症例・治療例紹介
Cases
矯正歯科治療 → インビザライン
43ページ目 / 76
オープンバイトによる見た目を治したい インビザラインでの矯正治療


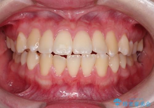
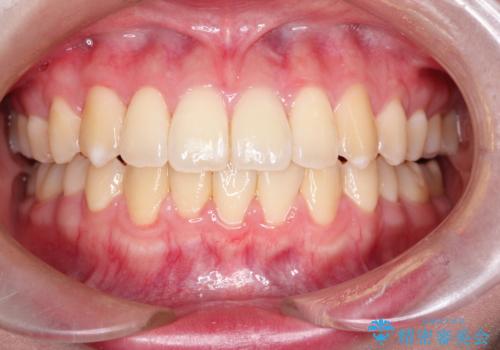
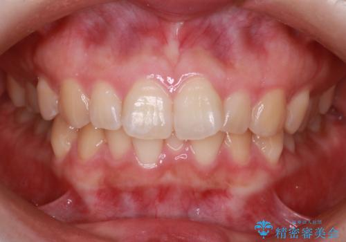
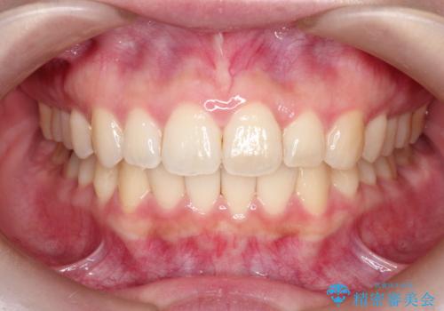
再矯正症例 前歯のガタガタと噛み合わせのズレをマウスピースで治した症例


長い間コンプレックスだった前歯のすき間! 短期間終了。部分矯正症例 (インビザライン矯正)


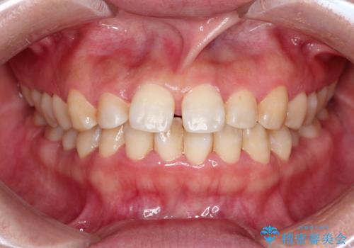
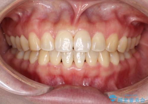
インビザラインで奥歯の咬み合わせと前歯のデコボコを改善


前歯の捻れを改善 インビザラインによる矯正治療
担当医 藤巻太一朗


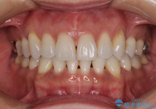
むし歯や銀歯が気になる 後戻りの再矯正治療とむし歯治療


気になる残存乳歯と八重歯 ワイヤー矯正を併用したインビザライン治療
担当医 藤巻太一朗


上下前歯が接触しない オープンバイトをインビザラインで改善


カリエール・ディスタライザーとインビザラインを用いた奥歯の咬み合わせ改善


後戻りの再矯正治療と欠損部の補綴治療


マウスピース矯正の注意事項(リスク・副作用など)
- 口腔内・歯並びの状態によっては対応できない場合があります
- マウスピース型矯正装置の長時間装着が必須です
- 治療計画通りに進めるためには、患者様の意志が重要になります
- 矯正治療後の保定が不十分だと後戻り(元の位置に戻ろうとする動き)をします
- 自費診療(保険適用外)となります










