症例・治療例紹介
Cases
矯正歯科治療 → インビザライン
37ページ目 / 76
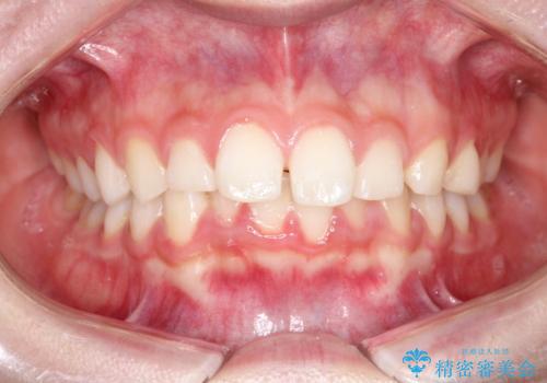
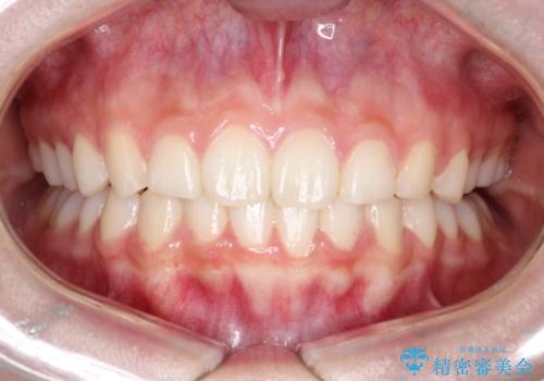
[ 先天性の前歯欠損 ] マウスピース矯正とインプラント治療
![[ 先天性の前歯欠損 ] マウスピース矯正とインプラント治療の症例 治療前](https://seimitsushinbi.jp/wp/wp-content/uploads/2022/09/IMG_0054-500x350.jpg?v=1662000340)
![[ 先天性の前歯欠損 ] マウスピース矯正とインプラント治療の症例 治療後](https://seimitsushinbi.jp/wp/wp-content/uploads/2022/09/49780474803f3a80bac6edca97f86949-500x350.jpg?v=1662000222)
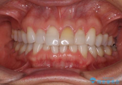
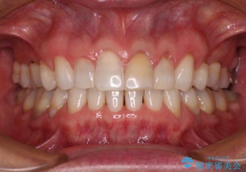
どこで咬めばいいかわからない 矯正治療で安定した咬み合わせに


ワイヤー装置をインビザラインへ 装置変更での矯正治療
担当医 藤巻太一朗


転勤予定がある インビザラインによる矯正治療
担当医 藤巻太一朗


【モニター】八重歯と前歯のクロスバイト ワイヤーを併用しインビザラインで矯正治療


前歯のデコボコを治したい インビザライン矯正治療
担当医 藤巻太一朗


すきっ歯とオープンバイト インビザライン・ライトで改善


外側に飛び出した歯 インビザラインによる矯正治療
担当医 藤巻太一朗


インビザラインでのんびりと矯正治療
担当医 藤巻太一朗


前歯のデコボコをスッキリ改善 インビザライン矯正
担当医 藤巻太一朗


ワイヤー部分矯正を併用して治療期間を短縮 マウスピース矯正治療


前歯の見た目を改善したい
担当医 大元洋佑


飛び出した八重歯が気になる!非抜歯でマウスピース(インビザライン)による治療症例
担当医 奥村高広


マウスピース矯正の注意事項(リスク・副作用など)
- 口腔内・歯並びの状態によっては対応できない場合があります
- マウスピース型矯正装置の長時間装着が必須です
- 治療計画通りに進めるためには、患者様の意志が重要になります
- 矯正治療後の保定が不十分だと後戻り(元の位置に戻ろうとする動き)をします
- 自費診療(保険適用外)となります




