症例・治療例紹介
Cases
矯正歯科治療 → インビザライン
29ページ目 / 76
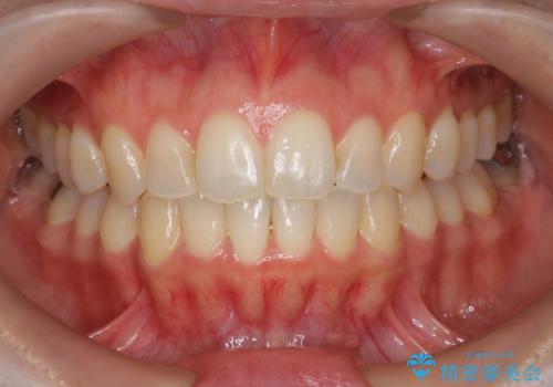
[ インビザライン ] 前歯のガタつきをマウスピース矯正で改善
![[ インビザライン ] 前歯のガタつきをマウスピース矯正で改善の症例 治療前](https://seimitsushinbi.jp/wp/wp-content/uploads/2023/06/C14-500x350.jpg?v=1686815742)
![[ インビザライン ] 前歯のガタつきをマウスピース矯正で改善の症例 治療後](https://seimitsushinbi.jp/wp/wp-content/uploads/2023/06/8f8a8c7e4fc215c9167147f340f29eaf-500x350.jpg?v=1686815671)
驚くほど短期間で前歯のガタツキを解消! マウスピース矯正の効果


マウスピース矯正で前歯のガタツキを改善! 短期間で治療完了


驚くほどの変化! マウスピース矯正で前歯のすきっ歯を効果的に改善しました


虫歯治療ついでに歯並びの後戻りを改善 インビザラインによる矯正治療


【モニター】前歯のデコボコをインビザラインで改善


突出した前歯を改善! マウスピース治療


前歯の目立つガタつきをマウスピース矯正で治療
担当医 大元洋佑


[ 下顎臼歯遠心移動 ] 受け口傾向のマウスピース矯正
![[ 下顎臼歯遠心移動 ] 受け口傾向のマウスピース矯正の症例 治療前](https://seimitsushinbi.jp/wp/wp-content/uploads/2023/05/IMG_4801-500x350.jpg?v=1684116706)
![[ 下顎臼歯遠心移動 ] 受け口傾向のマウスピース矯正の症例 治療後](https://seimitsushinbi.jp/wp/wp-content/uploads/2023/05/C54-500x350.jpg?v=1684116780)
インビザラインによる矯正治療と奥歯のインプラント治療


治療途中の奥歯と矯正治療の後戻り インビザライン・ライトによる矯正治療


【モニター】下顎前歯のデコボコをインビザラインできれいに
担当医 藤巻太一朗


【モニター】カリエール・ディスタライザーを併用した八重歯のインビザライン矯正


マウスピース矯正の注意事項(リスク・副作用など)
- 口腔内・歯並びの状態によっては対応できない場合があります
- マウスピース型矯正装置の長時間装着が必須です
- 治療計画通りに進めるためには、患者様の意志が重要になります
- 矯正治療後の保定が不十分だと後戻り(元の位置に戻ろうとする動き)をします
- 自費診療(保険適用外)となります




