症例・治療例紹介
Cases
矯正歯科治療 → 叢生(でこぼこ・八重歯)
19ページ目 / 91
前歯のデコボコを治したい インビザライン・モデレートによる矯正治療
担当医 藤巻太一朗


【モニター】開咬を治したい インビザラインによる矯正治療


唇からはみ出るほど飛び出した前歯 ワイヤー装置による抜歯矯正


【モニター】前歯に隙間ができるほどのディープバイト ワイヤー装置で負担の少ない咬み合わせに


前歯と奥歯の反対咬合 部分ワイヤーとインビザラインで


前歯のがたつき 若干受け口 インビザラインで


前歯のすき間、犬歯の異所萌出 乳歯を抜かずに矯正


大きなむし歯と欠損をセラミックに 部分矯正を併用した総合歯科治療


中等度歯列不正 インビザライン・モデレートによる矯正治療
担当医 藤巻太一朗


前歯のデコボコとクロスバイト インビザライン矯正治療


抜歯矯正で八重歯を改善 インビザライン矯正治療
担当医 藤巻太一朗


捻れた前歯をインビザラインで整える
担当医 藤巻太一朗


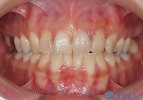
[ 前歯のねじれ・がたつき ] マウスピース矯正
![[ 前歯のねじれ・がたつき ] マウスピース矯正の症例 治療前](https://seimitsushinbi.jp/wp/wp-content/uploads/2024/02/4007c6479f6bce11863dcdd32ed5e39b-500x350.jpg?v=1708502552)
![[ 前歯のねじれ・がたつき ] マウスピース矯正の症例 治療後](https://seimitsushinbi.jp/wp/wp-content/uploads/2024/02/e7a01485e4f4dd0da04705fde4cc34cc-500x350.jpg?v=1708502585)
インビザライン モニター治療 前歯のねじれをまっすぐに


前歯のがたつき、中に入ってしまっている 部分矯正で低予算で


ワイヤー矯正歯科治療の注意事項(リスク・副作用など)
- 治療中は違和感や痛みが起こることがあります
 - 症状により、抜歯が必要な場合があります
 - 治療中は歯磨きがしにくくなるため、虫歯や歯周病になりやすくなります
 - 矯正治療後の保定が不十分だと後戻り(元の位置に戻ろうとする動き)をします
 - 自費診療(保険適用外)となります
 
マウスピース矯正の注意事項(リスク・副作用など)
- 口腔内・歯並びの状態によっては対応できない場合があります
 - マウスピース型矯正装置の長時間装着が必須です
 - 治療計画通りに進めるためには、患者様の意志が重要になります
 - 矯正治療後の保定が不十分だと後戻り(元の位置に戻ろうとする動き)をします
 - 自費診療(保険適用外)となります
 
