症例詳細
Case detail
捻れた前歯をインビザラインでスッキリと
治療症例の内容
- 診療科目
- 治療カテゴリ
- 担当医
- 藤巻太一朗(ドクタープロフィール)
- 患者様
- 20代女性
- 矯正装置
- インビザライン
- 治療期間
- 8ヶ月
- 治療回数
- 2-5回
- 治療計画
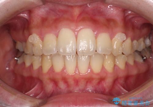
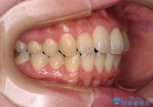
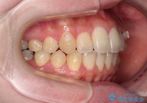
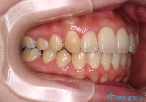
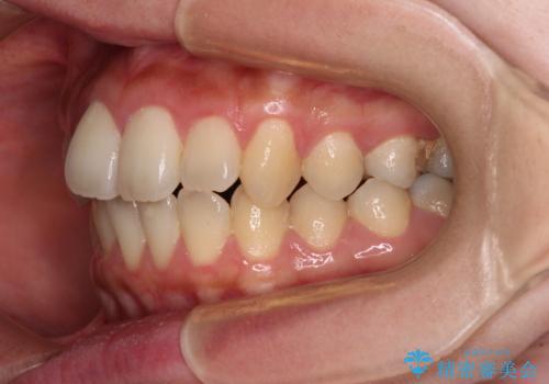
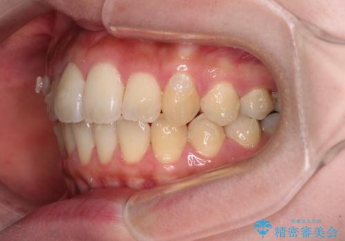
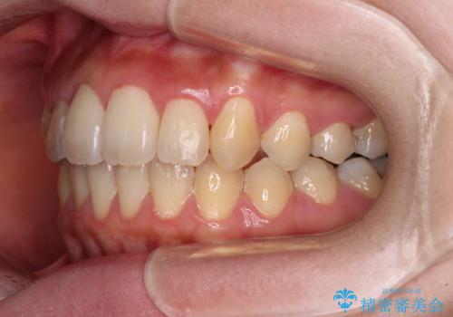
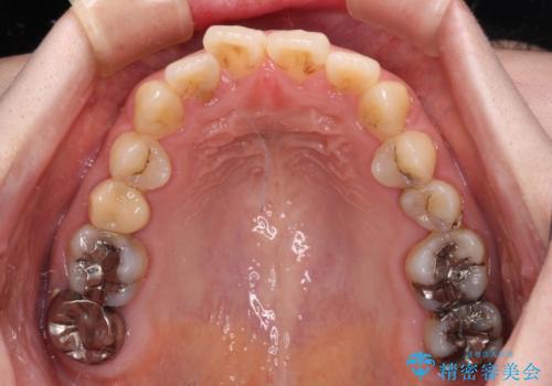
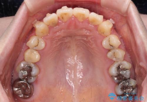
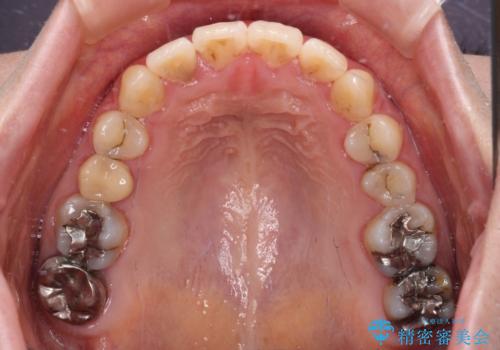
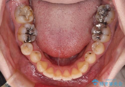
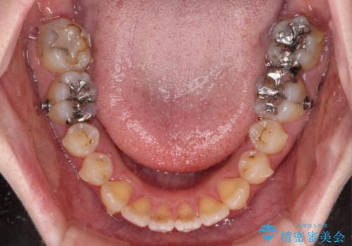
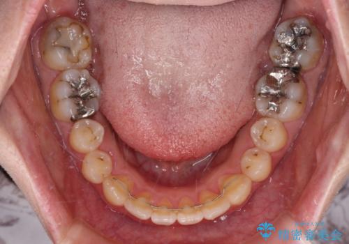
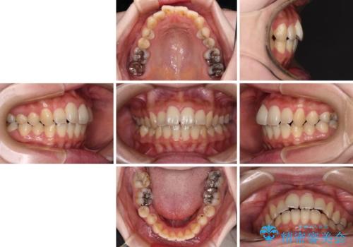
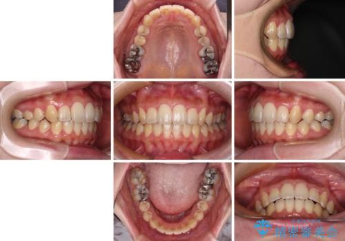
- 捻れた前歯が飛び出しており、口が閉じにくいとのことで来院された患者様です。
出っ歯というわけではないものの、前歯の捻転により口唇が押し出されている状態でした。
親知らずを抜去し、歯列全体を後方に移動させつつ、IPR(歯と歯の間を削る)でスペースを獲得し、インビザラインを用いて叢生を解消しながら前歯の突出を改善することとしました。
- 費用(概算)
- 治療費の目安: 85万円(税込)費用は治療当時の料金となります
治療について
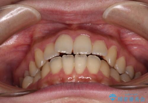
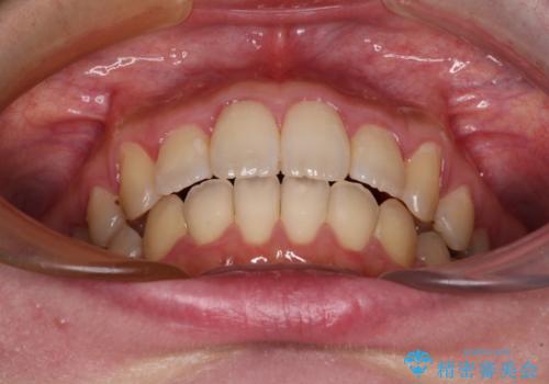
インビザラインは、患者様の協力無しには成立しない治療ですが、しっかりと装着時間を遵守してくださり、1年弱で治療を終えることができました。
マウスピース矯正の注意事項(リスク・副作用など)
- 口腔内・歯並びの状態によっては対応できない場合があります
- マウスピース型矯正装置の長時間装着(1日20時間以上)が必須です
- 治療計画通りに進めるためには、患者様の意志が重要になります
- 矯正治療後の保定が不十分だと後戻り(元の位置に戻ろうとする動き)をします
- 薬機法対象外の矯正歯科装置のため医薬品副作用被害救済制度の対象外となる場合があります
- 自費診療(保険適用外)となります
当サイトの内容、テキスト、画像等の無断転載、複製、複写、盗用を固く禁じます。


























