症例・治療例紹介
Cases
矯正歯科治療 → インビザライン
51ページ目 / 76
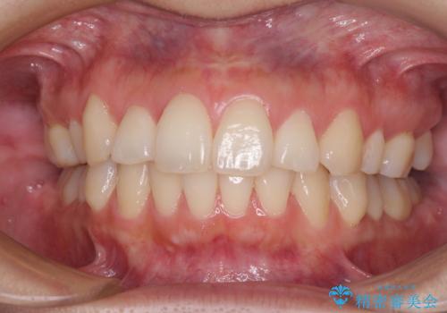
大人の目立たない矯正 インビザライン


マウスピース矯正で前歯のガタつきを改善


上の前歯が1本前に飛び出している インビザラインによる目立たない矯正


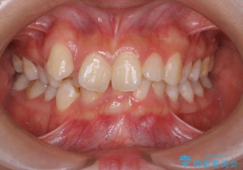
上下のがたつきをインビザラインで目立たない矯正


気になる前歯を治したい 短期間でのインビザライン矯正
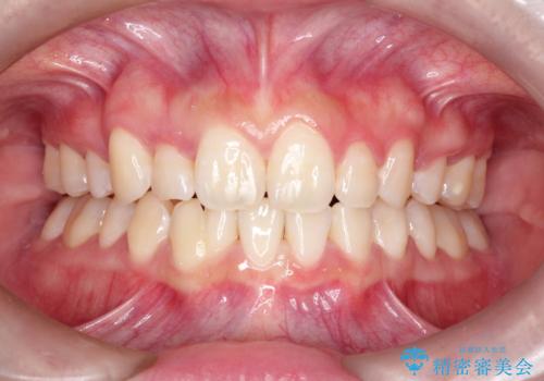
担当医 藤巻太一朗


前歯のクロスバイトを治したい インビザラインによる矯正治療


気になる八重歯を抜歯矯正で改善 補助装置を用いたインビザライン矯正
担当医 藤巻太一朗


どこで咬んで良いのか分からない インビザラインでの咬み合わせの改善
担当医 藤巻太一朗


上顎の狭い歯列をインビザラインで拡大
担当医 藤巻太一朗


上下前歯のデコボコをきれいに インビザラインによる矯正治療


歯並びや奥歯の痛み 色々と治したい 総合歯科診療
担当医 藤巻太一朗


口元の突出感を治したい 治療中の歯も治したい


前歯のがたつき マウスピース矯正で 非抜歯で奥歯を後ろに下げる治療
担当医 井上季実子


マウスピース矯正の注意事項(リスク・副作用など)
- 口腔内・歯並びの状態によっては対応できない場合があります
- マウスピース型矯正装置の長時間装着が必須です
- 治療計画通りに進めるためには、患者様の意志が重要になります
- 矯正治療後の保定が不十分だと後戻り(元の位置に戻ろうとする動き)をします
- 自費診療(保険適用外)となります




