症例・治療例紹介
Cases
矯正歯科治療 → 叢生(でこぼこ・八重歯)
56ページ目 / 91
結婚式までに前歯をきれいにしたい 抜歯矯正とオールセラミッククラウン


前歯のがたつき マウスピース矯正で 非抜歯で奥歯を後ろに下げる治療
担当医 井上季実子


50代女性 インビザライン かみ合わせが深く、難しい症例


前歯のガタつきを治す マウスピース矯正治療


受け口 絶対に顎の手術はしたくない


前歯が反対になっている マウスピース矯正+奥歯ブリッジ


ものが挟まる 著しい叢生を解消 ワイヤー装置による抜歯矯正
担当医 藤巻太一朗


長年気にしていた前歯 インビザラインで目立たず改善
担当医 藤巻太一朗


口元の突出感を改善 2年弱での抜歯矯正


前歯のデコボコをインビザラインでスッキリと


上顎骨拡大を用いたインビザラインによる非抜歯矯正
担当医 藤巻太一朗


気になる八重歯を治したい 目立たないワイヤーでの抜歯矯正


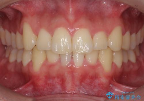
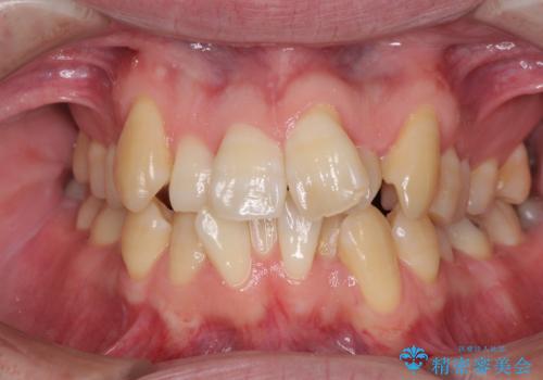
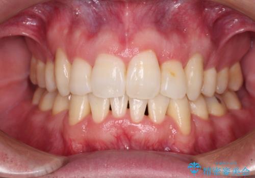
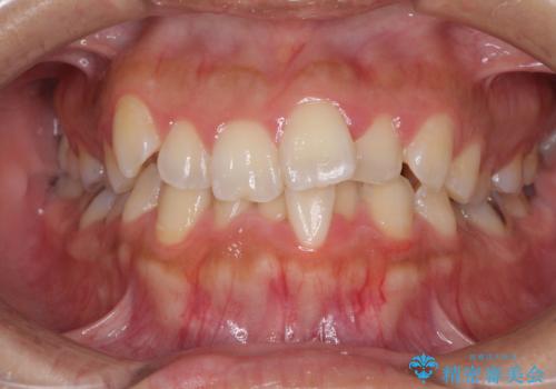
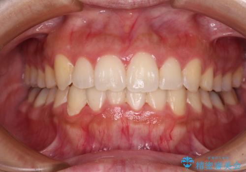
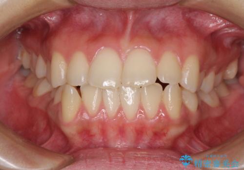
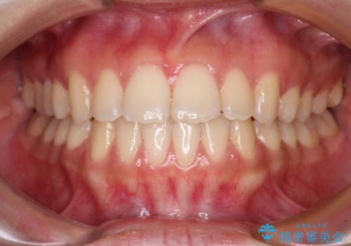
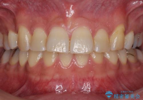
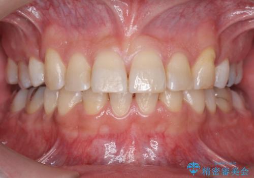
[インビザライン] 前歯のガタつき・すれ違い マウスピース矯正治療
![[インビザライン] 前歯のガタつき・すれ違い マウスピース矯正治療の症例 治療前](https://seimitsushinbi.jp/wp/wp-content/uploads/2021/08/0b21121c07cfd741f7e6e7110f2c1705-500x350.jpg?v=1629705726)
![[インビザライン] 前歯のガタつき・すれ違い マウスピース矯正治療の症例 治療後](https://seimitsushinbi.jp/wp/wp-content/uploads/2021/08/IMG_3357-500x350.jpg?v=1629705763)
下顎骨が顕著に右側にずれている インビザラインによる咬合改善


ワイヤー矯正歯科治療の注意事項(リスク・副作用など)
- 治療中は違和感や痛みが起こることがあります
- 症状により、抜歯が必要な場合があります
- 治療中は歯磨きがしにくくなるため、虫歯や歯周病になりやすくなります
- 矯正治療後の保定が不十分だと後戻り(元の位置に戻ろうとする動き)をします
- 自費診療(保険適用外)となります
マウスピース矯正の注意事項(リスク・副作用など)
- 口腔内・歯並びの状態によっては対応できない場合があります
- マウスピース型矯正装置の長時間装着が必須です
- 治療計画通りに進めるためには、患者様の意志が重要になります
- 矯正治療後の保定が不十分だと後戻り(元の位置に戻ろうとする動き)をします
- 自費診療(保険適用外)となります


