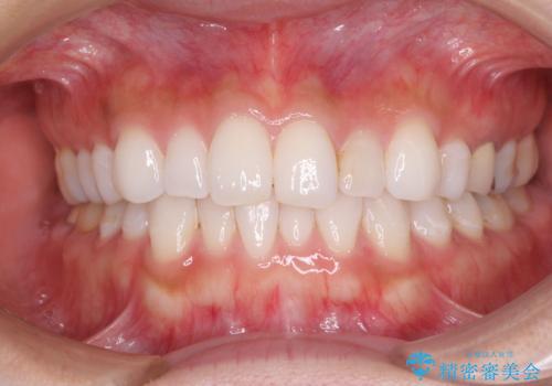
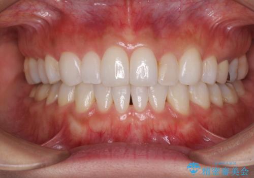
八重歯の抜歯矯正 補助装置を用いたインビザライン矯正
担当医 藤巻太一朗


気になる前歯のデコボコをインビザラインで解消
担当医 藤巻太一朗


歯並びと目立つ金属を治したい 総合歯科治療


気になる前歯を整えたい インビザライン・ライトでの矯正治療
担当医 藤巻太一朗


重度のガタガタのインビザラインによる非抜歯矯正


細かい隙間にものがはさまる インビザラインによる矯正治療


前歯のクロスバイト インビザラインによる矯正治療
担当医 藤巻太一朗


インビザラインが続けられない ワイヤー装置での矯正治療


インプラントによる補綴治療とインビザライン矯正


口元の突出感を改善 インビザラインによる非抜歯矯正


インビザライン・ライトにより後戻りの再矯正
担当医 藤巻太一朗


八重歯の再矯正 インビザラインでストレスなく矯正治療


マウスピース矯正の注意事項(リスク・副作用など)
- 口腔内・歯並びの状態によっては対応できない場合があります
- マウスピース型矯正装置の長時間装着が必須です
- 治療計画通りに進めるためには、患者様の意志が重要になります
- 矯正治療後の保定が不十分だと後戻り(元の位置に戻ろうとする動き)をします
- 自費診療(保険適用外)となります




