症例・治療例紹介
Cases
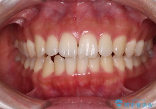
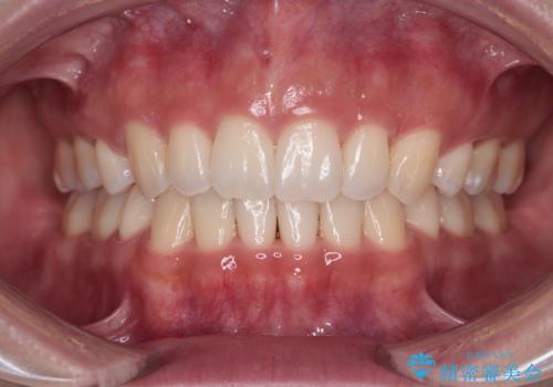
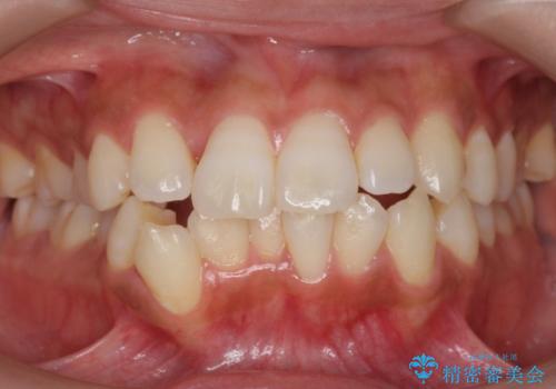
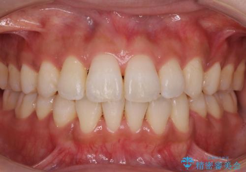
矯正歯科治療 → 上下顎前突(口ゴボ)
3ページ目 / 13
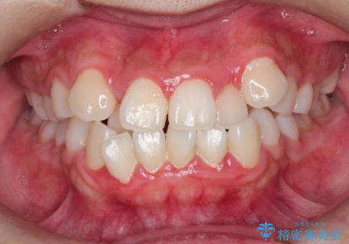
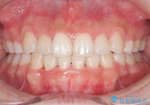
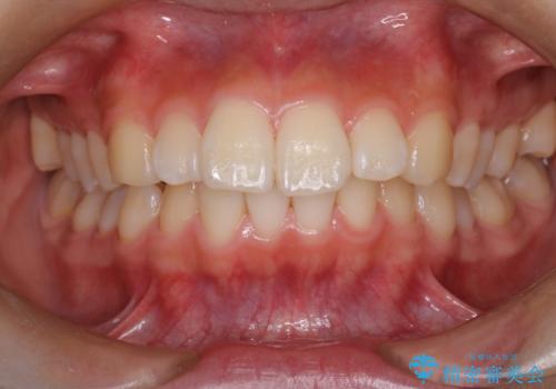
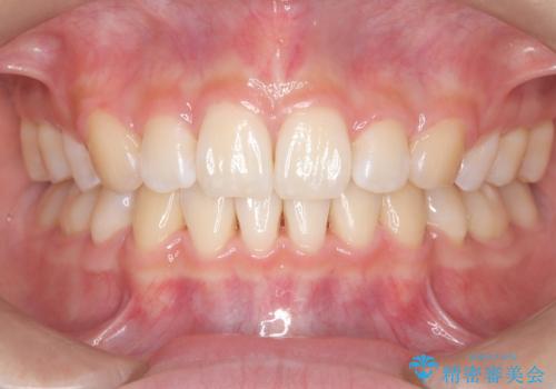
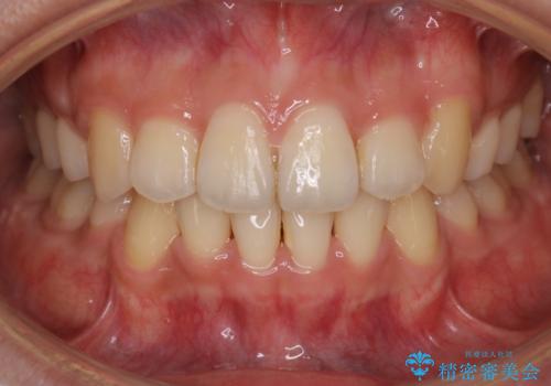
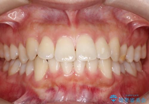
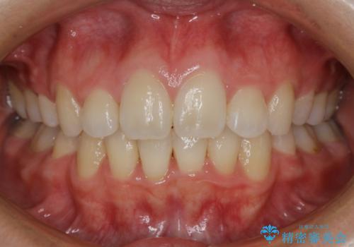
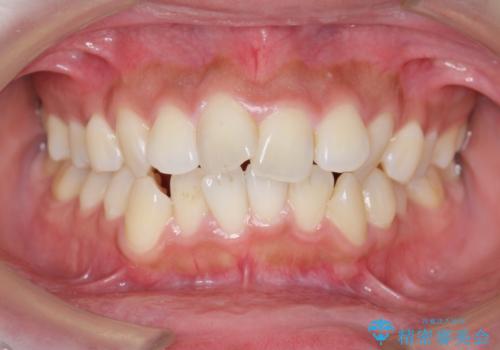
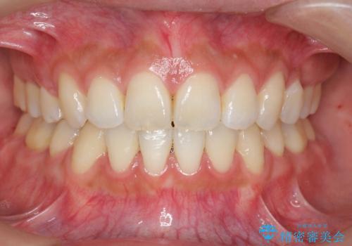
【モニター】飛び出した上顎前歯を抜歯矯正で引っ込める ワイヤー装置の抜歯矯正治療


