症例・治療例紹介
Cases
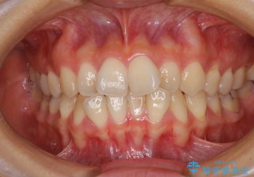
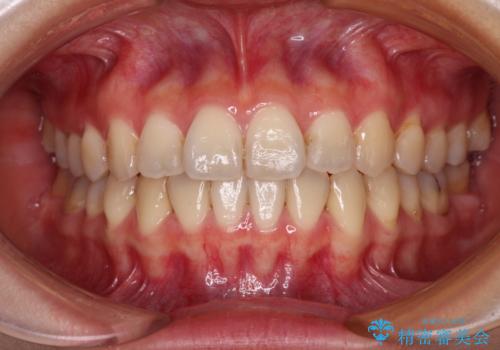
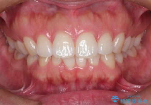
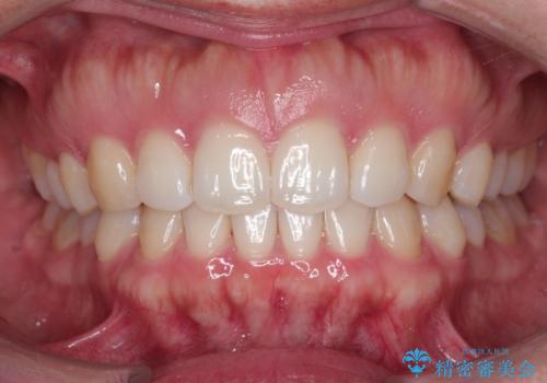
矯正歯科治療 → 叢生(でこぼこ・八重歯)
43ページ目 / 91
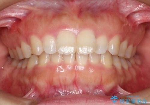
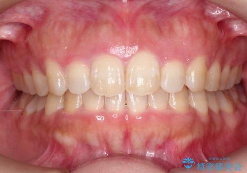
ディープバイトをインビザライン矯正で改善


前歯のインプラント治療 折角なので矯正治療できれいな歯並びに


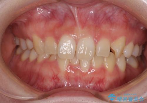
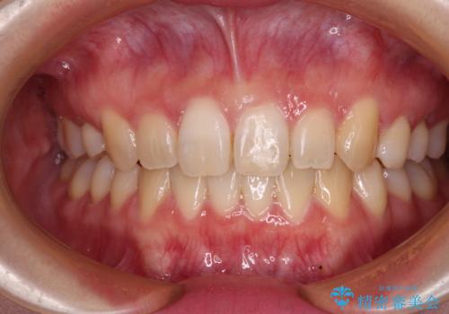
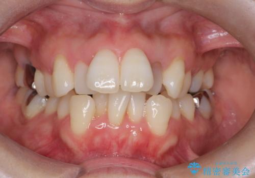
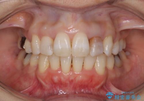
八重歯を抜歯矯正でスッキリと メタルブラケットでの矯正治療
担当医 藤巻太一朗


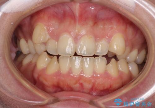
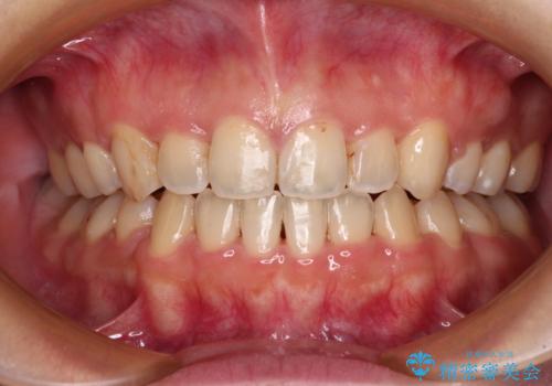
前歯のクロスバイト ワイヤー装置を併用したインビザライン矯正
担当医 藤巻太一朗


八重歯と開咬を治したい 目立たないハーフリンガル矯正


前歯のクロスバイトを短期間で解消 目立たないワイヤー矯正


前歯のがたつき 部分矯正でコストダウンしながら、かみ合わせも治療


【引っ込んだ前歯が気になる、真ん中の線も揃えたい】インビザライン症例


【出っ歯が気になる】インビザライン症例


【前歯のガタガタが気になる】インビザライン症例


八重歯で口元が膨れている ワイヤー装置での抜歯矯正


【モニター】飛び出した上顎前歯のワイヤー矯正で改善
担当医 藤巻太一朗


前歯が反対に咬んでいる インビザラインによる矯正治療


重度のガタガタと出っ歯をワイヤーによる抜歯矯正で整った歯並びへ


八重歯をインビザラインで非抜歯矯正


ワイヤー矯正歯科治療の注意事項(リスク・副作用など)
- 治療中は違和感や痛みが起こることがあります
- 症状により、抜歯が必要な場合があります
- 治療中は歯磨きがしにくくなるため、虫歯や歯周病になりやすくなります
- 矯正治療後の保定が不十分だと後戻り(元の位置に戻ろうとする動き)をします
- 自費診療(保険適用外)となります
マウスピース矯正の注意事項(リスク・副作用など)
- 口腔内・歯並びの状態によっては対応できない場合があります
- マウスピース型矯正装置の長時間装着が必須です
- 治療計画通りに進めるためには、患者様の意志が重要になります
- 矯正治療後の保定が不十分だと後戻り(元の位置に戻ろうとする動き)をします
- 自費診療(保険適用外)となります
