症例・治療例紹介
Cases
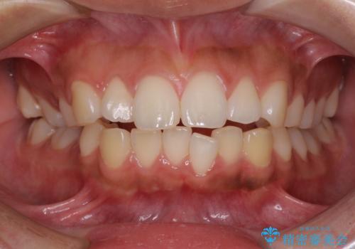
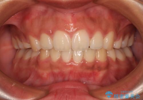
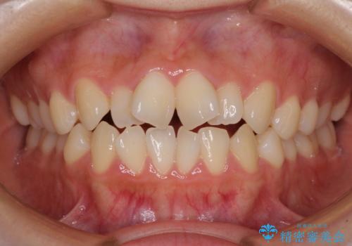
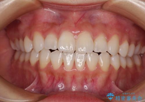
矯正歯科治療 → 開咬(オープンバイト)
3ページ目 / 8
ねじれた前歯を改善するマウスピース矯正


舌突出癖で出っ歯と開咬に 舌のトレーニングを行いながら抜歯矯正


開咬とデコボコを整える インビザライン矯正治療


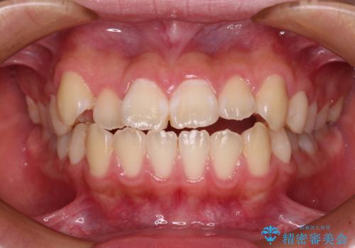
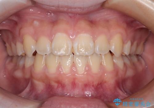
八重歯と開咬 ワイヤー装置での抜歯矯正


