症例・治療例紹介
Cases
矯正歯科治療 → 叢生(でこぼこ・八重歯)
45ページ目 / 91
真ん中が右にずれている 前歯のがたつき 治療途中に地方へ引っ越したが、通ってワイヤー矯正


犬歯のねじれ 上の歯が引っ込んでいる


引っ込んだ前歯を並べる 歯を抜かないマウスピース矯正


下の八重歯 歯を抜かずに インビザライン治療
担当医 井上季実子


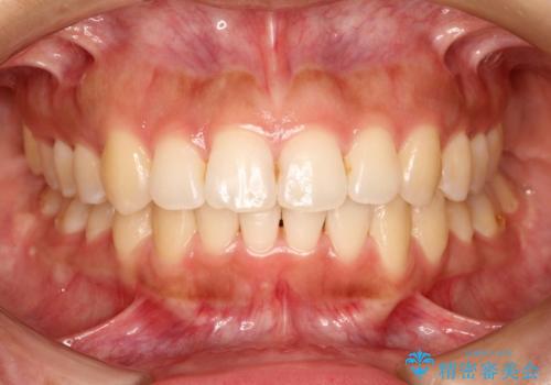
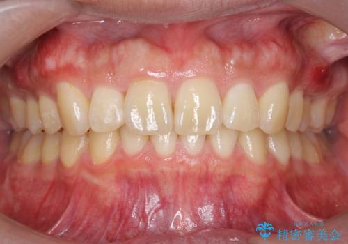
インビザラインで前歯のガタガタをきれいな歯並びへ


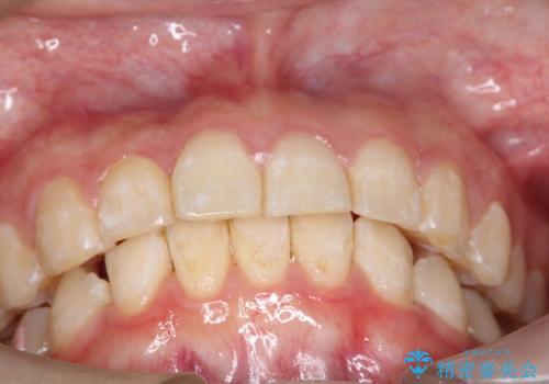
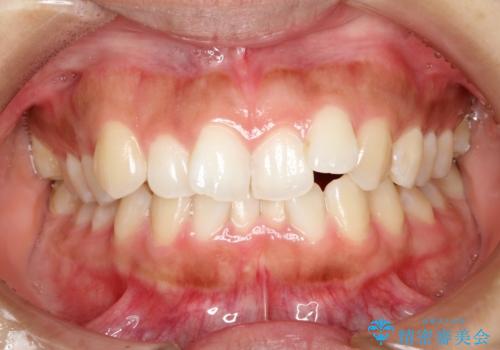
[ インビザライン ]飛び出た前歯を抜かずに矯正治療
担当医 大元洋佑
![[ インビザライン ]飛び出た前歯を抜かずに矯正治療の症例 治療前](https://seimitsushinbi.jp/wp/wp-content/uploads/2022/06/7254b4eb4b8ea41de1dd2bc51ff78413-500x350.jpg?v=1654152589)
![[ インビザライン ]飛び出た前歯を抜かずに矯正治療の症例 治療後](https://seimitsushinbi.jp/wp/wp-content/uploads/2022/06/850be265eb99a1449c8e8c58e0a1e184-500x350.jpg?v=1654152540)
前歯がガタガタで咬めない ワイヤーによる抜歯矯正で整った歯並びへ


前歯のがたがた気になる インビザラインによる矯正治療


【難症例】歯並びが悪く、虫歯の治療ができない 矯正治療からスタート


歯ぐき、骨が薄い方のマウスピース矯正治療 非抜歯でもIPR(歯を削る処置)で口元に変化を


押しつぶされた歯列、アーチの拡大だけで非抜歯で改善した症例


飛び出した前歯が気になる! 前歯のガタガタを抜歯をせずに治した症例


インビザライン 犬歯のねじれを治したい


出っ歯を治したい 深いかみあわせ インビザラインで治療


昔ワイヤー矯正をして後戻りした 軽度のがたつき モニター矯正


ワイヤー矯正歯科治療の注意事項(リスク・副作用など)
- 治療中は違和感や痛みが起こることがあります
- 症状により、抜歯が必要な場合があります
- 治療中は歯磨きがしにくくなるため、虫歯や歯周病になりやすくなります
- 矯正治療後の保定が不十分だと後戻り(元の位置に戻ろうとする動き)をします
- 自費診療(保険適用外)となります
マウスピース矯正の注意事項(リスク・副作用など)
- 口腔内・歯並びの状態によっては対応できない場合があります
- マウスピース型矯正装置の長時間装着が必須です
- 治療計画通りに進めるためには、患者様の意志が重要になります
- 矯正治療後の保定が不十分だと後戻り(元の位置に戻ろうとする動き)をします
- 自費診療(保険適用外)となります