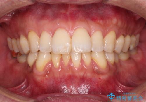
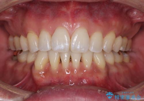
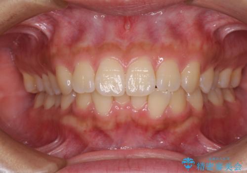
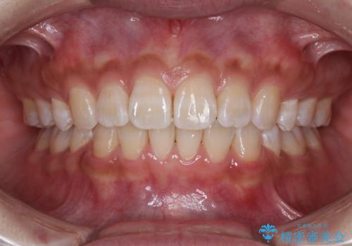
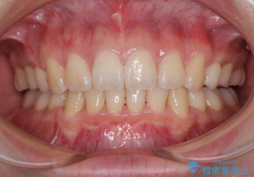
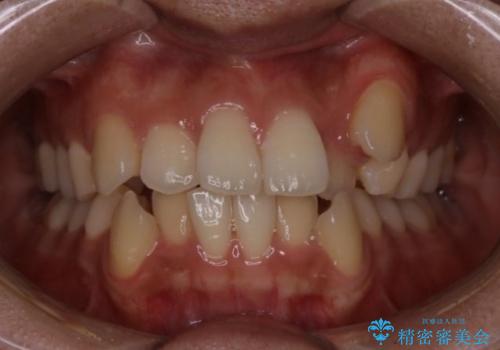
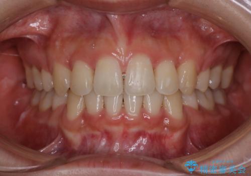
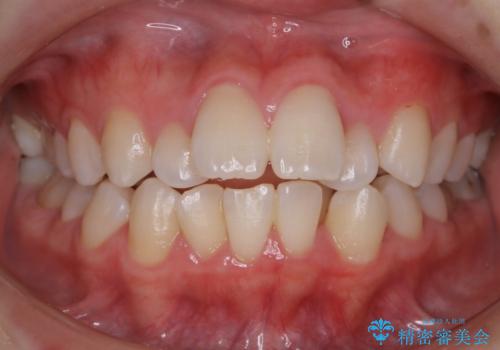
閉じにくい口元をワイヤー抜歯矯正でスッキリした口元に


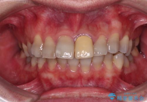
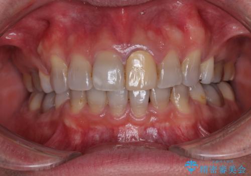
顎が左右にずれた咬み合わせ ハーフリンガルの抜歯矯正


【モニター】口が閉じにくい 抜歯矯正でスッキリした口元に


八重歯を改善!美しい口元を実現するハーフリンガル矯正


突出した前歯を引っ込める ワイヤー装置での抜歯矯正
担当医 藤巻太一朗


犬歯が歯ぐきにうまっている 真ん中のずれ、出っ歯を治したい


くちばしのような前歯 抜歯矯正で口を閉じやすく
担当医 藤巻太一朗


裏側矯正で口元をすっきりとした印象へ!


飛び出した上顎前歯 抜歯矯正でスッキリとした横顔に


【クリア装置】八重歯の矯正治療


【審美装置】抜歯矯正で口元を改善
担当医 菊地俊介


【非抜歯】インビザラインでガタつきと口元を改善!非抜歯でも印象が変わる矯正治療


【抜歯】ワイヤー装置で綺麗な歯並び!口元も劇的変化


ガタつきと口元の改善 抜歯を伴うワイヤー矯正


ワイヤー矯正歯科治療の注意事項(リスク・副作用など)
- 治療中は違和感や痛みが起こることがあります
- 症状により、抜歯が必要な場合があります
- 治療中は歯磨きがしにくくなるため、虫歯や歯周病になりやすくなります
- 矯正治療後の保定が不十分だと後戻り(元の位置に戻ろうとする動き)をします
- 自費診療(保険適用外)となります
マウスピース矯正の注意事項(リスク・副作用など)
- 口腔内・歯並びの状態によっては対応できない場合があります
- マウスピース型矯正装置の長時間装着が必須です
- 治療計画通りに進めるためには、患者様の意志が重要になります
- 矯正治療後の保定が不十分だと後戻り(元の位置に戻ろうとする動き)をします
- 自費診療(保険適用外)となります
