症例・治療例紹介
Cases
矯正歯科治療 → インビザライン
55ページ目 / 76
遠方から新幹線で通院 急速拡大装置とインビザラインによる矯正治療


歯列不正と歯周病 総合歯科治療による全顎治療
担当医 藤巻太一朗


【インビザライン】前歯の凸凹をなおしたい
担当医 河口智英


【インビザライン】前歯のガタガタを綺麗にしたい。
担当医 河口智英


出っ歯 インビザラインで歯を抜かない治療


前歯のガタガタをインビザラインで矯正


歯並びを含めて前歯をきれいにしたい インビザラインとセラミック治療


前後に重なった前歯 ワイヤー装置と急速拡大装置を併用したインビザライン矯正


八重歯と奥歯のクロスバイト 上顎骨を拡大してインビザラインで矯正


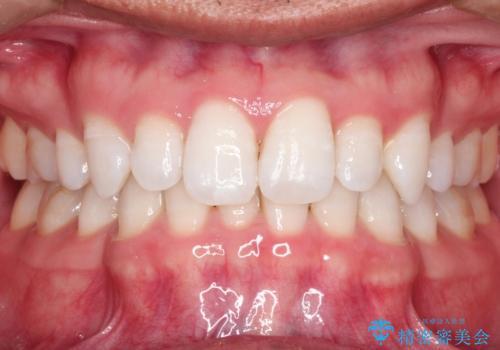
軽度な歯列不正 インビザライン・ライトによる矯正治療
担当医 藤巻太一朗


狭い上顎骨を拡大 急速拡大装置を併用したインビザライン矯正


インビザラインによる矯正治療 カリエールディスタライザーを用いた奥歯の咬み合わせ改善
担当医 藤巻太一朗


マウスピース矯正の注意事項(リスク・副作用など)
- 口腔内・歯並びの状態によっては対応できない場合があります
- マウスピース型矯正装置の長時間装着が必須です
- 治療計画通りに進めるためには、患者様の意志が重要になります
- 矯正治療後の保定が不十分だと後戻り(元の位置に戻ろうとする動き)をします
- 自費診療(保険適用外)となります





![[インビザライン ライト] 14枚のマウスピースで改善する軽度なガタつきの症例 治療前](https://seimitsushinbi.jp/wp/wp-content/uploads/2021/05/IMG_1782-500x350.jpg?v=1621059720)
![[インビザライン ライト] 14枚のマウスピースで改善する軽度なガタつきの症例 治療後](https://seimitsushinbi.jp/wp/wp-content/uploads/2021/05/IMG_0175-500x350.jpg?v=1621059777)