症例・治療例紹介
Cases
矯正歯科治療 → 叢生(でこぼこ・八重歯)
28ページ目 / 91
隙間の多い歯並びをインビザラインで矯正治療


隙間とデコボコを治したい ワイヤー装置による矯正治療


【モニター】前歯のデコボコとクロスバイト インビザラインによる矯正治療


隙間の空いた歯列とボロボロの乳歯 インプラント治療と矯正治療


カリエール・マイクロインプラントを併用した歯の突出を改善する大きな遠心移動


割れてしまった歯が痛む 矯正とインプラントを併用した総合歯科治療
担当医 藤巻太一朗


抜歯矯正で唇を閉じやすく ワイヤー矯正


職業柄ワイヤー矯正ができない、マウスピース矯正で行う八重歯抜歯症例
担当医 大元洋佑


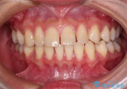
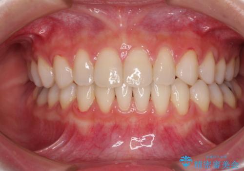
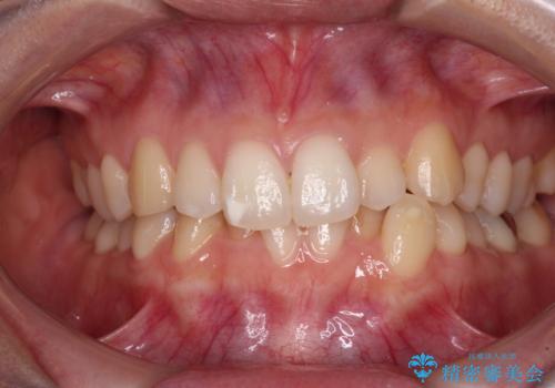
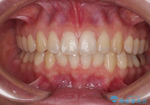
[ 歯を抜かないマウスピース矯正 ] 不揃いの目立つ前歯をきれいにしたい
担当医 大元洋佑
![[ 歯を抜かないマウスピース矯正 ] 不揃いの目立つ前歯をきれいにしたいの症例 治療前](https://seimitsushinbi.jp/wp/wp-content/uploads/2023/08/IMG_9894-500x350.jpg?v=1691028712)
![[ 歯を抜かないマウスピース矯正 ] 不揃いの目立つ前歯をきれいにしたいの症例 治療後](https://seimitsushinbi.jp/wp/wp-content/uploads/2023/08/IMG_9796-500x350.jpg?v=1691028808)
【ハーフリンガル】重度の叢生
担当医 河口智英


【インビザライン】マウスピース矯正希望。
担当医 河口智英


前歯のデコボコをワイヤー矯正できれいに整える


むし歯と咬み合わせで奥歯に負担がかかる 総合歯科治療で悩みを改善
担当医 藤巻太一朗


飛び出した前歯をインビザラインですっきりと


飛び出した上顎前歯 インビザラインで引っ込める


ワイヤー矯正歯科治療の注意事項(リスク・副作用など)
- 治療中は違和感や痛みが起こることがあります
- 症状により、抜歯が必要な場合があります
- 治療中は歯磨きがしにくくなるため、虫歯や歯周病になりやすくなります
- 矯正治療後の保定が不十分だと後戻り(元の位置に戻ろうとする動き)をします
- 自費診療(保険適用外)となります
マウスピース矯正の注意事項(リスク・副作用など)
- 口腔内・歯並びの状態によっては対応できない場合があります
- マウスピース型矯正装置の長時間装着が必須です
- 治療計画通りに進めるためには、患者様の意志が重要になります
- 矯正治療後の保定が不十分だと後戻り(元の位置に戻ろうとする動き)をします
- 自費診療(保険適用外)となります
