症例・治療例紹介
Cases
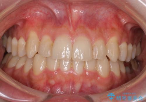
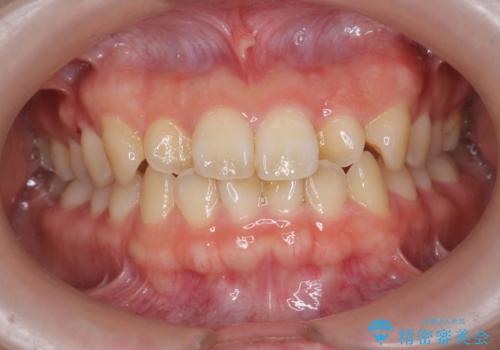
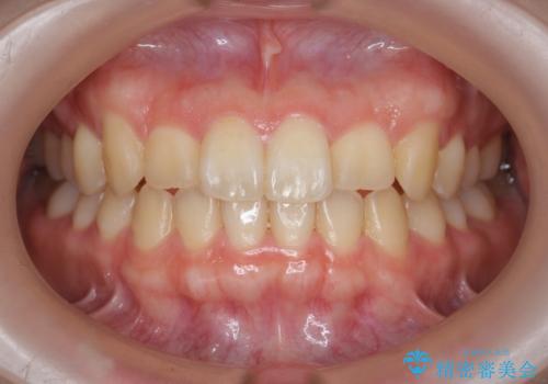
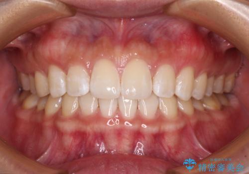
矯正歯科治療 → 叢生(でこぼこ・八重歯)
48ページ目 / 91
八重歯の解消とインプラントの下準備をインビザラインで


なるべく通院回数を減らして矯正したい インビザラインでのガタガタ矯正


全体的ながたつきをインビザラインで改善


八重歯を抜歯せずに矯正 インビザラインで


[ 上顎前突のインビザライン治療 ] マイクロインプラントを併用した遠心移動
![[ 上顎前突のインビザライン治療 ] マイクロインプラントを併用した遠心移動の症例 治療前](https://seimitsushinbi.jp/wp/wp-content/uploads/2022/04/C6-500x350.jpg?v=1649927628)
![[ 上顎前突のインビザライン治療 ] マイクロインプラントを併用した遠心移動の症例 治療後](https://seimitsushinbi.jp/wp/wp-content/uploads/2022/04/IMG_8925-500x350.jpg?v=1649927789)
前歯のすれ違い インビザラインで行うマウスピース矯正


クロスバイト・歯並びが原因の歯肉退縮歯、矯正治療による審美性の改善


前歯のガタつき インビザラインで 下の前歯を1本抜歯
担当医 井上季実子


前歯のねじれを治したい (部分矯正を併用したマウスピース矯正)
担当医 大元洋佑


八重歯と前歯のガタガタをインビザラインで


その前歯の捻じれ、原因は奥歯の噛み合わせのズレにあります。


コンプレックスだった前歯のガタガタがここまで綺麗になるなんて!!


飛び出た八重歯!コンプレックスを払拭!


楽してクロスバイトを治したい ワイヤー装置による矯正治療


【モニター】前歯のすきっ歯をインビザラインで改善


ワイヤー矯正歯科治療の注意事項(リスク・副作用など)
- 治療中は違和感や痛みが起こることがあります
- 症状により、抜歯が必要な場合があります
- 治療中は歯磨きがしにくくなるため、虫歯や歯周病になりやすくなります
- 矯正治療後の保定が不十分だと後戻り(元の位置に戻ろうとする動き)をします
- 自費診療(保険適用外)となります
マウスピース矯正の注意事項(リスク・副作用など)
- 口腔内・歯並びの状態によっては対応できない場合があります
- マウスピース型矯正装置の長時間装着が必須です
- 治療計画通りに進めるためには、患者様の意志が重要になります
- 矯正治療後の保定が不十分だと後戻り(元の位置に戻ろうとする動き)をします
- 自費診療(保険適用外)となります
