症例・治療例紹介
Cases
矯正歯科治療 → 叢生(でこぼこ・八重歯)
35ページ目 / 91
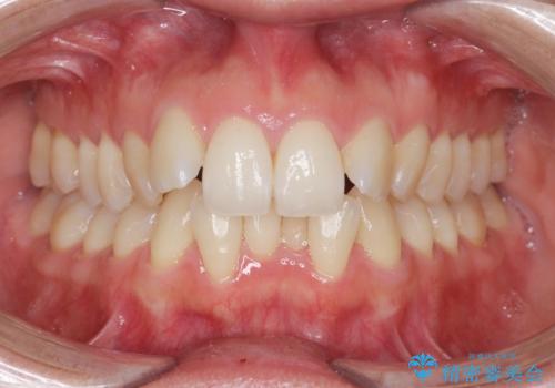
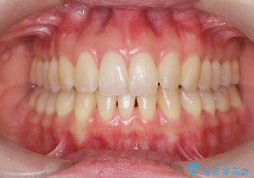
前歯のデコボコを抜歯矯正で改善 メタル装置で費用を抑える


【モニター】歯列が狭くデコボコが気になる 急速拡大装置を用いたインビザライン矯正


インビザラインで行う八重歯の治療


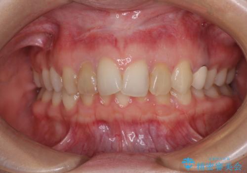
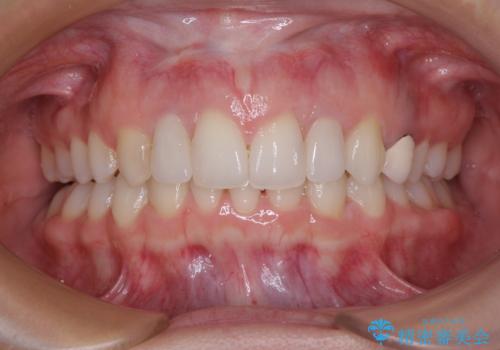
重なり合って磨きにくい前歯 ワイヤー装置での抜歯矯正


前歯のデコボコと奥歯の咬み合わせをインビザラインで改善


重なって磨きにくい上下の前歯 ワイヤー装置での抜歯矯正


カリエール・ディスタライザーとインビザラインを用いた前歯の咬み合わせ改善


受け口傾向の咬み合わせ インビザラインできれいな口元に


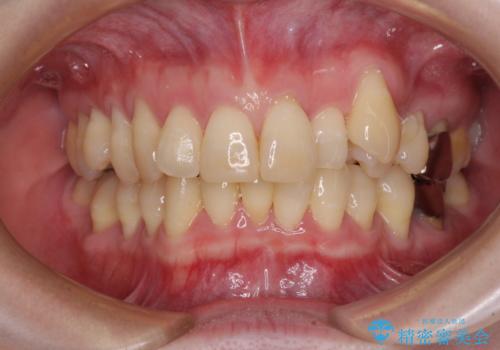
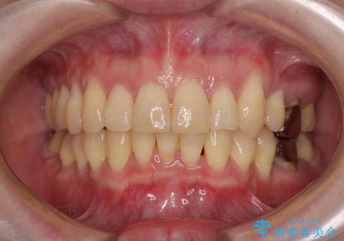
八重歯と先天欠損の歯列 ワイヤー矯正ですっきりと
担当医 藤巻太一朗


目立つ前歯のガタつきを改善! マウスピース矯正治療


前歯の突出感と上下の隙間 インビザラインによる矯正治療


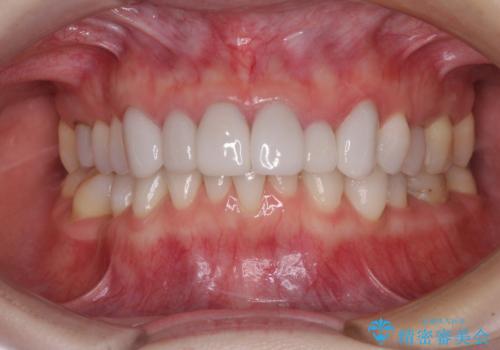
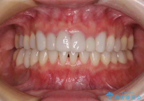
【モニター】前歯の変色とデコボコを改善 インビザラインとオールセラミック


前歯のクロスバイト インビザラインによる矯正治療


前歯のクロスバイトを改善 インビザラインによる矯正治療


【インビザライン】がたつきをなおしたい
担当医 河口智英


ワイヤー矯正歯科治療の注意事項(リスク・副作用など)
- 治療中は違和感や痛みが起こることがあります
- 症状により、抜歯が必要な場合があります
- 治療中は歯磨きがしにくくなるため、虫歯や歯周病になりやすくなります
- 矯正治療後の保定が不十分だと後戻り(元の位置に戻ろうとする動き)をします
- 自費診療(保険適用外)となります
マウスピース矯正の注意事項(リスク・副作用など)
- 口腔内・歯並びの状態によっては対応できない場合があります
- マウスピース型矯正装置の長時間装着が必須です
- 治療計画通りに進めるためには、患者様の意志が重要になります
- 矯正治療後の保定が不十分だと後戻り(元の位置に戻ろうとする動き)をします
- 自費診療(保険適用外)となります
