症例・治療例紹介
Cases
矯正歯科治療 → インビザライン
49ページ目 / 76
軽度の前歯のガタガタをインビザラインでの目立たない矯正


八重歯・前歯のがたつき 抜かない矯正 インビザラインで


前歯の矮小歯 奥歯の反対咬合 をインビザラインで


非抜歯でも劇的変化 インビザライン矯正治療


短期間でも見た目が変わる!インビザラインのスピード治療


インビザライン矯正治療とインプラント治療 同時並行での全体治療


出っ歯が気になる インビザラインによる出っ歯の目立たない矯正


【モニター】前歯のデコボコと奥歯の虫歯 インビザライン治療と奥歯のセラミック治療


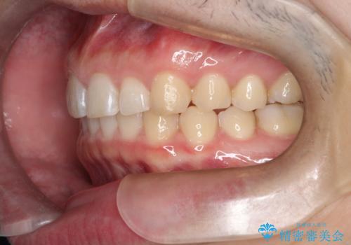
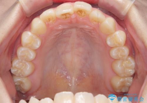
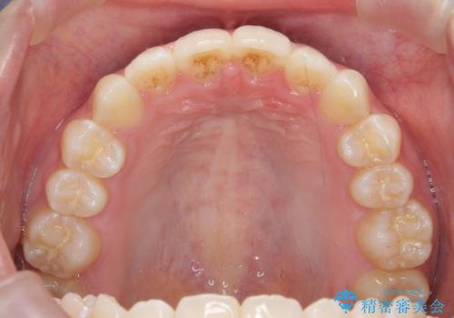
[ インビザラインライト ] 短期間で前歯だけを並べたい
担当医 大元洋佑
![[ インビザラインライト ] 短期間で前歯だけを並べたいの症例 治療前](https://seimitsushinbi.jp/wp/wp-content/uploads/2021/11/IMG_0327-1-500x350.jpg?v=1637929834)
![[ インビザラインライト ] 短期間で前歯だけを並べたいの症例 治療後](https://seimitsushinbi.jp/wp/wp-content/uploads/2021/11/IMG_9985-500x350.jpg?v=1637929923)
受け口で開咬を急速拡大装置とインビザラインで改善 欠損部分はインプラントにて補綴治療


前歯のデコボコと突出感 インビザラインによる矯正治療
担当医 藤巻太一朗


インビザラインによる矯正治療と、折れてしまった歯のインプラント補綴治療


下の前歯が隠れてしまうほど深い咬み合わせ 高校生のインビザライン矯正治療


インビザライン単独では困難 補助装置を併用した矯正治療


マウスピース矯正の注意事項(リスク・副作用など)
- 口腔内・歯並びの状態によっては対応できない場合があります
- マウスピース型矯正装置の長時間装着が必須です
- 治療計画通りに進めるためには、患者様の意志が重要になります
- 矯正治療後の保定が不十分だと後戻り(元の位置に戻ろうとする動き)をします
- 自費診療(保険適用外)となります


