症例・治療例紹介
Cases
矯正歯科治療 → インビザライン
46ページ目 / 76
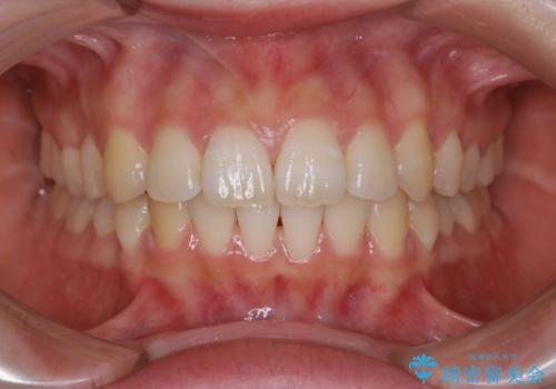
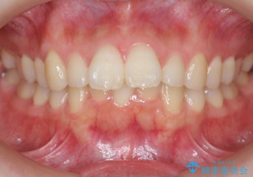
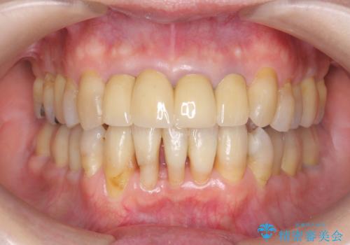
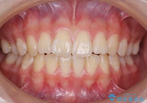
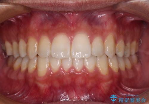
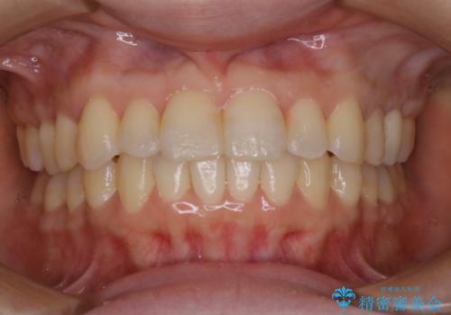
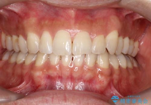
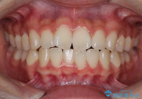
前歯のねじれを改善 小矯正+マウスピース矯正インビザライン
担当医 大元洋佑


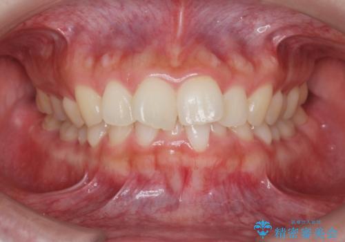
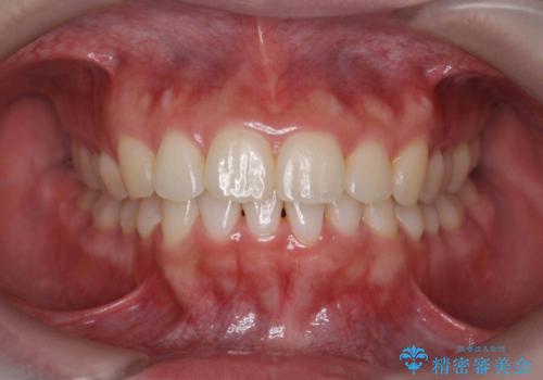
前歯の重なりは奥歯のズレが原因:まとめてインビザラインで治す


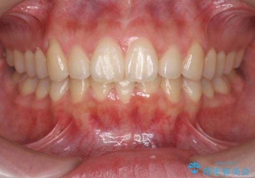
マウスピースで出っ歯感の改善


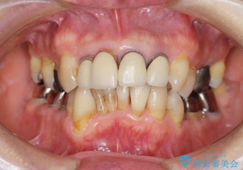
矯正治療とセラミック治療で口腔内環境を劇的に改善


出っ歯 軽度のがたつき インビザラインで


前歯が前後反対にかんでいる インビザラインによる目立たない矯正


値段を抑えて歯列を整える インビザライン・ライトによる矯正治療
担当医 藤巻太一朗


マウスピース 狭窄歯列の改善


インビザラインで前歯の中心をお顔の中心に合わせる


八重歯をインビザラインで矯正 大人の目立たない矯正


再矯正をインビザラインで目立たず手軽に


インビザラインで目立たない矯正 ガタガタの歯並びをきれいな歯並びへ


インビザライン・ライトで”すきっ歯と出っ歯”を改善


マウスピース矯正の注意事項(リスク・副作用など)
- 口腔内・歯並びの状態によっては対応できない場合があります
- マウスピース型矯正装置の長時間装着が必須です
- 治療計画通りに進めるためには、患者様の意志が重要になります
- 矯正治療後の保定が不十分だと後戻り(元の位置に戻ろうとする動き)をします
- 自費診療(保険適用外)となります



![[ インビザライン矯正 ] マウスピース矯正で治す、前歯のガタつきの症例 治療前](https://seimitsushinbi.jp/wp/wp-content/uploads/2022/02/324533f54aaa29eca08b0a9fdd3af7e2-500x350.jpg?v=1644473292)
![[ インビザライン矯正 ] マウスピース矯正で治す、前歯のガタつきの症例 治療後](https://seimitsushinbi.jp/wp/wp-content/uploads/2022/02/IMG_1698-500x350.jpg?v=1644473356)