症例・治療例紹介
Cases
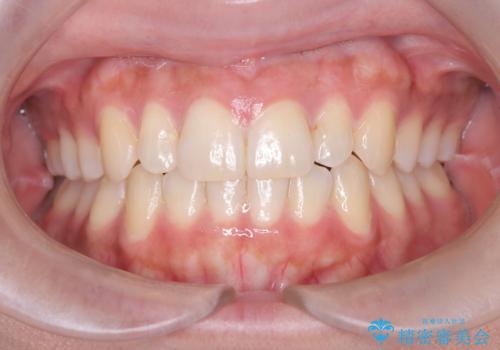
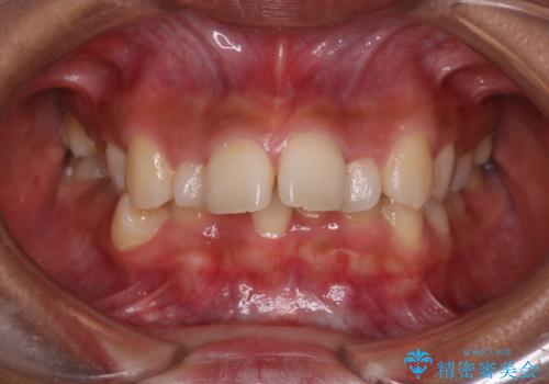
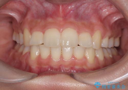
矯正歯科治療 → 叢生(でこぼこ・八重歯)
13ページ目 / 91
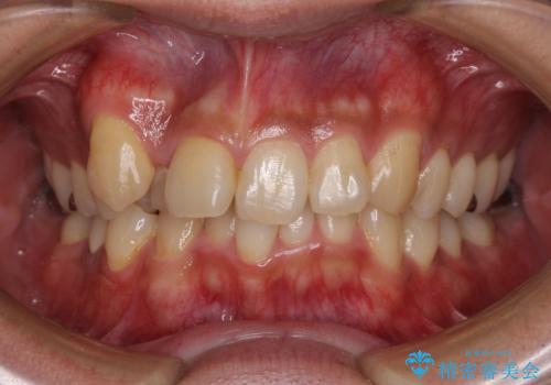
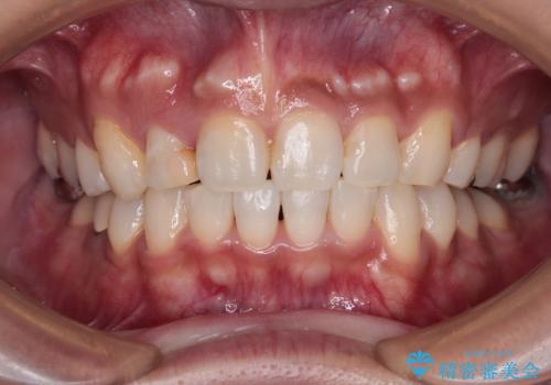
【モニター】八重歯と正中のずれた歯列 片顎抜歯のワイヤー矯正


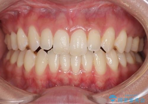
閉じにくい口元をワイヤー抜歯矯正でスッキリした口元に


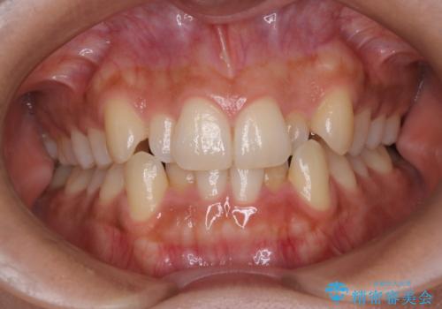
顎が左右にずれた咬み合わせ ハーフリンガルの抜歯矯正


八重歯を改善!美しい口元を実現するハーフリンガル矯正


非抜歯で短期間!ワイヤー矯正で理想の歯並びを実現


再矯正 前歯のガタツキをマウスピース矯正で治療したい


前歯の反対咬合、奥に引っ込んでしまっている歯をインビザラインで治療する


反対咬合と前歯のガタガタを非抜歯で改善


【抜歯インビザ】凸凹を綺麗になおしたい
担当医 河口智英


凸凹を綺麗にしたい。表側ワイヤー矯正
担当医 河口智英


欠損した歯と前に飛び出した前歯 インプラント治療を併用したワイヤー矯正治療


骨格性の受け口の矯正 部分ワイヤーで上の前歯を前に、 マウスピースで下の前歯を後ろに。


[ インビザライン ] 目立つすきっ歯をマウスピース矯正で改善
![[ インビザライン ] 目立つすきっ歯をマウスピース矯正で改善の症例 治療前](https://seimitsushinbi.jp/wp/wp-content/uploads/2024/06/e496bad3b681f39736557be4c8a9f8d7-500x350.jpg?v=1717748426)
![[ インビザライン ] 目立つすきっ歯をマウスピース矯正で改善の症例 治療後](https://seimitsushinbi.jp/wp/wp-content/uploads/2024/06/09dde2e3dd9d0c88016faa1259ef760f-500x350.jpg?v=1717746643)
捻れた奥歯 突き出た前歯を治したい


目立たない裏側装置でデコボコをきれいに解消


ワイヤー矯正歯科治療の注意事項(リスク・副作用など)
- 治療中は違和感や痛みが起こることがあります
- 症状により、抜歯が必要な場合があります
- 治療中は歯磨きがしにくくなるため、虫歯や歯周病になりやすくなります
- 矯正治療後の保定が不十分だと後戻り(元の位置に戻ろうとする動き)をします
- 自費診療(保険適用外)となります
マウスピース矯正の注意事項(リスク・副作用など)
- 口腔内・歯並びの状態によっては対応できない場合があります
- マウスピース型矯正装置の長時間装着が必須です
- 治療計画通りに進めるためには、患者様の意志が重要になります
- 矯正治療後の保定が不十分だと後戻り(元の位置に戻ろうとする動き)をします
- 自費診療(保険適用外)となります
