症例・治療例紹介
Cases
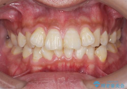
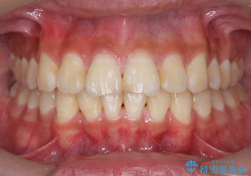
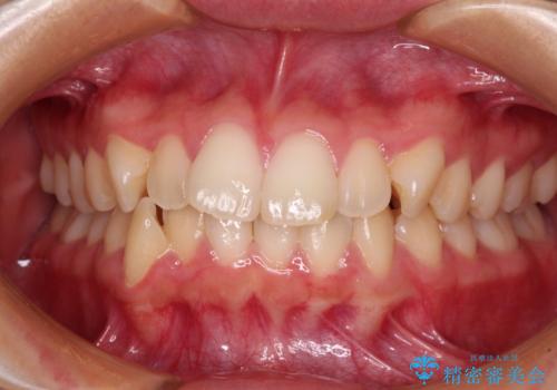
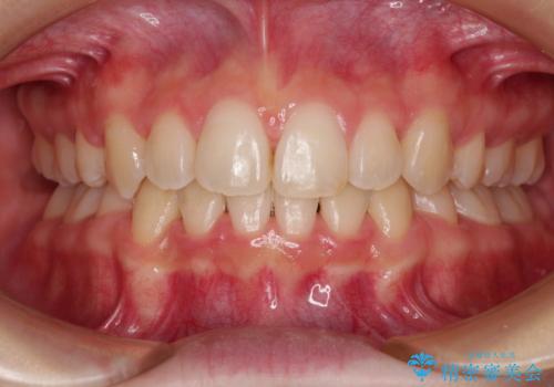
矯正歯科治療 → 叢生(でこぼこ・八重歯)
29ページ目 / 91
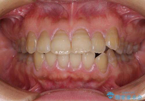
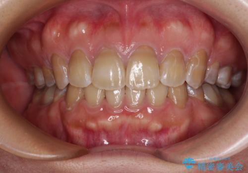
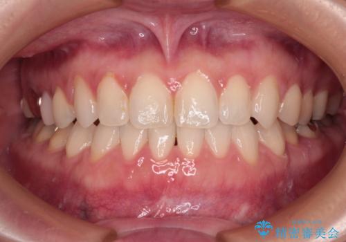
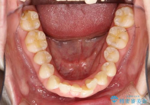
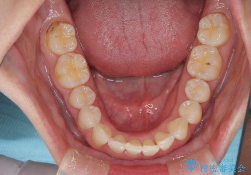
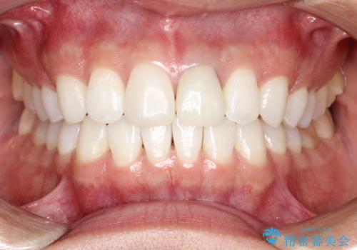
カリエール・ディスタライザーを併用したインビザライン矯正治療


【モニター】処置歯の多い歯列 インビザラインでデコボコを整える
担当医 藤巻太一朗


横顔の印象が大きく変わる ワイヤー装置での抜歯矯正


開咬と歯の欠損 ワイヤー装置を併用したインビザライン矯正治療


遠心移動を伴うマウスピース非抜歯矯正治療


舌突出癖による開咬 舌のトレーニングを行いながら前歯の隙間を改善


ワイヤー装置の抜歯矯正で横顔のシルエットをすっきりと


ワイヤー矯正を併用したインビザライン矯正治療


急速拡大とワイヤー抜歯矯正で唇を閉じやすく


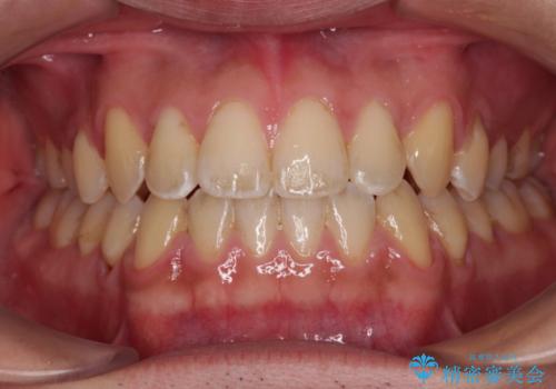
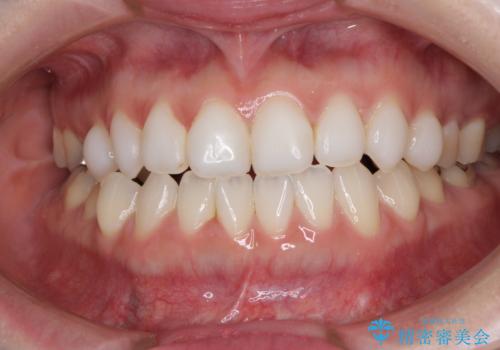
前歯のデコボコをすっきりと インビザライン矯正
担当医 藤巻太一朗


インビザラインによる矯正治療(非抜歯) 前歯の捻れとガタつきの改善


インビザライン ライトパッケージによる部分矯正治療 下の前歯のみの歯並び改善


インビザラインによる矯正治療(非抜歯) 前歯の突出と上下の歯並びのガタつきの改善


インビザラインによる矯正治療(非抜歯) 上下前歯の開き(開咬)と上下のガタつき(叢生)の改善


インビザラインによる矯正治療(非抜歯) 下の前歯の歯並びの改善


ワイヤー矯正歯科治療の注意事項(リスク・副作用など)
- 治療中は違和感や痛みが起こることがあります
- 症状により、抜歯が必要な場合があります
- 治療中は歯磨きがしにくくなるため、虫歯や歯周病になりやすくなります
- 矯正治療後の保定が不十分だと後戻り(元の位置に戻ろうとする動き)をします
- 自費診療(保険適用外)となります
マウスピース矯正の注意事項(リスク・副作用など)
- 口腔内・歯並びの状態によっては対応できない場合があります
- マウスピース型矯正装置の長時間装着が必須です
- 治療計画通りに進めるためには、患者様の意志が重要になります
- 矯正治療後の保定が不十分だと後戻り(元の位置に戻ろうとする動き)をします
- 自費診療(保険適用外)となります
