症例詳細
Case detail
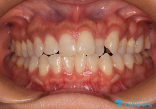
捻れた前歯をできるだけ短期間で 表側のワイヤー矯正
治療症例の内容
- 診療科目
- 担当医
- 藤巻太一朗(ドクタープロフィール)
- 患者様
- 20代女性
- 矯正装置
- クリアブラケット
- 治療期間
- 1年6ヶ月
- 治療回数
- 10-30回
- 治療計画
- 上下前歯のねじれを気にして来院された患者様です。
ワイヤー矯正でもマウスピース矯正でも対応可能でしたが、マウスピース矯正の自己管理が面倒であること、上顎前歯の捻転が著しいことから、ワイヤー矯正での治療を希望されました。
- 費用(概算)
- 治療費の目安: 90万円(税込)費用は治療当時の料金となります
治療について
日々前歯の捻れが解消されていくので、歯の動きを楽しみながら矯正治療を進めることができました。
ワイヤー矯正の注意事項(リスク・副作用など)
- 治療中は違和感や痛みが起こることがあります
- 症状により、抜歯が必要な場合があります
- 治療中は歯磨きがしにくくなるため、虫歯や歯周病になりやすくなります
- 矯正治療後の保定が不十分だと後戻り(元の位置に戻ろうとする動き)をします
- 自費診療(保険適用外)となります
当サイトの内容、テキスト、画像等の無断転載、複製、複写、盗用を固く禁じます。


























