症例・治療例紹介
Cases
矯正歯科治療 → 叢生(でこぼこ・八重歯)
20ページ目 / 91
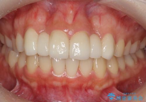
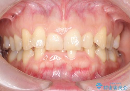
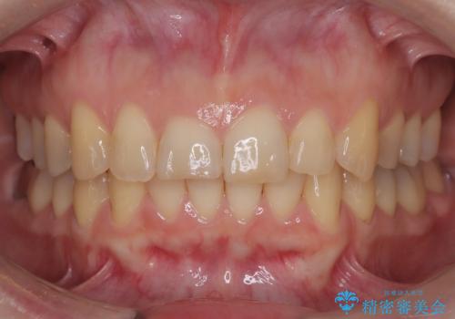
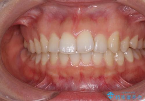
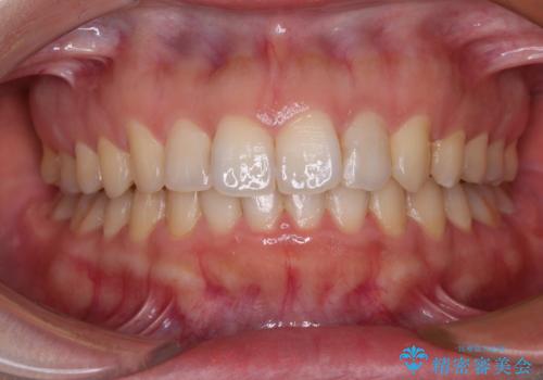
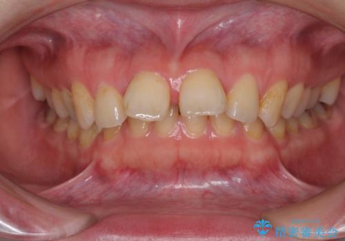
他院で3年以上かかると言われた八重歯を半年できれいに


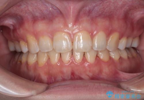
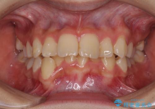
前歯の出っ歯とねじれ 短期間できれいに! 部分矯正とセラミックの組み合わせ治療


正中のズレ、引っ込んだ前歯の矯正


前歯のがたつきをなおしたい マウスピース矯正
担当医 大元洋佑


難症例 奥歯がかみ合っていない 歯並び矯正で別人に


不安定な噛み合わせを改善 マウスピース矯正治療


インビザラインとワイヤー矯正の併用で綺麗な歯並びに!


インビザライン矯正 前歯のガタツキが治り、綺麗なスマイルに!


ワイヤー矯正 抜歯本数を最小限にし、八重歯のない歯並びに


インビザライン矯正で前歯のデコボコを改善
担当医 藤巻太一朗


外科手術が必要と言えるほど突出した前歯 長期間をかけた抜歯矯正


八重歯と開咬の抜歯矯正 ワイヤー装置を併用したインビザライン矯正治療


しゃくれて口が閉じられない ワイヤー装置での抜歯矯正


【モニター】出っ歯と八重歯 抜歯矯正でスッキリとした口元に


治療途中で帰国 装置をつけた状態を継続して矯正治療


ワイヤー矯正歯科治療の注意事項(リスク・副作用など)
- 治療中は違和感や痛みが起こることがあります
 - 症状により、抜歯が必要な場合があります
 - 治療中は歯磨きがしにくくなるため、虫歯や歯周病になりやすくなります
 - 矯正治療後の保定が不十分だと後戻り(元の位置に戻ろうとする動き)をします
 - 自費診療(保険適用外)となります
 
マウスピース矯正の注意事項(リスク・副作用など)
- 口腔内・歯並びの状態によっては対応できない場合があります
 - マウスピース型矯正装置の長時間装着が必須です
 - 治療計画通りに進めるためには、患者様の意志が重要になります
 - 矯正治療後の保定が不十分だと後戻り(元の位置に戻ろうとする動き)をします
 - 自費診療(保険適用外)となります
 