口が閉じられない 抜歯矯正で横顔の印象が劇的に変化


インビザラインが続けられない 装置変更して抜歯矯正


隙間が空いてデコボコした前歯を治したい ワイヤー装置による矯正治療


開咬を治す インビザラインによる矯正治療
担当医 藤巻太一朗


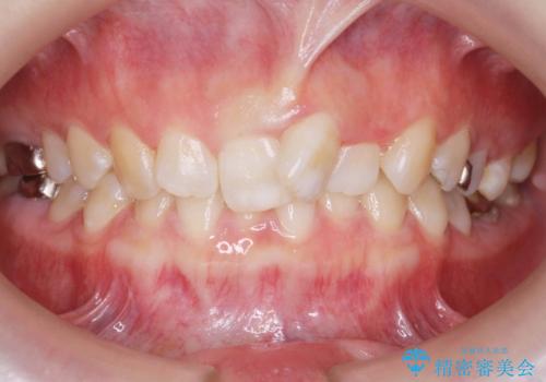
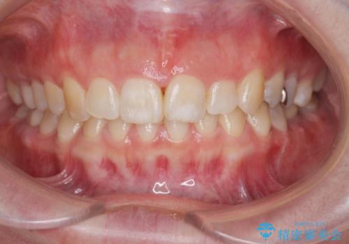
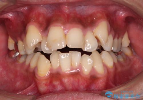
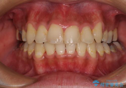
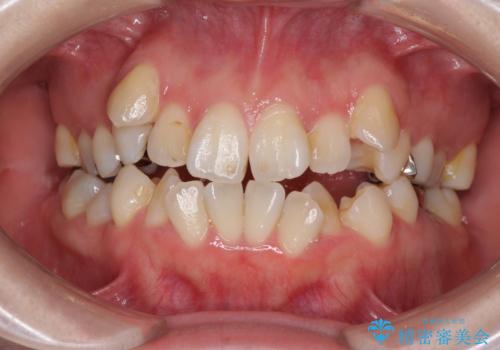
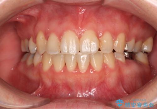
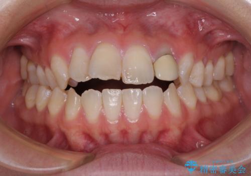
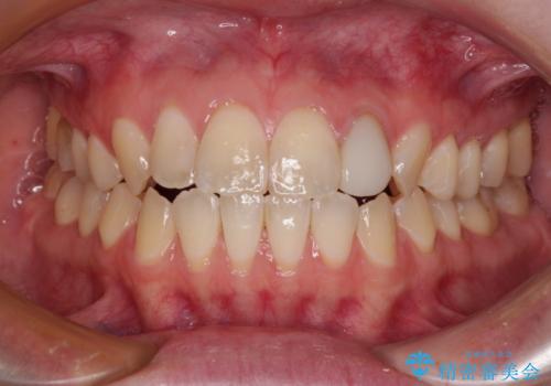
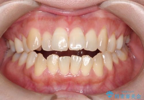
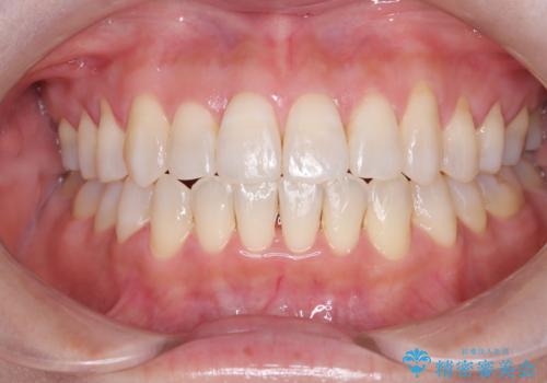
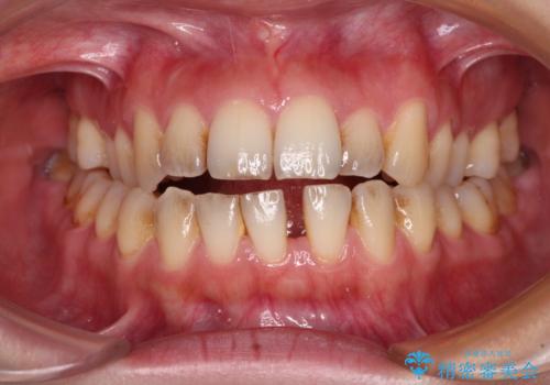
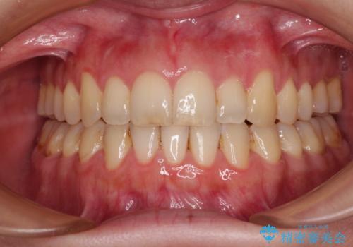
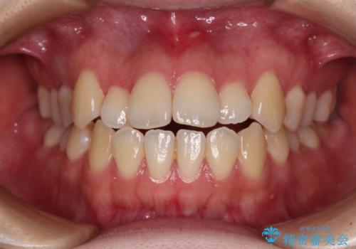
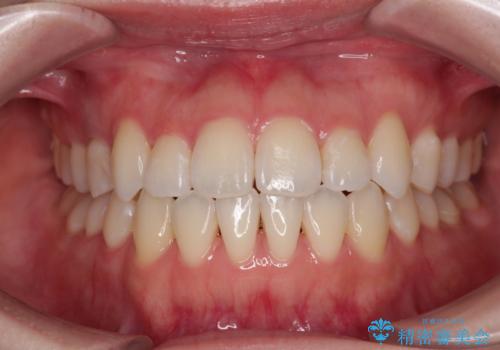
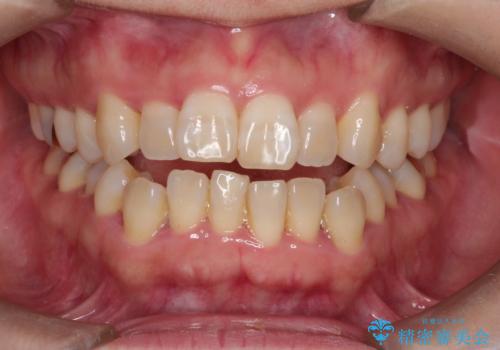
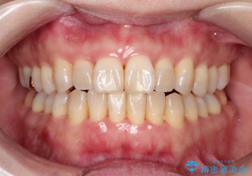
【開咬】笑った時の見た目を改善したい。
担当医 河口智英


むし歯と咬み合わせで奥歯に負担がかかる 総合歯科治療で悩みを改善
担当医 藤巻太一朗


開咬と歯の欠損 ワイヤー装置を併用したインビザライン矯正治療


舌突出癖による開咬 舌のトレーニングを行いながら前歯の隙間を改善


インビザラインによる矯正治療(非抜歯) 上下前歯の開き(開咬)と上下のガタつき(叢生)の改善


マウスピース矯正で自然な笑顔を実現! 前歯の咬み合わせを治しました。


前歯のガタツキ、前歯の噛み合わせ(開咬)をインビザライン治療で治しました


ワイヤー矯正歯科治療の注意事項(リスク・副作用など)
- 治療中は違和感や痛みが起こることがあります
- 症状により、抜歯が必要な場合があります
- 治療中は歯磨きがしにくくなるため、虫歯や歯周病になりやすくなります
- 矯正治療後の保定が不十分だと後戻り(元の位置に戻ろうとする動き)をします
- 自費診療(保険適用外)となります
マウスピース矯正の注意事項(リスク・副作用など)
- 口腔内・歯並びの状態によっては対応できない場合があります
- マウスピース型矯正装置の長時間装着が必須です
- 治療計画通りに進めるためには、患者様の意志が重要になります
- 矯正治療後の保定が不十分だと後戻り(元の位置に戻ろうとする動き)をします
- 自費診療(保険適用外)となります
